电话:
+86 (0512) 65829739
传真:
+86 (010) 6788 5057
电子邮件:
orders@antibodies-online.cn

FcRn 抗体 (AA 24-215)

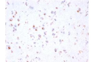
The 小鼠 单克隆 anti-FcRn antibody (Clone FCGRT-2932) (ABIN6939380) specifically detects FcRn in IHC. The antibody is reactive with 人 samples.
产品编号 ABIN6939380
发货至: 中国
Contact our Customer Service for availability and price in your country. Contact Info

Our Local Distributor

中国
北京 101111
No. 88 KeChuang 6th Street
Beijing Economic Technological Development Area
Room 801-803
4A Biotech Co.,Ltd.
Tel +86 (0512) 65829739 传真 +86 (010) 6788 5057

Quick Overview for FcRn 抗体 (AA 24-215) (ABIN6939380)

抗原

See all FcRn 抗体
FcRn (neonatal Fc Receptor (FcRn))

适用

  • 66
  • 5
  • 4
  • 1
  • 1
  • 1
  • 1
  • 1
  • 1

宿主

  • 41
  • 17
  • 15
  • 1
小鼠

克隆类型

  • 41
  • 31
  • 2
单克隆

标记

  • 34
  • 7
  • 6
  • 5
  • 4
  • 3
  • 2
  • 1
  • 1
  • 1
  • 1
  • 1
  • 1
  • 1
  • 1
  • 1
  • 1
  • 1
  • 1
  • 1
This FcRn antibody is un-conjugated

应用范围

  • 29
  • 28
  • 20
  • 10
  • 5
  • 4
  • 2
  • 2
  • 2
  • 2
  • 2
  • 1
  • 1
  • 1
Immunohistochemistry (IHC)

克隆位点

FCGRT-2932
  • 抗原表位

    • 13
    • 11
    • 10
    • 6
    • 3
    • 1
    • 1
    • 1
    • 1
    • 1
    • 1
    AA 24-215

    原理

    FCGRT / FcRn (IgG Transporter) Antibody

    特异性

    This gene encodes a receptor that binds the Fc region of monomeric immunoglobulin G. FCGRT is present in the intestinal epithelium of neonates and mediates the selective uptake of immunoglobulin G (IgG) in mothers' milk, thereby helping newborn to acquire passive immunity. FCGRT is comprised of a heavy chain and -2-Microglobulin. FCGRT localizes in endosomes of vascular endothelial cells and selectively recycles IgG to the cell surface, thus protecting IgG from lysosomal degradation.

    纯化方法

    200ug/ml of Ab Purified from Bioreactor Concentrate by Protein A/G.

    免疫原

    Recombinant fragment of human FCGRT protein (around aa 24-215) (Exact sequence is proprietary)

    亚型

    IgG2b, kappa
  • 应用备注

    Positive Control: THP1 or HepG2 cells. Cerebellum or Testis.

    Known Application: Immunohistochemistry (Formalin-fixed) (2-4 μg/mL for 30 minutes at RT)(Staining of formalin-fixed tissues is enhanced by boiling tissue sections in 10 mM Citrate Buffer, pH 6.0, for 10-20 min followed by cooling at RT for 20 minutes)Optimal dilution for a specific application should be determined.

    限制

    仅限研究用
  • 浓度

    200 μg/mL

    缓冲液

    Prepared in 10 mM PBS with 0.05 % BSA & 0.05 % azide.

    储存液

    Sodium azide

    注意事项

    This product contains Sodium azide: a POISONOUS AND HAZARDOUS SUBSTANCE which should be handled by trained staff only.

    储存条件

    4 °C

    储存方法

    Antibody with azide - store at 2 to 8°C. Antibody without azide - store at -20 to -80°C. Antibody is stable for 24 months. Non-hazardous. No MSDS required.

    有效期

    24 months
  • 抗原

    FcRn (neonatal Fc Receptor (FcRn))

    别名

    FCGRT

    背景

    Fc fragment of IgG, receptor transporter, alpha, FCGRT, FCRN, alpha chain, IgG Fc fragment receptor transporter alpha chain, IgG Gc receptor, IgG receptor FcRn large subunit p51, Immunoglobulin receptor, intestinal, heavy chain, Neonatal Fc receptor

    THP1 or HepG2 cells. Cerebellum or Testis.

    分子量

    46kDa

    基因ID

    2217, 111903

    UniProt

    P55899

    途径

    Regulation of Leukocyte Mediated Immunity, Positive Regulation of Immune Effector Process
You are here: