Parkin 抗体 (pSer101)
Our Local Distributor
北京 101111
Quick Overview for Parkin 抗体 (pSer101) (ABIN711251)
抗原
See all Parkin (PARK2) 抗体适用
宿主
克隆类型
标记
应用范围
-
-
抗原表位
- pSer101
-
预测反应
- Human
-
纯化方法
- Purified by Protein A.
-
免疫原
- KLH conjugated synthetic phosphopeptide derived from human PARK2 around the phosphorylation site of Ser101
-
亚型
- IgG
-
-
-
-
应用备注
-
WB 1:300-5000
ELISA 1:500-1000
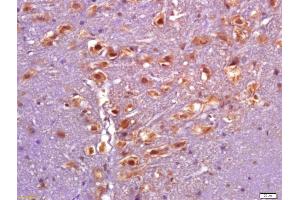
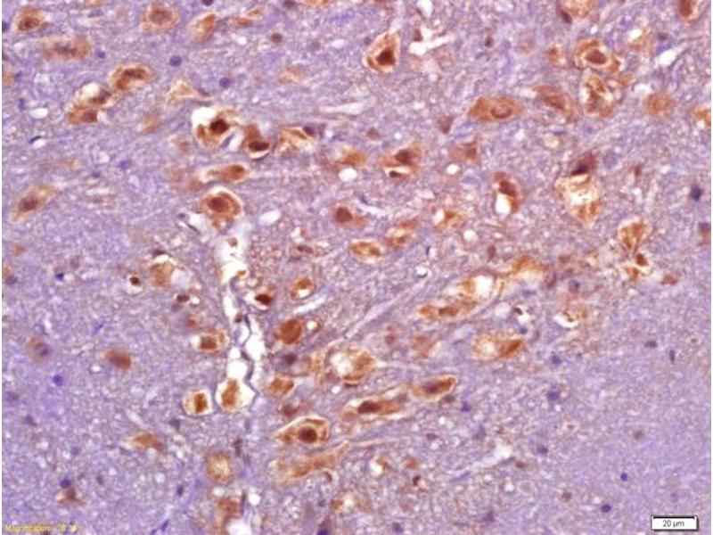
IHC-P 1:200-400
IHC-F 1:100-500
IF(IHC-P) 1:50-200
IF(IHC-F) 1:50-200
IF(ICC) 1:50-200 -
限制
- 仅限研究用
-
-
-
状态
- Liquid
-
浓度
- 1 μg/μL
-
缓冲液
- 0.01M TBS( pH 7.4) with 1 % BSA, 0.02 % Proclin300 and 50 % Glycerol.
-
储存液
- ProClin
-
注意事项
- This product contains ProClin: a POISONOUS AND HAZARDOUS SUBSTANCE, which should be handled by trained staff only.
-
储存条件
- 4 °C,-20 °C
-
储存方法
- Shipped at 4°C. Store at -20°C for one year. Avoid repeated freeze/thaw cycles.
-
有效期
- 12 months
-
-
- Parkin (PARK2) (Parkinson Protein 2, E3 Ubiquitin Protein Ligase (Parkin) (PARK2))
-
别名
- PARK2
-
背景
-
Synonyms: PARK2phospho S101, AR JP, E3 ubiquitin protein ligase parkin, FRA6E, LPRS 2, LPRS2, PARK 2, PARK2, Parkinson disease autosomal recessive juvenile 2, Parkinson disease protein 2, Parkinson juvenile disease protein 2, PDJ, PRKN 2, PRKN, PRKN2, Ubiquitin E3 ligase PRKN.
Background: Parkinson's Disease, the second most common neurodegenerative disease after Alzheimer's Disease, is characterized by the loss of dopaminergic neurons and the presence of Lewy bodies (comprised of alpha synuclein and parkin inclusions). Autosomal Recessive Juvenile Parkinsonism (AR-JP) is a recently described form of Parkinson's Disease that has been linked to a gene that codes for parkin. Parkin, a 52 kDa protein, has a suggested role in the ubiquitin/proteasome pathway for protein degradation. The amino terminus bears sequence homology to ubiquitin while functionally it acts as a RING type ubiquitin protein ligase (E3) that coordinates the transfer of ubiquitin to substrate proteins, thus targeting them for degradation by the proteasome.
-
基因ID
- 5071
-
途径
- Autophagy, Ubiquitin Proteasome Pathway
抗原
-