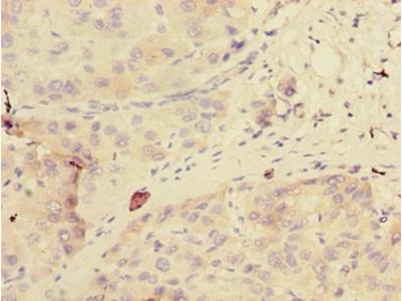
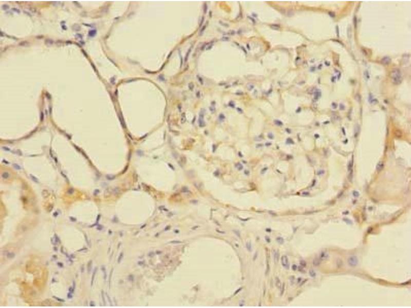
GDPD2 抗体 (AA 210-490)
Our Local Distributor
北京 101111
Quick Overview for GDPD2 抗体 (AA 210-490) (ABIN7154172)
抗原
See all GDPD2 抗体适用
宿主
克隆类型
标记
应用范围
-
-
抗原表位
- AA 210-490
-
原理
- GDPD2 Antibody
-
纯化方法
- Antigen Affinity Purified
-
免疫原
- Recombinant Human Glycerophosphoinositol inositolphosphodiesterase GDPD2 protein (210-490AA)
-
亚型
- IgG
-
-
-
-
应用备注
- Optimal working dilution should be determined by the investigator.
-
限制
- 仅限研究用
-
-
-
状态
- Liquid
-
缓冲液
-
Preservative: 0.03 % Proclin 300
Constituents: 50 % Glycerol, 0.01M PBS, PH 7.4 -
储存液
- ProClin
-
注意事项
- This product contains ProClin: a POISONOUS AND HAZARDOUS SUBSTANCE which should be handled by trained staff only.
-
储存条件
- -20 °C,-80 °C
-
储存方法
- Upon receipt, store at -20°C or -80°C. Avoid repeated freeze.
-
-
- GDPD2 (glycerophosphodiester phosphodiesterase Domain Containing 2 (GDPD2))
-
别名
- GDPD2
-
背景
-
Background: Has glycerophosphoinositol inositolphosphodiesterase activity and specifically hydrolyzes glycerophosphoinositol, with no activity for other substrates such as glycerophosphoinositol 4-phosphate, glycerophosphocholine, glycerophosphoethanolamine, and glycerophosphoserine. Accelerates the program of osteoblast differentiation and growth. May play a role in remodeling of the actin cytoskeleton (By similarity).
Aliases: GDPD2 antibody, GDE3 antibody, OBDPF antibody, UNQ1935/PRO4418Glycerophosphoinositol inositolphosphodiesterase GDPD2 antibody, EC 3.1.4.43 antibody, Glycerophosphodiester phosphodiesterase 3 antibody, Glycerophosphodiester phosphodiesterase domain-containing protein 2 antibody, Osteoblast differentiation promoting factor antibody
-
UniProt
- Q9HCC8
抗原
-