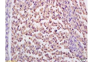
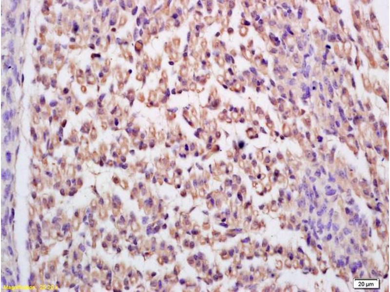
GDPD2 抗体 (AA 210-255)
Our Local Distributor
北京 101111
Quick Overview for GDPD2 抗体 (AA 210-255) (ABIN1386980)
抗原
See all GDPD2 抗体适用
宿主
克隆类型
标记
应用范围
-
-
抗原表位
- AA 210-255
-
交叉反应
- 人, 小鼠, 大鼠
-
纯化方法
- Purified by Protein A.
-
免疫原
- KLH conjugated synthetic peptide derived from human GDPD2/GDE3
-
亚型
- IgG
-
-
-
-
应用备注
-
WB 1:300-5000
IHC-P 1:200-400
IF(IHC-P) 1:50-200 -
限制
- 仅限研究用
-
-
-
状态
- Liquid
-
浓度
- 1 μg/μL
-
缓冲液
- 0.01M TBS( pH 7.4) with 1 % BSA, 0.02 % Proclin300 and 50 % Glycerol.
-
储存液
- ProClin
-
注意事项
- This product contains ProClin: a POISONOUS AND HAZARDOUS SUBSTANCE, which should be handled by trained staff only.
-
储存条件
- 4 °C,-20 °C
-
储存方法
- Shipped at 4°C. Store at -20°C for one year. Avoid repeated freeze/thaw cycles.
-
有效期
- 12 months
-
-
- GDPD2 (glycerophosphodiester phosphodiesterase Domain Containing 2 (GDPD2))
-
别名
- GDE3
-
背景
-
Synonyms: GDE3, OBDPF, Glycerophosphoinositol inositolphosphodiesterase GDPD2, Glycerophosphodiester phosphodiesterase 3, Glycerophosphodiester phosphodiesterase domain-containing protein 2, Osteoblast differentiation promoting factor, GDPD2, UNQ1935/PRO4418
Background: Has glycerophosphoinositol inositolphosphodiesterase activity and specifically hydrolyzes glycerophosphoinositol, with no activity for other substrates such as glycerophosphoinositol 4-phosphate, glycerophosphocholine, glycerophosphoethanolamine, and glycerophosphoserine. Accelerates the program of osteoblast differentiation and growth. May play a role in remodeling of the actin cytoskeleton (By similarity).
-
基因ID
- 54857
-
UniProt
- Q9HCC8
抗原
-