电话:
+86 (0512) 65829739
传真:
+86 (010) 6788 5057
电子邮件:
orders@antibodies-online.cn

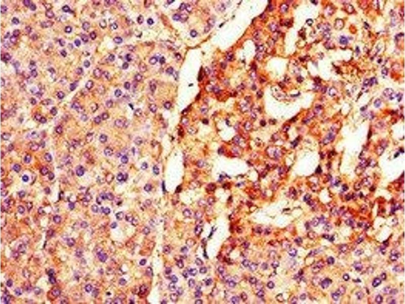
BTRC 抗体 (AA 397-448)

The 兔 多克隆 anti-BTRC antibody is suitable to detect BTRC in samples from 人. It has been validated for WB, ELISA, IF 和 IHC.
产品编号 ABIN7152495
发货至: 中国
Contact our Customer Service for availability and price in your country. Contact Info

Our Local Distributor

中国
北京 101111
No. 88 KeChuang 6th Street
Beijing Economic Technological Development Area
Room 801-803
4A Biotech Co.,Ltd.
Tel +86 (0512) 65829739 传真 +86 (010) 6788 5057

Quick Overview for BTRC 抗体 (AA 397-448) (ABIN7152495)

抗原

See all BTRC 抗体
BTRC (beta-Transducin Repeat Containing (BTRC))

适用

  • 37
  • 12
  • 12
  • 3
  • 3
  • 3
  • 3
  • 2
  • 1
  • 1

宿主

  • 30
  • 7

克隆类型

  • 30
  • 7
多克隆

标记

  • 21
  • 3
  • 3
  • 2
  • 1
  • 1
  • 1
  • 1
  • 1
  • 1
  • 1
  • 1
This BTRC antibody is un-conjugated

应用范围

  • 25
  • 15
  • 12
  • 11
  • 6
  • 4
  • 4
  • 1
  • 1
Western Blotting (WB), ELISA, Immunofluorescence (IF), Immunohistochemistry (IHC)
  • 抗原表位

    • 8
    • 5
    • 4
    • 4
    • 2
    • 2
    • 1
    • 1
    • 1
    • 1
    AA 397-448

    原理

    BTRC Antibody

    纯化方法

    Protein G purified

    纯度

    >95 %

    免疫原

    Recombinant Human F-box/WD repeat-containing protein 1A protein (397-448AA)

    亚型

    IgG
  • 应用备注

    Optimal working dilution should be determined by the investigator.

    限制

    仅限研究用
  • 状态

    Liquid

    缓冲液

    Preservative: 0.03 % Proclin 300
    Constituents: 50 % Glycerol, 0.01M PBS, PH 7.4

    储存液

    ProClin

    注意事项

    This product contains ProClin: a POISONOUS AND HAZARDOUS SUBSTANCE which should be handled by trained staff only.

    储存条件

    -20 °C,-80 °C

    储存方法

    Upon receipt, store at -20°C or -80°C. Avoid repeated freeze.
  • 抗原

    BTRC (beta-Transducin Repeat Containing (BTRC))

    别名

    BTRC

    背景

    Background: Substrate recognition component of a SCF (SKP1-CUL1-F-box protein) E3 ubiquitin-protein ligase complex which mediates the ubiquitination and subsequent proteasomal degradation of target proteins. Recognizes and binds to phosphorylated target proteins. SCF(BTRC) mediates the ubiquitination of CTNNB1 and participates in Wnt signaling. SCF(BTRC) mediates the ubiquitination of NFKBIA, NFKBIB and NFKBIE, the degradation frees the associated NFKB1 to translocate into the nucleus and to activate transcription. Ubiquitination of NFKBIA occurs at \\\'Lys-21\\\' and \\\'Lys-22\\\'. SCF(BTRC) mediates the ubiquitination of CEP68, this is required for centriole separation during mitosis (PubMed:25704143, PubMed:25503564). SCF(BTRC) mediates the ubiquitination of phosphorylated NFKB1/nuclear factor NF-kappa-B p105 subunit, ATF4, CDC25A, DLG1, FBXO5, PER1, SMAD3, SMAD4, SNAI1 and probably NFKB2. Has an essential role in the control of the clock-dependent transcription via degradation of phosphorylated PER1 and PER2. May be involved in ubiquitination and subsequent proteasomal degradation through a DBB1-CUL4 E3 ubiquitin-protein ligase. Required for activation of NFKB-mediated transcription by IL1B, MAP3K14, MAP3K1, IKBKB and TNF. Required for proteolytic processing of GLI3.

    Aliases: Beta transducin repeat containing E3 ubiquitin protein ligase antibody, beta TrCP1 antibody, beta-transducin repeat containing antibody, BETA-TRCP antibody, betaTrCP antibody, btrC antibody, bTrCP antibody, bTrCP1 antibody, E3RSIkappaB antibody, F box and WD repeat protein 1B antibody, F box and WD repeats protein beta TrCP antibody, F-box and WD repeats protein beta-TrCP antibody, F-box/WD repeat protein 1A antibody, F-box/WD repeat-containing protein 1A antibody, FBW1A antibody, FBW1A_HUMAN antibody, FBXW1 antibody, FBXW1A antibody, FWD1 antibody, HOS antibody, mKIAA4123 antibody, pIkappaBalpha-E3 receptor subunit antibody, Slimb antibody

    UniProt

    Q9Y297

    途径

    Cell Division Cycle, Hedgehog Signaling
You are here: