电话:
+86 (0512) 65829739
传真:
+86 (010) 6788 5057
电子邮件:
orders@antibodies-online.cn

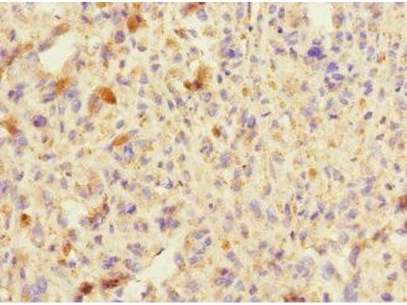
TRIP12 抗体 (AA 1-240)

The 兔 多克隆 anti-TRIP12 antibody is suitable to detect TRIP12 in samples from 人. It has been validated for IHC 和 ELISA.
产品编号 ABIN7151292
发货至: 中国
Contact our Customer Service for availability and price in your country. Contact Info

Our Local Distributor

中国
北京 101111
No. 88 KeChuang 6th Street
Beijing Economic Technological Development Area
Room 801-803
4A Biotech Co.,Ltd.
Tel +86 (0512) 65829739 传真 +86 (010) 6788 5057

Quick Overview for TRIP12 抗体 (AA 1-240) (ABIN7151292)

抗原

See all TRIP12 抗体
TRIP12 (Thyroid Hormone Receptor Interactor 12 (TRIP12))

适用

  • 7
  • 4
  • 4
  • 1
  • 1
  • 1

宿主

  • 7

克隆类型

  • 7
多克隆

标记

  • 7
This TRIP12 antibody is un-conjugated

应用范围

  • 7
  • 4
  • 3
  • 2
  • 2
  • 1
  • 1
Immunohistochemistry (IHC), ELISA
  • 抗原表位

    • 2
    • 2
    • 2
    • 1
    • 1
    AA 1-240

    原理

    TRIP12 Antibody

    纯化方法

    Antigen Affinity Purified

    免疫原

    Recombinant Human E3 ubiquitin-protein ligase TRIP12 protein (1-240AA)

    亚型

    IgG
  • 应用备注

    Optimal working dilution should be determined by the investigator.

    限制

    仅限研究用
  • 状态

    Liquid

    缓冲液

    PBS with 0.02 % sodium azide, 50 % glycerol, pH 7.3.

    储存液

    Sodium azide

    注意事项

    This product contains Sodium azide: a POISONOUS AND HAZARDOUS SUBSTANCE which should be handled by trained staff only.

    储存条件

    -20 °C,-80 °C

    储存方法

    Upon receipt, store at -20°C or -80°C. Avoid repeated freeze.
  • 抗原

    TRIP12 (Thyroid Hormone Receptor Interactor 12 (TRIP12))

    别名

    TRIP12

    背景

    Background: E3 ubiquitin-protein ligase involved in ubiquitin fusion degradation (UFD) pathway and regulation of DNA repair. Part of the ubiquitin fusion degradation (UFD) pathway, a process that mediates ubiquitination of protein at their N-terminus, regardeless of the presence of lysine residues in target proteins. In normal cells, mediates ubiquitination and degradation of isoform p19ARF/ARF of CDKN2A, a lysine-less tumor suppressor required for p53/TP53 activation under oncogenic stress. In cancer cells, however, isoform p19ARF/ARF and TRIP12 are located in different cell compartments, preventing isoform p19ARF/ARF ubiquitination and degradation. Does not mediate ubiquitination of isoform p16-INK4a of CDKN2A. Also catalyzes ubiquitination of NAE1 and SMARCE1, leading to their degradation. Ubiquitination and degradation of target proteins is regulated by interaction with proteins such as MYC, TRADD or SMARCC1, which disrupt the interaction between TRIP12 and target proteins. Acts as a key regulator of DNA damage response by acting as a suppressor of RNF168, an E3 ubiquitin-protein ligase that promotes accumulation of \\\'Lys-63\\\'-linked histone H2A and H2AX at DNA damage sites, thereby acting as a guard against excessive spreading of ubiquitinated chromatin at damaged chromosomes.

    Aliases: TRIP12 antibody, KIAA0045 antibody, ULF antibody, E3 ubiquitin-protein ligase TRIP12 antibody, EC 2.3.2.26 antibody, E3 ubiquitin-protein ligase for Arf antibody, ULF antibody, HECT-type E3 ubiquitin transferase TRIP12 antibody, Thyroid receptor-interacting protein 12 antibody, TR-interacting protein 12 antibody, TRIP-12 antibody

    UniProt

    Q14669

    途径

    Nuclear Hormone Receptor Binding
You are here: