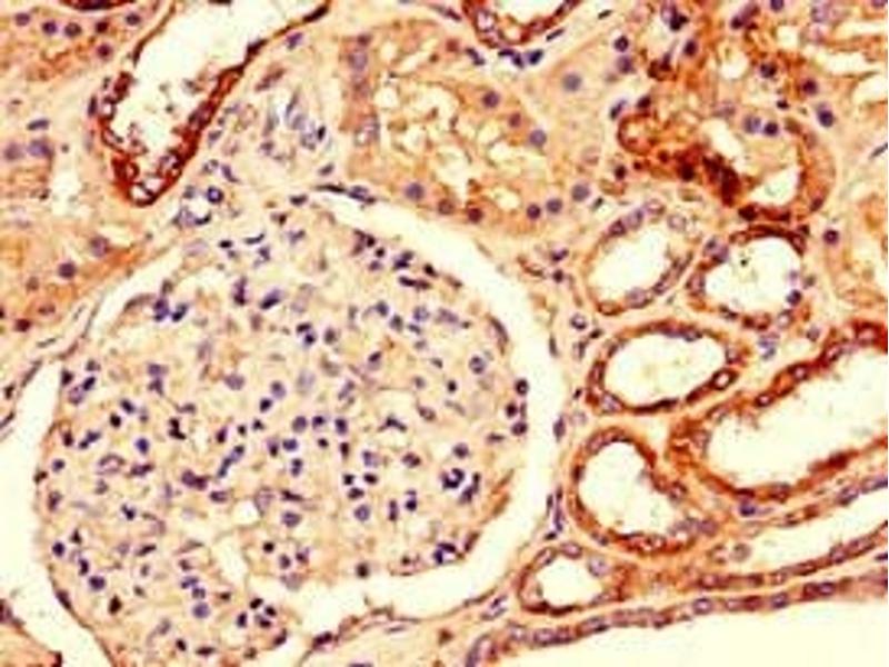
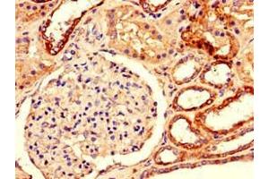
Dual Specificity Phosphatase 3 (DUSP3) (AA 14-96) 抗体
Our Local Distributor
北京 101111
Quick Overview for Dual Specificity Phosphatase 3 (DUSP3) (AA 14-96) 抗体 (ABIN7150769)
抗原
See all Dual Specificity Phosphatase 3 (DUSP3) 抗体适用
宿主
克隆类型
标记
应用范围
-
-
抗原表位
- AA 14-96
-
原理
- DUSP3 Antibody
-
纯化方法
- Protein G purified
-
纯度
- >95 %
-
免疫原
- Recombinant Human Dual specificity protein phosphatase 3 protein (14-96AA)
-
亚型
- IgG
-
-
-
-
应用备注
- Optimal working dilution should be determined by the investigator.
-
限制
- 仅限研究用
-
-
-
状态
- Liquid
-
缓冲液
-
Preservative: 0.03 % Proclin 300
Constituents: 50 % Glycerol, 0.01M PBS, PH 7.4 -
储存液
- ProClin
-
注意事项
- This product contains ProClin: a POISONOUS AND HAZARDOUS SUBSTANCE which should be handled by trained staff only.
-
储存条件
- -20 °C,-80 °C
-
储存方法
- Upon receipt, store at -20°C or -80°C. Avoid repeated freeze.
-
-
- Dual Specificity Phosphatase 3 (DUSP3)
-
别名
- DUSP3
-
物质类
- Viral Protein
-
背景
-
Background: Shows activity both for tyrosine-protein phosphate and serine-protein phosphate, but displays a strong preference toward phosphotyrosines. Specifically dephosphorylates and inactivates ERK1 and ERK2.
Aliases: Dual specificity phosphatase 3 antibody, Dual specificity protein phosphatase 3 antibody, Dual specificity protein phosphatase VHR antibody, DUS3_HUMAN antibody, DUSP3 antibody, Serine/threonine specific protein phosphatase antibody, Vaccinia H1-related phosphatase antibody, Vaccinia virus phosphatase VH1 related antibody, VHR antibody
-
UniProt
- P51452
-
途径
- Neurotrophin Signaling Pathway, Activation of Innate immune Response, Toll-Like Receptors Cascades
抗原
-