电话:
+86 (0512) 65829739
传真:
+86 (010) 6788 5057
电子邮件:
orders@antibodies-online.cn

CDT2/RAMP 抗体 (AA 393-550)

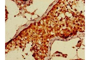
The 兔 多克隆 anti-CDT2/RAMP antibody (ABIN7149691) specifically detects CDT2/RAMP in ELISA 和 IHC. The antibody is reactive with 人 samples.
产品编号 ABIN7149691
发货至: 中国
Contact our Customer Service for availability and price in your country. Contact Info

Our Local Distributor

中国
北京 101111
No. 88 KeChuang 6th Street
Beijing Economic Technological Development Area
Room 801-803
4A Biotech Co.,Ltd.
Tel +86 (0512) 65829739 传真 +86 (010) 6788 5057

Quick Overview for CDT2/RAMP 抗体 (AA 393-550) (ABIN7149691)

抗原

See all CDT2/RAMP (DTL) 抗体
CDT2/RAMP (DTL) (Denticleless E3 Ubiquitin Protein Ligase Homolog (DTL))

适用

  • 45
  • 26
  • 14
  • 2
  • 2
  • 2
  • 2
  • 2
  • 1
  • 1
  • 1

宿主

  • 45

克隆类型

  • 32
  • 13
多克隆

标记

  • 21
  • 3
  • 3
  • 2
  • 2
  • 2
  • 2
  • 2
  • 2
  • 2
  • 1
  • 1
  • 1
  • 1
This CDT2/RAMP antibody is un-conjugated

应用范围

  • 32
  • 19
  • 13
  • 13
  • 13
  • 11
  • 5
  • 4
  • 2
  • 1
  • 1
  • 1
  • 1
ELISA, Immunohistochemistry (IHC)
  • 抗原表位

    • 8
    • 4
    • 3
    • 2
    • 2
    • 1
    • 1
    • 1
    • 1
    • 1
    • 1
    AA 393-550

    原理

    DTL Antibody

    纯化方法

    Protein G purified

    纯度

    >95 %

    免疫原

    Recombinant Human Denticleless protein homolog protein (393-550AA)

    亚型

    IgG
  • 应用备注

    Optimal working dilution should be determined by the investigator.

    限制

    仅限研究用
  • 状态

    Liquid

    缓冲液

    Preservative: 0.03 % Proclin 300
    Constituents: 50 % Glycerol, 0.01M PBS, PH 7.4

    储存液

    ProClin

    注意事项

    This product contains ProClin: a POISONOUS AND HAZARDOUS SUBSTANCE which should be handled by trained staff only.

    储存条件

    -20 °C,-80 °C

    储存方法

    Upon receipt, store at -20°C or -80°C. Avoid repeated freeze.
  • 抗原

    CDT2/RAMP (DTL) (Denticleless E3 Ubiquitin Protein Ligase Homolog (DTL))

    别名

    DTL

    背景

    Background: Substrate-specific adapter of a DCX (DDB1-CUL4-X-box) E3 ubiquitin-protein ligase complex required for cell cycle control, DNA damage response and translesion DNA synthesis. The DCX(DTL) complex, also named CRL4(CDT2) complex, mediates the polyubiquitination and subsequent degradation of CDT1, CDKN1A/p21(CIP1), FBXO18/FBH1 and KMT5A (PubMed:16861906, PubMed:16949367, PubMed:16964240, PubMed:17085480, PubMed:18703516, PubMed:18794347, PubMed:18794348, PubMed:19332548, PubMed:20129063, PubMed:23478441, PubMed:23478445, PubMed:23677613). CDT1 degradation in response to DNA damage is necessary to ensure proper cell cycle regulation of DNA replication (PubMed:16861906, PubMed:16949367, PubMed:17085480). CDKN1A/p21(CIP1) degradation during S phase or following UV irradiation is essential to control replication licensing (PubMed:18794348, PubMed:19332548). KMT5A degradation is also important for a proper regulation of mechanisms such as TGF-beta signaling, cell cycle progression, DNA repair and cell migration (PubMed:23478445). Most substrates require their interaction with PCNA for their polyubiquitination: substrates interact with PCNA via their PIP-box, and those containing the \'K+4\' motif in the PIP box, recruit the DCX(DTL) complex, leading to their degradation. In undamaged proliferating cells, the DCX(DTL) complex also promotes the \'Lys-164\' monoubiquitination of PCNA, thereby being involved in PCNA-dependent translesion DNA synthesis (PubMed:20129063, PubMed:23478441, PubMed:23478445, PubMed:23677613).

    Aliases: Lethal(2) denticleless protein homolog antibody, CDW1 antibody, DCAF2 antibody, DDB1 and CUL4 associated factor 2 antibody, Ddb1- and Cul4-associated factor 2 antibody, Denticleless homolog antibody, Denticleless homolog (Drosophila) antibody, Denticleless protein homolog antibody, Dtl antibody, DTL_HUMAN antibody, L2DTL antibody, Lethal(2) denticleless protein homolog antibody, RA regulated nuclear matrix associated protein antibody, RAMP antibody, Retinoic acid regulated nuclear matrix associated protein antibody, Retinoic acid-regulated nuclear matrix-associated protein antibody

    UniProt

    Q9NZJ0
You are here: