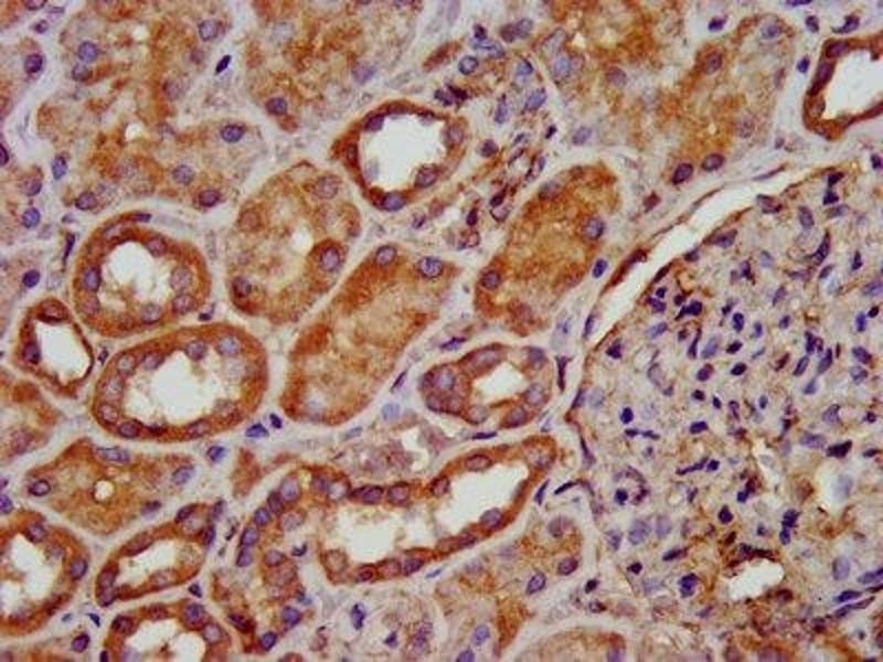
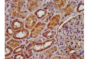
PDSS2 抗体 (AA 292-387)
Our Local Distributor
北京 101111
Quick Overview for PDSS2 抗体 (AA 292-387) (ABIN7149571)
抗原
See all PDSS2 抗体适用
宿主
克隆类型
标记
应用范围
-
-
抗原表位
- AA 292-387
-
原理
- PDSS2 Antibody
-
纯化方法
- Protein G purified
-
纯度
- >95 %
-
免疫原
- Recombinant Human Decaprenyl-diphosphate synthase subunit 2 protein (292-387AA)
-
亚型
- IgG
-
-
-
-
应用备注
- Optimal working dilution should be determined by the investigator.
-
限制
- 仅限研究用
-
-
-
状态
- Liquid
-
缓冲液
-
Preservative: 0.03 % Proclin 300
Constituents: 50 % Glycerol, 0.01M PBS, pH 7.4 -
储存液
- ProClin
-
注意事项
- This product contains ProClin: a POISONOUS AND HAZARDOUS SUBSTANCE which should be handled by trained staff only.
-
储存条件
- -20 °C,-80 °C
-
储存方法
- Upon receipt, store at -20°C or -80°C. Avoid repeated freeze.
-
-
- PDSS2 (Prenyl (Decaprenyl) Diphosphate Synthase, Subunit 2 (PDSS2))
-
别名
- PDSS2
-
背景
-
Background: Supplies decaprenyl diphosphate, the precursor for the side chain of the isoprenoid quinones ubiquinone-10.
Aliases: All-trans-decaprenyl-diphosphate synthase subunit 2 antibody, bA59I9.3 antibody, C6orf210 antibody, Candidate tumor suppressor protein antibody, chromosome 6 open reading frame 210 antibody, Decaprenyl pyrophosphate synthase subunit 2 antibody, decaprenyl pyrophosphate synthetase subunit 2 antibody, Decaprenyl-diphosphate synthase subunit 2 antibody, DLP1 antibody, DLP1_HUMAN antibody, hDLP1 antibody, Pdss2 antibody, prenyl (decaprenyl) diphosphate synthase, subunit 2 antibody, subunit 2 of decaprenyl diphosphate synthase antibody
-
UniProt
- Q86YH6
抗原
-