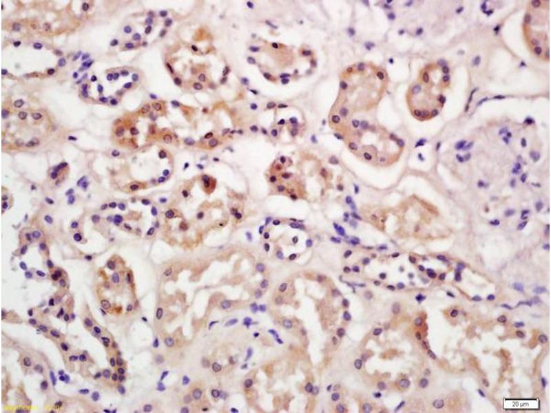
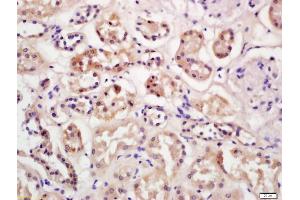
PDSS2 抗体 (AA 21-100)
Our Local Distributor
北京 101111
Quick Overview for PDSS2 抗体 (AA 21-100) (ABIN1386354)
抗原
See all PDSS2 抗体适用
宿主
克隆类型
标记
应用范围
-
-
抗原表位
- AA 21-100
-
交叉反应
- 人
-
预测反应
- Mouse,Rat
-
纯化方法
- Purified by Protein A.
-
免疫原
- KLH conjugated synthetic peptide derived from human PDSS2
-
亚型
- IgG
-
-
-
-
应用备注
-
ELISA 1:500-1000
IHC-P 1:200-400
IHC-F 1:100-500 -
限制
- 仅限研究用
-
-
-
状态
- Liquid
-
浓度
- 1 μg/μL
-
缓冲液
- 0.01M TBS( pH 7.4) with 1 % BSA, 0.02 % Proclin300 and 50 % Glycerol.
-
储存液
- ProClin
-
注意事项
- This product contains ProClin: a POISONOUS AND HAZARDOUS SUBSTANCE, which should be handled by trained staff only.
-
储存条件
- 4 °C,-20 °C
-
储存方法
- Shipped at 4°C. Store at -20°C for one year. Avoid repeated freeze/thaw cycles.
-
有效期
- 12 months
-
-
- PDSS2 (Prenyl (Decaprenyl) Diphosphate Synthase, Subunit 2 (PDSS2))
-
别名
- PDSS2
-
背景
-
Synonyms: DLP1, hDLP1, COQ10D3, C6orf210, bA59I9.3, Decaprenyl-diphosphate synthase subunit 2, All-trans-decaprenyl-diphosphate synthase subunit 2, Candidate tumor suppressor protein, Decaprenyl pyrophosphate synthase subunit 2, PDSS2
Background: The protein encoded by this gene is an enzyme that synthesizes the prenyl side-chain of coenzyme Q, or ubiquinone, one of the key elements in the respiratory chain. The gene product catalyzes the formation of all trans-polyprenyl pyrophosphates from isopentyl diphosphate in the assembly of polyisoprenoid side chains, the first step in coenzyme Q biosynthesis. Defects in this gene are a cause of coenzyme Q10 deficiency.
-
基因ID
- 57107
-
UniProt
- Q86YH6
抗原
-