电话:
+86 (0512) 65829739
传真:
+86 (010) 6788 5057
电子邮件:
orders@antibodies-online.cn

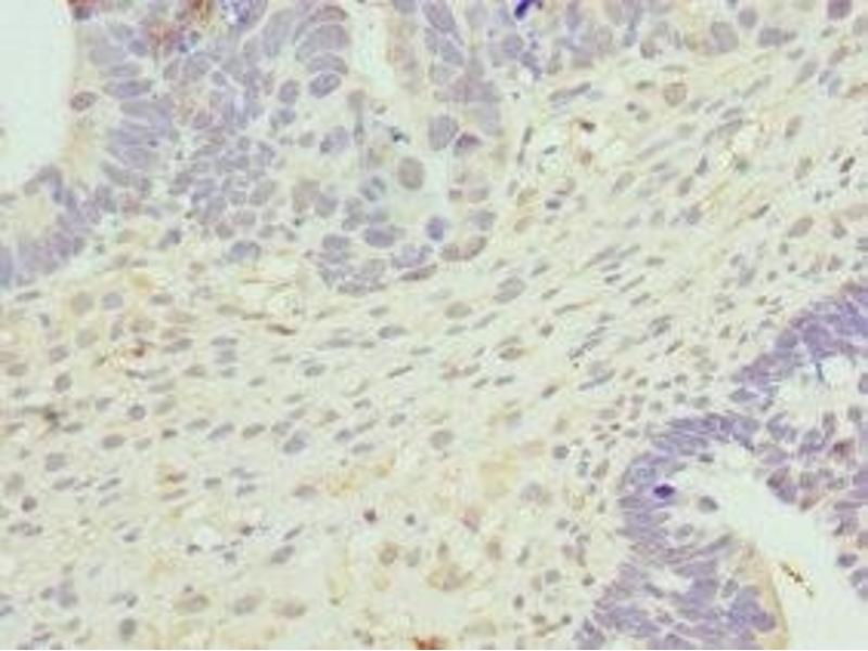
Cytohesin 2 抗体 (AA 150-350)

The 兔 多克隆 anti-Cytohesin 2 antibody is suitable to detect Cytohesin 2 in samples from 人. It has been validated for WB, ELISA 和 IHC.
产品编号 ABIN7149288
发货至: 中国
Contact our Customer Service for availability and price in your country. Contact Info

Our Local Distributor

中国
北京 101111
No. 88 KeChuang 6th Street
Beijing Economic Technological Development Area
Room 801-803
4A Biotech Co.,Ltd.
Tel +86 (0512) 65829739 传真 +86 (010) 6788 5057

Quick Overview for Cytohesin 2 抗体 (AA 150-350) (ABIN7149288)

抗原

See all Cytohesin 2 (CYTH2) 抗体
Cytohesin 2 (CYTH2)

适用

  • 32
  • 20
  • 15
  • 2
  • 2
  • 2
  • 2
  • 1
  • 1
  • 1
  • 1

宿主

  • 35
  • 3
  • 1

克隆类型

  • 37
  • 2
多克隆

标记

  • 20
  • 2
  • 2
  • 2
  • 1
  • 1
  • 1
  • 1
  • 1
  • 1
  • 1
  • 1
  • 1
  • 1
  • 1
  • 1
  • 1
This Cytohesin 2 antibody is un-conjugated

应用范围

  • 38
  • 14
  • 13
  • 13
  • 5
  • 4
  • 4
  • 3
  • 2
  • 2
  • 2
Western Blotting (WB), ELISA, Immunohistochemistry (IHC)
  • 抗原表位

    • 15
    • 8
    • 4
    • 2
    • 2
    • 2
    • 1
    • 1
    • 1
    • 1
    AA 150-350

    原理

    CYTH2 Antibody

    纯化方法

    Antigen Affinity Purified

    免疫原

    Recombinant Human Cytohesin-2 protein (150-350AA)

    亚型

    IgG
  • 应用备注

    Optimal working dilution should be determined by the investigator.

    限制

    仅限研究用
  • 状态

    Liquid

    缓冲液

    PBS with 0.02 % sodium azide, 50 % glycerol, pH 7.3.

    储存液

    Sodium azide

    注意事项

    This product contains Sodium azide: a POISONOUS AND HAZARDOUS SUBSTANCE which should be handled by trained staff only.

    储存条件

    -20 °C,-80 °C

    储存方法

    Upon receipt, store at -20°C or -80°C. Avoid repeated freeze.
  • 抗原

    Cytohesin 2 (CYTH2)

    别名

    CYTH2

    背景

    Background: Acts as a guanine-nucleotide exchange factor (GEF). Promotes guanine-nucleotide exchange on ARF1, ARF3 and ARF6. Promotes the activation of ARF factors through replacement of GDP with GTP. The cell membrane form, in association with ARL4 proteins, recruits ARF6 to the plasma membrane. Involved in neurite growth (By similarity).

    Aliases: ARF exchange factor antibody, ARF nucleotide binding site opener antibody, ARF nucleotide-binding site opener antibody, Arno antibody, ARNO protein antibody, CLM2 antibody, CTS18 antibody, CTS18.1 antibody, CYH2_HUMAN antibody, Cyth2 antibody, Cytohesin 2 antibody, Cytohesin-2 antibody, MGC137537 antibody, MGC80440 antibody, PH antibody, PH, SEC7 and coiled-coil domain-containing protein 2 antibody, Pleckstrin homology Sec7 and coiled coil domains 2 antibody, Pleckstrin homology Sec7 and coiled coil domains protein 2 antibody, Protein ARNO antibody, PSCD2 antibody, PSCD2L antibody, PSCD2L, formerly antibody, SEC7 and coiled-coil domain-containing protein 2 antibody, Sec7 antibody, SEC7 homolog B antibody, Sec7B antibody, SEC7L antibody, Sec7p L antibody, Sec7p-like antibody, Sec7pL antibody

    UniProt

    Q99418
You are here: