电话:
+86 (0512) 65829739
传真:
+86 (010) 6788 5057
电子邮件:
orders@antibodies-online.cn

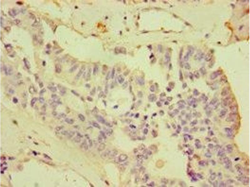
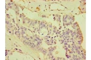
CDCP1 抗体 (AA 523-836)

The 兔 多克隆 anti-CDCP1 antibody is suitable to detect CDCP1 in samples from 人. It has been validated for ELISA 和 IHC.
产品编号 ABIN7148730
发货至: 中国
Contact our Customer Service for availability and price in your country. Contact Info

Our Local Distributor

中国
北京 101111
No. 88 KeChuang 6th Street
Beijing Economic Technological Development Area
Room 801-803
4A Biotech Co.,Ltd.
Tel +86 (0512) 65829739 传真 +86 (010) 6788 5057

Quick Overview for CDCP1 抗体 (AA 523-836) (ABIN7148730)

抗原

See all CDCP1 抗体
CDCP1 (CUB Domain Containing Protein 1 (CDCP1))

适用

  • 71
  • 23
  • 13
  • 2
  • 1
  • 1

宿主

  • 36
  • 29
  • 6
  • 2
  • 1
  • 1

克隆类型

  • 40
  • 35
多克隆

标记

  • 42
  • 4
  • 3
  • 3
  • 3
  • 3
  • 3
  • 3
  • 3
  • 3
  • 3
  • 1
  • 1
This CDCP1 antibody is un-conjugated

应用范围

  • 34
  • 27
  • 10
  • 9
  • 5
  • 3
  • 2
  • 1
  • 1
  • 1
  • 1
  • 1
  • 1
  • 1
  • 1
ELISA, Immunohistochemistry (IHC)
  • 抗原表位

    • 8
    • 4
    • 4
    • 3
    • 2
    • 2
    • 1
    • 1
    • 1
    • 1
    • 1
    • 1
    • 1
    • 1
    • 1
    • 1
    • 1
    • 1
    AA 523-836

    原理

    CDCP1 Antibody

    纯化方法

    Antigen Affinity Purified

    免疫原

    Recombinant Human CUB domain-containing protein 1 protein (523-836AA)

    亚型

    IgG
  • 应用备注

    Optimal working dilution should be determined by the investigator.

    限制

    仅限研究用
  • 状态

    Liquid

    缓冲液

    PBS with 0.02 % sodium azide, 50 % glycerol, pH 7.3.

    储存液

    Sodium azide

    注意事项

    This product contains Sodium azide: a POISONOUS AND HAZARDOUS SUBSTANCE which should be handled by trained staff only.

    储存条件

    -20 °C,-80 °C

    储存方法

    Upon receipt, store at -20°C or -80°C. Avoid repeated freeze.
  • 抗原

    CDCP1 (CUB Domain Containing Protein 1 (CDCP1))

    别名

    CDCP1

    背景

    Background: May be involved in cell adhesion and cell matrix association. May play a role in the regulation of anchorage versus migration or proliferation versus differentiation via its phosphorylation. May be a novel marker for leukemia diagnosis and for immature hematopoietic stem cell subsets. Belongs to the tetraspanin web involved in tumor progression and metastasis.

    Aliases: 9030022E12Rik antibody, AA409659 antibody, CD 318 antibody, CD_antigen=CD318 antibody, CD318 antibody, CD318 antigen antibody, CDCP 1 antibody, Cdcp1 antibody, CDCP1_HUMAN antibody, CUB domain containing protein 1 antibody, CUB domain-containing protein 1 antibody, E030027H19Rik antibody, FLJ13772 antibody, FLJ22375 antibody, FLJ22969 antibody, Membrane glycoprotein gp140 antibody, MGC31813 antibody, OTTHUMP00000164120 antibody, OTTHUMP00000209568 antibody, RGD1305578 antibody, SIMA 135 antibody, SIMA135 antibody, Subtractive immunization M plus HEp3 associated 135 kDa protein antibody, Subtractive immunization M plus HEp3-associated 135 kDa protein antibody, Transmembrane and associated with src kinases antibody, TRASK antibody

    UniProt

    Q9H5V8
You are here: