电话:
+86 (0512) 65829739
传真:
+86 (010) 6788 5057
电子邮件:
orders@antibodies-online.cn

CDCP1 抗体 (AA 582-667)

The 兔 多克隆 anti-CDCP1 antibody (ABIN4886532) specifically detects CDCP1 in WB, IHC 和 FACS. The antibody is reactive with 人, 小鼠 和 大鼠 samples.
产品编号 ABIN4886532
发货至: 中国
Contact our Customer Service for availability and price in your country. Contact Info

Our Local Distributor

中国
北京 101111
No. 88 KeChuang 6th Street
Beijing Economic Technological Development Area
Room 801-803
4A Biotech Co.,Ltd.
Tel +86 (0512) 65829739 传真 +86 (010) 6788 5057

Quick Overview for CDCP1 抗体 (AA 582-667) (ABIN4886532)

抗原

See all CDCP1 抗体
CDCP1 (CUB Domain Containing Protein 1 (CDCP1))

适用

  • 71
  • 22
  • 12
  • 2
  • 1
  • 1
人, 小鼠, 大鼠

宿主

  • 36
  • 29
  • 6
  • 2
  • 1
  • 1

克隆类型

  • 40
  • 35
多克隆

标记

  • 42
  • 4
  • 3
  • 3
  • 3
  • 3
  • 3
  • 3
  • 3
  • 3
  • 3
  • 1
  • 1
This CDCP1 antibody is un-conjugated

应用范围

  • 33
  • 28
  • 9
  • 9
  • 5
  • 3
  • 2
  • 1
  • 1
  • 1
  • 1
  • 1
  • 1
  • 1
  • 1
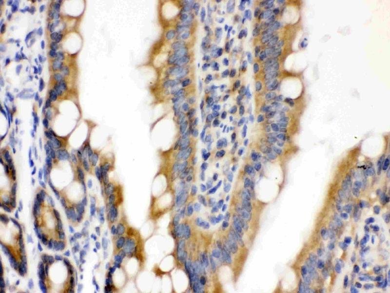
Western Blotting (WB), Immunohistochemistry (IHC), Flow Cytometry (FACS)
  • 抗原表位

    • 8
    • 4
    • 4
    • 3
    • 2
    • 2
    • 1
    • 1
    • 1
    • 1
    • 1
    • 1
    • 1
    • 1
    • 1
    • 1
    • 1
    • 1
    AA 582-667

    原理

    Anti-CDCP1 Antibody

    交叉反应 (详细)

    No cross-reactivity with other proteins

    产品特性

    Anti-CDCP1 Antibody (ABIN4886532). Tested in Flow Cytometry, IHC, WB applications. This antibody reacts with Human, Mouse, Rat. This is a premium antibody that guarantees superior quality, high affinity, and strong signals with minimal background in Western blot applications.

    纯化方法

    Immunogen affinity purified.

    免疫原

    E. coli-derived human CDCP1 recombinant protein (Position: R582-T667). Human CDCP1 shares 84.5% amino acid (aa) sequence identity with mouse CDCP1.

    亚型

    IgG
  • 应用备注

    Western blot, 0.1-0.5 μg/mL, Human
    Immunohistochemistry (Paraffin-embedded Section), 0.5-1 μg/mL, Human, Mouse, Rat
    Flow Cytometry (Fixed), 1-3 μg/1x106 cells, Human

    说明

    Antibody can be supported by chemiluminescence kit ABIN921124 in WB, supported by ABIN921231 in IHC(P).

    限制

    仅限研究用
  • 状态

    Lyophilized

    溶解方式

    Add 0.2 mL of distilled water will yield a concentration of 500 μg/mL.

    浓度

    500 μg/mL

    缓冲液

    Each vial contains 5 mg BSA, 0.9 mg NaCl, 0.2 mg Na2HPO4, 0.05 mg Sodium azide.

    储存液

    Sodium azide

    注意事项

    This product contains Sodium azide: a POISONOUS AND HAZARDOUS SUBSTANCE which should be handled by trained staff only.

    注意事项

    Avoid repeated freezing and thawing.

    储存条件

    4 °C,-20 °C

    储存方法

    Store at -20°C for one year from date of receipt. After reconstitution, at 4°C for one month.
    It can also be aliquotted and stored frozen at -20°C for six months. Avoid repeated freeze-thaw cycles.
  • 抗原

    CDCP1 (CUB Domain Containing Protein 1 (CDCP1))

    别名

    CDCP1

    背景

    Synonyms: CUB domain-containing protein 1,Membrane glycoprotein gp140,Subtractive immunization M plus HEp3-associated 135 kDa protein,SIMA135,Transmembrane and associated with src kinases,CD318,CDCP1,TRASK,UNQ2486/PRO5773,

    Tissue Specificity: Highly expressed in mitotic cells with low expression during interphase. Detected at highest levels in skeletal muscle and colon with lower levels in kidney, small intestine, placenta and lung. Up-regulated in a number of human tumor cell lines, as well as in colorectal cancer, breast carcinoma and lung cancer. Also expressed in cells with phenotypes reminiscent of mesenchymal stem cells and neural stem cells. .

    Background: CUB domain-containing protein 1 (CDCP1) is a protein that in humans is encoded by the CDCP1 gene. It has also been designated as CD318 (cluster of differentiation 318) and Trask (Transmembrane and associated with src kinases). CDCP1/Trask is a 140 kD transmembrane glycoprotein with a large extracellular domain (ECD) containing two CUB domains, and a smaller intracellular domain (ICD) containing five tyrosines. The tyrosine phosphorylation of Trask is tightly regulated and reciprocally linked with the state of cell adhesion. The tyrosine phosphorylation of CDCP1 in cultured cells occurs when cells are induced to detach by trypsin or EDTA, or seen spontaneously during mitotic detachment. The overexpression of CDCP1 leads to the loss of cell adhesion and a detached phenotype. CDCP1 is widely expressed in human epithelial tissues, but its phosphorylation is only seen in mitotically detached or shedding cells, consistent with its role in the negative regulation of cell adhesion.

    分子量

    130 kDa

    基因ID

    64866

    UniProt

    Q9H5V8
You are here: