电话:
+86 (0512) 65829739
传真:
+86 (010) 6788 5057
电子邮件:
orders@antibodies-online.cn

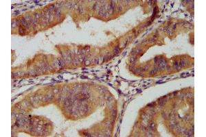
Clusterin 抗体 (AA 23-224)

The 兔 多克隆 anti-Clusterin antibody is suitable to detect Clusterin in samples from 人. It has been validated for IHC, ELISA 和 IF.
产品编号 ABIN7147944
发货至: 中国
Contact our Customer Service for availability and price in your country. Contact Info

Our Local Distributor

中国
北京 101111
No. 88 KeChuang 6th Street
Beijing Economic Technological Development Area
Room 801-803
4A Biotech Co.,Ltd.
Tel +86 (0512) 65829739 传真 +86 (010) 6788 5057

Quick Overview for Clusterin 抗体 (AA 23-224) (ABIN7147944)

抗原

See all Clusterin (CLU) 抗体
Clusterin (CLU)

适用

  • 105
  • 51
  • 50
  • 21
  • 10
  • 7
  • 2
  • 2
  • 2
  • 1

宿主

  • 126
  • 42
  • 10
  • 5
  • 4
  • 2
  • 1

克隆类型

  • 105
  • 80
  • 2
多克隆

标记

  • 102
  • 29
  • 16
  • 5
  • 4
  • 4
  • 4
  • 4
  • 4
  • 4
  • 3
  • 3
  • 3
  • 2
  • 1
This Clusterin antibody is un-conjugated

应用范围

  • 157
  • 100
  • 53
  • 43
  • 36
  • 24
  • 20
  • 15
  • 8
  • 6
  • 5
  • 3
  • 3
  • 2
  • 1
  • 1
  • 1
  • 1
  • 1
  • 1
  • 1
Immunohistochemistry (IHC), ELISA, Immunofluorescence (IF)
  • 抗原表位

    • 10
    • 10
    • 9
    • 8
    • 7
    • 6
    • 5
    • 5
    • 5
    • 4
    • 3
    • 3
    • 3
    • 3
    • 3
    • 3
    • 2
    • 2
    • 2
    • 1
    • 1
    • 1
    • 1
    • 1
    • 1
    • 1
    • 1
    • 1
    • 1
    • 1
    • 1
    • 1
    • 1
    • 1
    • 1
    • 1
    AA 23-224

    原理

    CLU Antibody

    纯化方法

    Protein G purified

    纯度

    >95 %

    免疫原

    Recombinant Human Clusterin protein (23-224AA)

    亚型

    IgG
  • 应用备注

    Optimal working dilution should be determined by the investigator.

    限制

    仅限研究用
  • 状态

    Liquid

    缓冲液

    Preservative: 0.03 % Proclin 300
    Constituents: 50 % Glycerol, 0.01M PBS, PH 7.4

    储存液

    ProClin

    注意事项

    This product contains ProClin: a POISONOUS AND HAZARDOUS SUBSTANCE which should be handled by trained staff only.

    储存条件

    -20 °C,-80 °C

    储存方法

    Upon receipt, store at -20°C or -80°C. Avoid repeated freeze.
  • 抗原

    Clusterin (CLU)

    别名

    CLU

    背景

    Background: Isoform 1 functions as extracellular chaperone that prevents aggregation of nonnative proteins. Prevents stress-induced aggregation of blood plasma proteins. Inhibits formation of amyloid fibrils by APP, APOC2, B2M, CALCA, CSN3, SNCA and aggregation-prone LYZ variants (in vitro). Does not require ATP. Maintains partially unfolded proteins in a state appropriate for subsequent refolding by other chaperones, such as HSPA8/HSC70. Does not refold proteins by itself. Binding to cell surface receptors triggers internalization of the chaperone-client complex and subsequent lysosomal or proteasomal degradation. Secreted isoform 1 protects cells against apoptosis and against cytolysis by complement. Intracellular isoforms interact with ubiquitin and SCF (SKP1-CUL1-F-box protein) E3 ubiquitin-protein ligase complexes and promote the ubiquitination and subsequent proteasomal degradation of target proteins. Promotes proteasomal degradation of COMMD1 and IKBKB. Modulates NF-kappa-B transcriptional activity. Nuclear isoforms promote apoptosis. Mitochondrial isoforms suppress BAX-dependent release of cytochrome c into the cytoplasm and inhibit apoptosis. Plays a role in the regulation of cell proliferation.

    Aliases: 40 antibody, AAG 4 antibody, AAG4 antibody, Aging associated protein 4 antibody, Aging-associated gene 4 protein antibody, AI893575 antibody, APO J antibody, Apo-J antibody, APOJ antibody, ApoJalpha antibody, ApoJbeta antibody, Apolipoprotein J antibody, ApolipoproteinJ antibody, CLI antibody, CLU antibody, CLU1 antibody, CLU2 antibody, CLUS_HUMAN antibody, Clusterin alpha chain antibody, Clusterin antibody, Clusterin beta chain antibody, Complement associated protein SP 40 40 antibody, Complement associated protein SP 40 antibody, Complement associated protein SP40 antibody, Complement cytolysis inhibitor a chain antibody, Complement cytolysis inhibitor antibody, Complement cytolysis inhibitor b chain antibody, Complement lysis inhibitor antibody, Complement-associated protein SP-40 antibody, D14Ucla3 antibody, Dimeric acid glycoprotein antibody, Glycoprotein 80 antibody, Glycoprotein III antibody, GP80 antibody, Ku70-binding protein 1 antibody, KUB 1 antibody, KUB1 antibody, MGC24903 antibody, NA1/NA2 antibody, RATTRPM2B antibody, SGP 2 antibody, SGP2 antibody, SP 40 antibody, SP40 antibody, Sugp-2 antibody, Sulfated glycoprotein 2 antibody, Testosterone repressed prostate message 2 antibody, Testosterone-repressed prostate message 2 antibody, TRPM 2 antibody, TRPM-2 antibody, TRPM2 antibody, TRPM2B antibody, Trpmb antibody

    UniProt

    P10909

    途径

    Apoptosis, Negative Regulation of intrinsic apoptotic Signaling
You are here: