电话:
+86 (0512) 65829739
传真:
+86 (010) 6788 5057
电子邮件:
orders@antibodies-online.cn

CHMP4B 抗体 (AA 1-224)

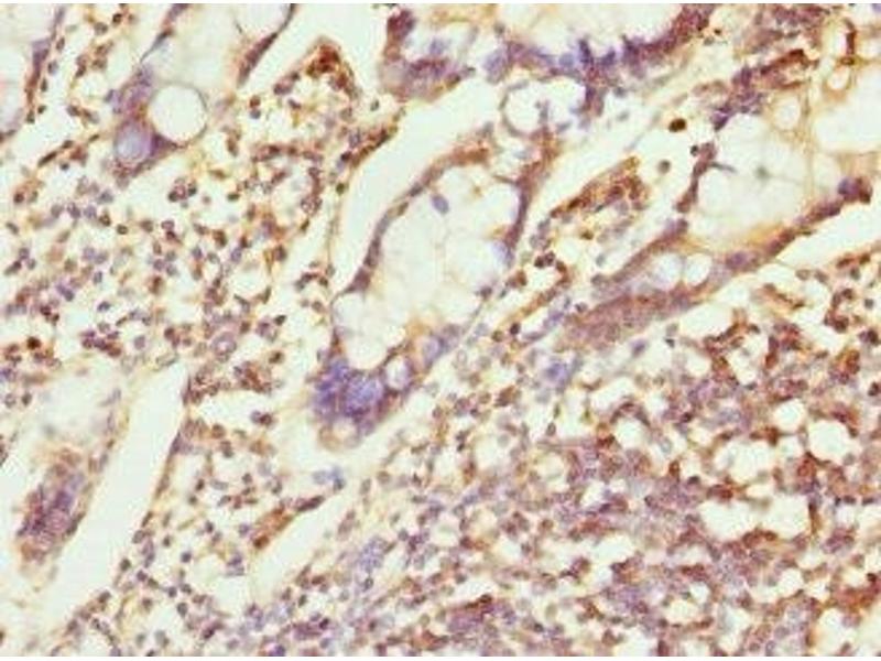
The 兔 多克隆 anti-CHMP4B antibody is suitable to detect CHMP4B in samples from 人. It has been validated for IHC 和 ELISA.
产品编号 ABIN7147524
发货至: 中国
Contact our Customer Service for availability and price in your country. Contact Info

Our Local Distributor

中国
北京 101111
No. 88 KeChuang 6th Street
Beijing Economic Technological Development Area
Room 801-803
4A Biotech Co.,Ltd.
Tel +86 (0512) 65829739 传真 +86 (010) 6788 5057

Quick Overview for CHMP4B 抗体 (AA 1-224) (ABIN7147524)

抗原

See all CHMP4B 抗体
CHMP4B (Charged Multivesicular Body Protein 4B (CHMP4B))

适用

  • 39
  • 22
  • 14
  • 3
  • 3
  • 3
  • 3
  • 3
  • 3
  • 2
  • 2
  • 2
  • 2
  • 1

宿主

  • 38
  • 1

克隆类型

  • 38
  • 1
多克隆

标记

  • 13
  • 3
  • 2
  • 2
  • 1
  • 1
  • 1
  • 1
  • 1
  • 1
  • 1
  • 1
  • 1
  • 1
  • 1
  • 1
  • 1
  • 1
  • 1
  • 1
  • 1
  • 1
  • 1
This CHMP4B antibody is un-conjugated

应用范围

  • 15
  • 13
  • 13
  • 13
  • 12
  • 8
  • 5
  • 3
  • 3
  • 3
Immunohistochemistry (IHC), ELISA
  • 抗原表位

    • 15
    • 7
    • 3
    • 1
    • 1
    • 1
    • 1
    • 1
    • 1
    AA 1-224

    原理

    CHMP4B Antibody

    纯化方法

    Antigen Affinity Purified

    免疫原

    Recombinant Human Charged multivesicular body protein 4b protein (1-224AA)

    亚型

    IgG
  • 应用备注

    Optimal working dilution should be determined by the investigator.

    限制

    仅限研究用
  • 状态

    Liquid

    缓冲液

    PBS with 0.02 % sodium azide, 50 % glycerol, pH 7.3.

    储存液

    Sodium azide

    注意事项

    This product contains Sodium azide: a POISONOUS AND HAZARDOUS SUBSTANCE which should be handled by trained staff only.

    储存条件

    -20 °C,-80 °C

    储存方法

    Upon receipt, store at -20°C or -80°C. Avoid repeated freeze.
  • 抗原

    CHMP4B (Charged Multivesicular Body Protein 4B (CHMP4B))

    别名

    CHMP4B

    背景

    Background: Probable core component of the endosomal sorting required for transport complex III (ESCRT-III) which is involved in multivesicular bodies (MVBs) formation and sorting of endosomal cargo proteins into MVBs. MVBs contain intraluminal vesicles (ILVs) that are generated by invagination and scission from the limiting membrane of the endosome and mostly are delivered to lysosomes enabling degradation of membrane proteins, such as stimulated growth factor receptors, lysosomal enzymes and lipids. The MVB pathway appears to require the sequential function of ESCRT-O, -I,-II and -III complexes. ESCRT-III proteins mostly dissociate from the invaginating membrane before the ILV is released (PubMed:12860994, PubMed:18209100). The ESCRT machinery also functions in topologically equivalent membrane fission events, such as the terminal stages of cytokinesis (PubMed:21310966). Together with SPAST, the ESCRT-III complex promotes nuclear envelope sealing and mitotic spindle disassembly during late anaphase (PubMed:26040712). Plays a role in the endosomal sorting pathway. ESCRT-III proteins are believed to mediate the necessary vesicle extrusion and/or membrane fission activities, possibly in conjunction with the AAA ATPase VPS4. When overexpressed, membrane-assembled circular arrays of CHMP4B filaments can promote or stabilize negative curvature and outward budding. CHMP4A/B/C are required for the exosomal release of SDCBP, CD63 and syndecan (PubMed:22660413).

    Aliases: Charged multivesicular body protein 4b antibody, CHM4B_HUMAN antibody, chmp4b antibody, Chromatin-modifying protein 4b antibody, hSnf7-2 antibody, hVps32-2 antibody, SNF7 homolog associated with Alix 1 antibody, SNF7-2 antibody, Vacuolar protein sorting-associated protein 32-2 antibody, Vps32-2 antibody

    UniProt

    Q9H444
You are here: