电话:
+86 (0512) 65829739
传真:
+86 (010) 6788 5057
电子邮件:
orders@antibodies-online.cn

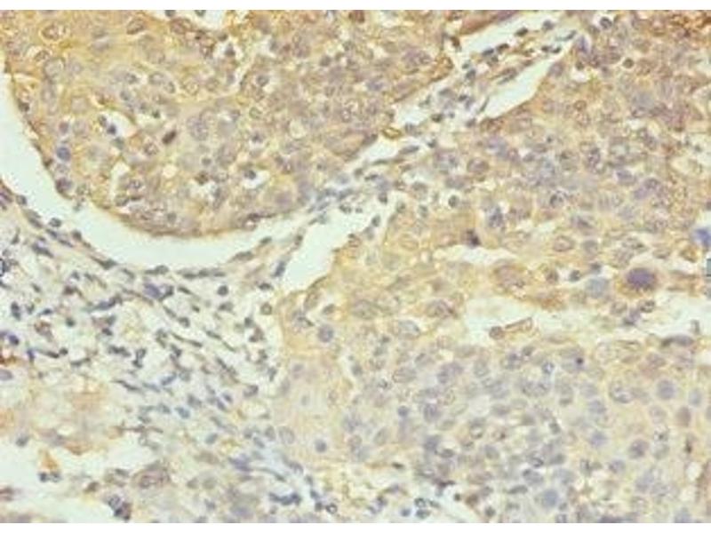
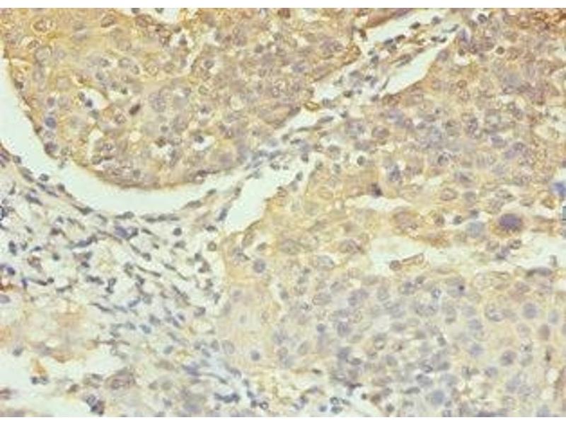
Caspase 3 抗体 (AA 29-175)

The 兔 多克隆 anti-Caspase 3 antibody is suitable to detect Caspase 3 in samples from 人. It has been validated for IHC, ELISA 和 IF.
产品编号 ABIN7146942
发货至: 中国
Contact our Customer Service for availability and price in your country. Contact Info

Our Local Distributor

中国
北京 101111
No. 88 KeChuang 6th Street
Beijing Economic Technological Development Area
Room 801-803
4A Biotech Co.,Ltd.
Tel +86 (0512) 65829739 传真 +86 (010) 6788 5057

Quick Overview for Caspase 3 抗体 (AA 29-175) (ABIN7146942)

抗原

See all Caspase 3 (CASP3) 抗体
Caspase 3 (CASP3)

适用

  • 279
  • 161
  • 95
  • 19
  • 11
  • 11
  • 11
  • 8
  • 7
  • 5
  • 4
  • 4
  • 4
  • 3
  • 2
  • 2
  • 1
  • 1

宿主

  • 282
  • 26
  • 3
  • 3
  • 2
  • 2

克隆类型

  • 200
  • 117
多克隆

标记

  • 163
  • 26
  • 14
  • 11
  • 9
  • 9
  • 9
  • 9
  • 9
  • 7
  • 7
  • 7
  • 7
  • 5
  • 2
  • 2
  • 2
  • 2
  • 2
  • 2
  • 2
  • 2
  • 2
  • 2
  • 2
  • 2
  • 2
This Caspase 3 antibody is un-conjugated

应用范围

  • 253
  • 164
  • 90
  • 85
  • 79
  • 78
  • 61
  • 39
  • 30
  • 29
  • 23
  • 10
  • 8
  • 5
  • 3
  • 2
  • 1
  • 1
  • 1
  • 1
Immunohistochemistry (IHC), ELISA, Immunofluorescence (IF)
  • 抗原表位

    • 27
    • 21
    • 20
    • 16
    • 16
    • 14
    • 13
    • 12
    • 12
    • 8
    • 8
    • 7
    • 7
    • 6
    • 6
    • 6
    • 6
    • 5
    • 4
    • 3
    • 3
    • 3
    • 2
    • 2
    • 2
    • 2
    • 2
    • 2
    • 1
    • 1
    • 1
    • 1
    • 1
    • 1
    • 1
    • 1
    • 1
    • 1
    • 1
    • 1
    • 1
    • 1
    • 1
    • 1
    • 1
    • 1
    • 1
    • 1
    • 1
    • 1
    AA 29-175

    原理

    CASP3 Antibody

    纯化方法

    Protein G purified

    纯度

    >95 %

    免疫原

    Recombinant Human Caspase-3 protein (29-175AA)

    亚型

    IgG
  • 应用备注

    Optimal working dilution should be determined by the investigator.

    限制

    仅限研究用
  • 状态

    Liquid

    缓冲液

    Preservative: 0.03 % Proclin 300
    Constituents: 50 % Glycerol, 0.01M PBS, PH 7.4

    储存液

    ProClin

    注意事项

    This product contains ProClin: a POISONOUS AND HAZARDOUS SUBSTANCE which should be handled by trained staff only.

    储存条件

    -20 °C,-80 °C

    储存方法

    Upon receipt, store at -20°C or -80°C. Avoid repeated freeze.
  • 抗原

    Caspase 3 (CASP3)

    别名

    CASP3

    背景

    Background: Involved in the activation cascade of caspases responsible for apoptosis execution.

    Aliases: A830040C14Rik antibody, Apopain antibody, CASP 3 antibody, CASP-3 antibody, CASP3 antibody, CASP3_HUMAN antibody, Casp3a antibody, Caspase 3 antibody, Caspase 3, apoptosis-related cysteine peptidase antibody, Caspase 3, apoptosis-related cysteine protease antibody, Caspase 3, apoptosis-related cysteine protease a antibody, Caspase-3 subunit p12 antibody, Caspase3 antibody, CC3 antibody, CPP 32 antibody, CPP-32 antibody, CPP32 antibody, CPP32B antibody, Cysteine protease CPP32 antibody, EC 3.4.22.56 antibody, ICE3 antibody, LICE antibody, mldy antibody, OTTHUMP00000165052 antibody, OTTHUMP00000165053 antibody, OTTHUMP00000165054 antibody, PARP cleavage protease antibody, Procaspase3 antibody, Protein Yama antibody, SCA 1 antibody, SCA-1 antibody, SCA1 antibody, SREBP cleavage activity 1 antibody, Yama antibody, Yama protein antibody

    UniProt

    P42574

    途径

    Apoptosis, Caspase Cascade in Apoptosis, Sensory Perception of Sound, ER-Nucleus Signaling, Positive Regulation of Endopeptidase Activity, Activated T Cell Proliferation
You are here: