电话:
+86 (0512) 65829739
传真:
+86 (010) 6788 5057
电子邮件:
orders@antibodies-online.cn

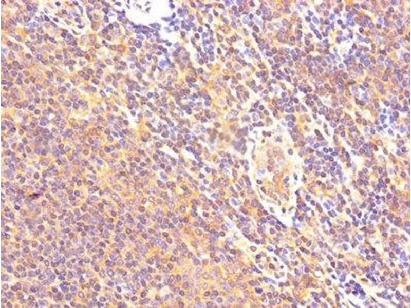
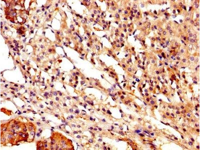
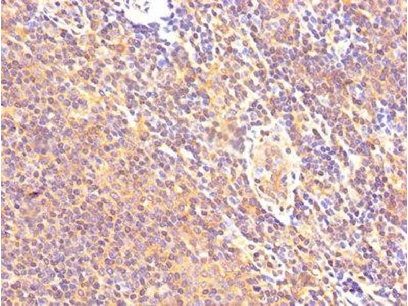
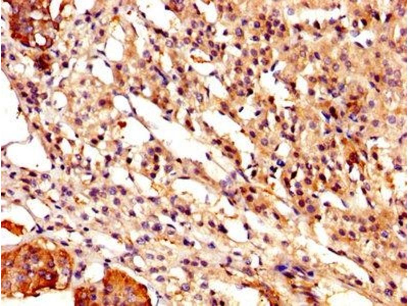
Calpastatin 抗体 (AA 1-667)

This 兔 多克隆 antibody specifically detects Calpastatin in WB, ELISA, IHC 和 IF. It exhibits reactivity toward 人.
产品编号 ABIN7146551
发货至: 中国
Contact our Customer Service for availability and price in your country. Contact Info

Our Local Distributor

中国
北京 101111
No. 88 KeChuang 6th Street
Beijing Economic Technological Development Area
Room 801-803
4A Biotech Co.,Ltd.
Tel +86 (0512) 65829739 传真 +86 (010) 6788 5057

Quick Overview for Calpastatin 抗体 (AA 1-667) (ABIN7146551)

抗原

See all Calpastatin (CAST) 抗体
Calpastatin (CAST)

适用

  • 60
  • 19
  • 3
  • 2

宿主

  • 39
  • 23

克隆类型

  • 41
  • 21
多克隆

标记

  • 28
  • 4
  • 3
  • 2
  • 1
  • 1
  • 1
  • 1
  • 1
  • 1
  • 1
  • 1
  • 1
  • 1
  • 1
  • 1
  • 1
  • 1
  • 1
  • 1
  • 1
  • 1
  • 1
  • 1
  • 1
  • 1
  • 1
  • 1
  • 1
This Calpastatin antibody is un-conjugated

应用范围

  • 38
  • 17
  • 14
  • 13
  • 13
  • 10
  • 7
  • 6
  • 4
  • 4
  • 3
  • 3
  • 2
  • 1
  • 1
Western Blotting (WB), ELISA, Immunohistochemistry (IHC), Immunofluorescence (IF)
  • 抗原表位

    • 15
    • 6
    • 3
    • 2
    • 1
    • 1
    • 1
    • 1
    • 1
    • 1
    • 1
    • 1
    • 1
    • 1
    AA 1-667

    原理

    CAST Antibody

    交叉反应

    小鼠

    纯化方法

    Protein G purified

    纯度

    >95 %

    免疫原

    Recombinant Human Calpastatin protein (1-667AA)

    亚型

    IgG
  • 应用备注

    Optimal working dilution should be determined by the investigator.

    限制

    仅限研究用
  • 状态

    Liquid

    缓冲液

    Preservative: 0.03 % Proclin 300
    Constituents: 50 % Glycerol, 0.01M PBS, PH 7.4

    储存液

    ProClin

    注意事项

    This product contains ProClin: a POISONOUS AND HAZARDOUS SUBSTANCE which should be handled by trained staff only.

    储存条件

    -20 °C,-80 °C

    储存方法

    Upon receipt, store at -20°C or -80°C. Avoid repeated freeze.
  • 抗原

    Calpastatin (CAST)

    别名

    CAST

    背景

    Background: Specific inhibition of calpain (calcium-dependent cysteine protease). Plays a key role in postmortem tenderization of meat and have been proposed to be involved in muscle protein degradation in living tissue.

    Aliases: BS 17 antibody, Calpain inhibitor antibody, Calpastatin antibody, Cast antibody, Heart type calpastatin antibody, ICAL_HUMAN antibody, MGC9402 antibody, Sperm BS 17 component antibody, Sperm BS-17 component antibody

    UniProt

    P20810
You are here: