电话:
+86 (0512) 65829739
传真:
+86 (010) 6788 5057
电子邮件:
orders@antibodies-online.cn

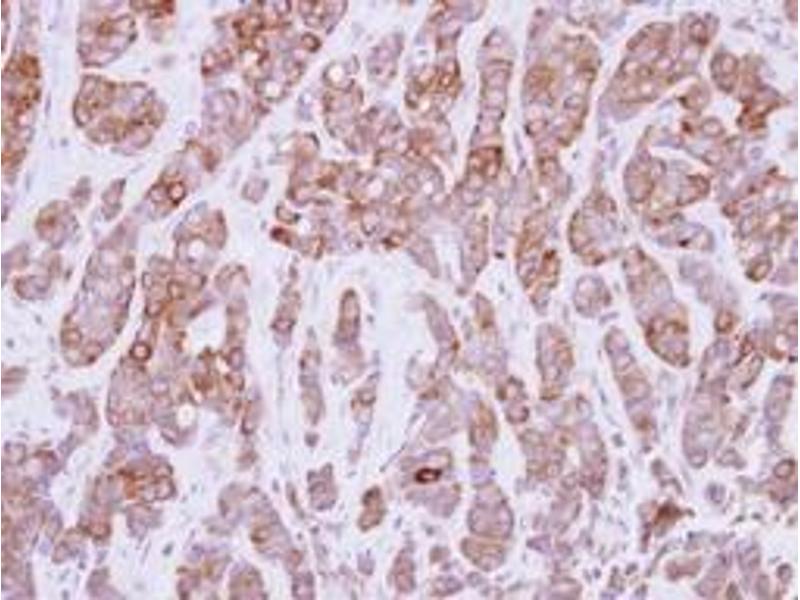
Calpastatin 抗体 (AA 275-700)

This 兔 多克隆 antibody specifically detects Calpastatin in WB, IHC 和 IHC (p). It exhibits reactivity toward 人.
产品编号 ABIN1497106
发货至: 中国
Contact our Customer Service for availability and price in your country. Contact Info

Our Local Distributor

中国
北京 101111
No. 88 KeChuang 6th Street
Beijing Economic Technological Development Area
Room 801-803
4A Biotech Co.,Ltd.
Tel +86 (0512) 65829739 传真 +86 (010) 6788 5057

Quick Overview for Calpastatin 抗体 (AA 275-700) (ABIN1497106)

抗原

See all Calpastatin (CAST) 抗体
Calpastatin (CAST)

适用

  • 60
  • 19
  • 3
  • 2

宿主

  • 39
  • 23

克隆类型

  • 41
  • 21
多克隆

标记

  • 28
  • 4
  • 3
  • 2
  • 1
  • 1
  • 1
  • 1
  • 1
  • 1
  • 1
  • 1
  • 1
  • 1
  • 1
  • 1
  • 1
  • 1
  • 1
  • 1
  • 1
  • 1
  • 1
  • 1
  • 1
  • 1
  • 1
  • 1
  • 1
This Calpastatin antibody is un-conjugated

应用范围

  • 38
  • 17
  • 15
  • 13
  • 13
  • 10
  • 8
  • 5
  • 4
  • 4
  • 3
  • 3
  • 2
  • 1
  • 1
Western Blotting (WB), Immunohistochemistry (IHC), Immunohistochemistry (Paraffin-embedded Sections) (IHC (p))
  • 抗原表位

    • 15
    • 7
    • 3
    • 2
    • 1
    • 1
    • 1
    • 1
    • 1
    • 1
    • 1
    • 1
    • 1
    AA 275-700

    特异性

    Human CAST / Calpastatin

    预测反应

    Percent identity by BLAST analysis: Human (100%) Rabbit (80%).

    纯化方法

    Immunoaffinity purified

    免疫原

    Recombinant fragment corresponding to a region within amino acids 275 and 700 of Calpastatin (SwissProt P20810). Percent identity by BLAST analysis: Human (100%), Rabbit (80%).

    Type of Immunogen: Recombinant protein

    亚型

    IgG
  • 应用备注

    Approved: IHC, IHC-P (1:100 - 1:1000), WB (1:500 - 1:3000)

    Usage: Suggested starting dilutions are as follows: Western blot: 1:500-1:3000, IHC-Paraffin: 1:100-1:1000 [suggested antigen retrieval using heat mediated 10 mM Citrate buffer (  pH 6.0) or Tris-EDTA buffer (  pH 8.0)]. Not yet tested in other applications. Optimal working dilutions should be determined experimentally by the end user.

    说明

    Target Species of Antibody: Human

    限制

    仅限研究用
  • 状态

    Liquid

    浓度

    Lot specific

    缓冲液

    0.1 M Tris-glycine,  pH 7, 20 % Glycerol, 0.01 % Thimerosal

    储存液

    Thimerosal (Merthiolate)

    注意事项

    This product contains Thimerosal (Merthiolate): a POISONOUS AND HAZARDOUS SUBSTANCE which should be handled by trained staff only.

    注意事项

    Avoid freeze-thaw cycles.

    储存条件

    -20 °C

    储存方法

    Aliquot and freeze at -20°C. Avoid freeze-thaw cycles.
  • 抗原

    Calpastatin (CAST)

    别名

    CAST / Calpastatin

    背景

    Name/Gene ID: CAST

    Synonyms: CAST, Calpastatin, BS-17, Calpain inhibitor, Sperm BS-17 component

    基因ID

    831

    UniProt

    P20810
You are here: