MAP4K1 抗体 (pSer171)
Our Local Distributor
北京 101111
Quick Overview for MAP4K1 抗体 (pSer171) (ABIN710396)
抗原
See all MAP4K1 抗体适用
宿主
克隆类型
标记
应用范围
-
-
抗原表位
- pSer171
-
交叉反应
- 人, 大鼠
-
预测反应
- Mouse,Dog,Pig,Horse
-
纯化方法
- Purified by Protein A.
-
免疫原
- KLH conjugated synthetic phosphopeptide derived from human MAP4K1 around the phosphorylation site of Ser171
-
亚型
- IgG
-
-
-
-
应用备注
-
WB 1:300-5000
ELISA 1:500-1000
FCM 1:20-100
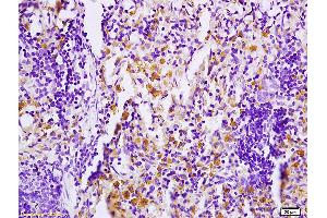
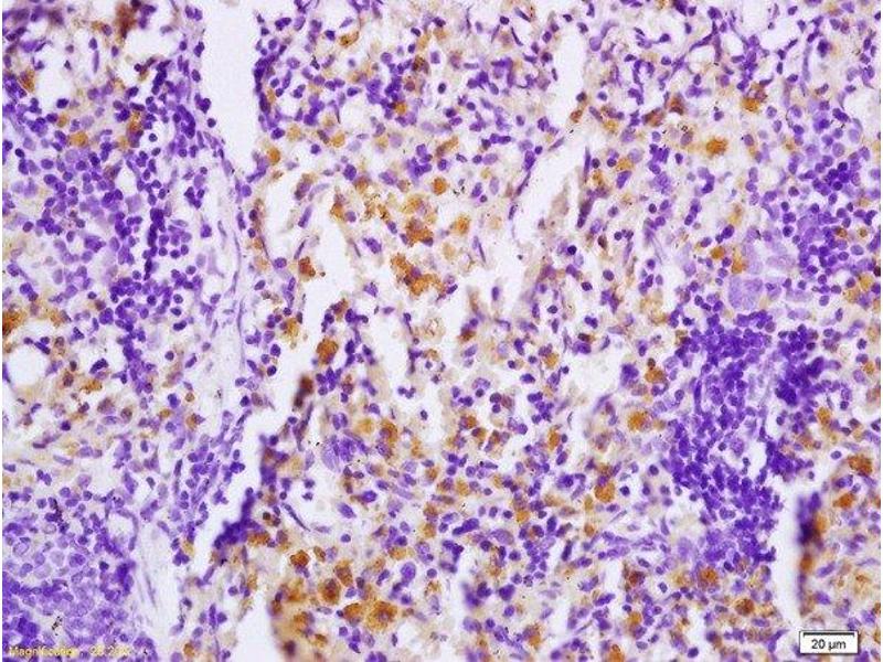
IHC-P 1:200-400
IHC-F 1:100-500
IF(IHC-P) 1:50-200
IF(IHC-F) 1:50-200
IF(ICC) 1:50-200 -
限制
- 仅限研究用
-
-
-
状态
- Liquid
-
浓度
- 1 μg/μL
-
缓冲液
- 0.01M TBS( pH 7.4) with 1 % BSA, 0.02 % Proclin300 and 50 % Glycerol.
-
储存液
- ProClin
-
注意事项
- This product contains ProClin: a POISONOUS AND HAZARDOUS SUBSTANCE, which should be handled by trained staff only.
-
储存条件
- 4 °C,-20 °C
-
储存方法
- Shipped at 4°C. Store at -20°C for one year. Avoid repeated freeze/thaw cycles.
-
有效期
- 12 months
-
-
- MAP4K1 (Mitogen-Activated Protein Kinase Kinase Kinase Kinase 1 (MAP4K1))
-
别名
- MAP4K1
-
背景
-
Synonyms: HPK1, Mitogen-activated protein kinase kinase kinase kinase 1, Hematopoietic progenitor kinase, MAPK/ERK kinase kinase kinase 1, MEK kinase kinase 1, MEKKK 1, MAP4K1
Background: Serine/threonine-protein kinase, which may play a role in the response to environmental stress. Appears to act upstream of the JUN N-terminal pathway. May play a role in hematopoietic lineage decisions and growth regulation. Able to autophosphorylate.
-
基因ID
- 11184
-
UniProt
- Q92918
-
途径
- TCR Signaling, Signaling of Hepatocyte Growth Factor Receptor
抗原
-