电话:
+86 (0512) 65829739
传真:
+86 (010) 6788 5057
电子邮件:
orders@antibodies-online.cn

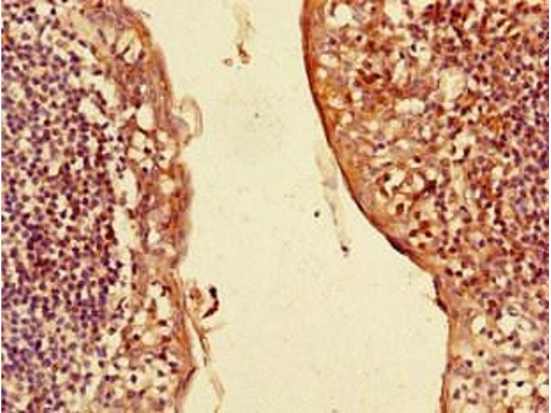
CXCL3 抗体 (AA 35-107)

The 兔 多克隆 anti-CXCL3 antibody (ABIN7146133) specifically detects CXCL3 in ELISA 和 IHC. The antibody is reactive with 人 samples.
产品编号 ABIN7146133
发货至: 中国
Contact our Customer Service for availability and price in your country. Contact Info

Our Local Distributor

中国
北京 101111
No. 88 KeChuang 6th Street
Beijing Economic Technological Development Area
Room 801-803
4A Biotech Co.,Ltd.
Tel +86 (0512) 65829739 传真 +86 (010) 6788 5057

Quick Overview for CXCL3 抗体 (AA 35-107) (ABIN7146133)

抗原

See all CXCL3 抗体
CXCL3 (Chemokine (C-X-C Motif) Ligand 3 (CXCL3))

适用

  • 20
  • 11
  • 3
  • 1
  • 1
  • 1

宿主

  • 29
  • 1
  • 1

克隆类型

  • 30
  • 1
多克隆

标记

  • 14
  • 5
  • 4
  • 2
  • 1
  • 1
  • 1
  • 1
  • 1
  • 1
This CXCL3 antibody is un-conjugated

应用范围

  • 15
  • 12
  • 9
  • 5
  • 3
  • 2
  • 1
  • 1
  • 1
  • 1
ELISA, Immunohistochemistry (IHC)
  • 抗原表位

    • 6
    • 5
    • 3
    • 1
    • 1
    • 1
    • 1
    AA 35-107

    原理

    CXCL3 Antibody

    纯化方法

    Protein G purified

    纯度

    >95 %

    免疫原

    Recombinant Human C-X-C motif chemokine 3 protein (35-107AA)

    亚型

    IgG
  • 应用备注

    Optimal working dilution should be determined by the investigator.

    限制

    仅限研究用
  • 状态

    Liquid

    缓冲液

    Preservative: 0.03 % Proclin 300
    Constituents: 50 % Glycerol, 0.01M PBS, PH 7.4

    储存液

    ProClin

    注意事项

    This product contains ProClin: a POISONOUS AND HAZARDOUS SUBSTANCE which should be handled by trained staff only.

    储存条件

    -20 °C,-80 °C

    储存方法

    Upon receipt, store at -20°C or -80°C. Avoid repeated freeze.
  • 抗原

    CXCL3 (Chemokine (C-X-C Motif) Ligand 3 (CXCL3))

    别名

    CXCL3

    背景

    Background: Ligand for CXCR2. Has chemotactic activity for neutrophils. May play a role in inflammation and exert its effects on endothelial cells in an autocrine fashion. In vitro, the processed form GRO-gamma(5-73) shows a fivefold higher chemotactic activity for neutrophilic granulocytes.

    Aliases: C-X-C motif chemokine 3 antibody, C-X-C motif chemokine ligand 3 antibody, Chemokine (C X C motif) ligand 3 antibody, Chemokine (CXC motif) ligand 3 antibody, Cinc 2 antibody, CINC 2b antibody, Cinc2 antibody, CINC2b antibody, CXCL 3 antibody, Cxcl3 antibody, CXCL3_HUMAN antibody, Cytokine induced neutrophil chemoattractant 2 antibody, Dcip1 antibody, Dendritic cell inflammatory protein 1 antibody, Gm1960 antibody, GRO protein gamma antibody, GRO-gamma antibody, GRO-gamma(1-73) antibody, GRO-gamma(5-73) antibody, GRO3 antibody, GRO3 oncogene antibody, GROG antibody, Growth regulated protein gamma antibody, Growth-regulated protein gamma antibody, Macrophage inflammatory protein 2 beta precursor antibody, Macrophage inflammatory protein 2-beta antibody, Melanoma growth stimulatory activity gamma antibody, Member 3 antibody, MGSA gamma antibody, MIP 2b antibody, MIP2-beta antibody, MIP2B antibody, SCYB3 antibody, Small inducible cytokine subfamily B antibody

    UniProt

    P19876

    途径

    Cellular Response to Molecule of Bacterial Origin, Autophagy
You are here: