电话:
+86 (0512) 65829739
传真:
+86 (010) 6788 5057
电子邮件:
orders@antibodies-online.cn

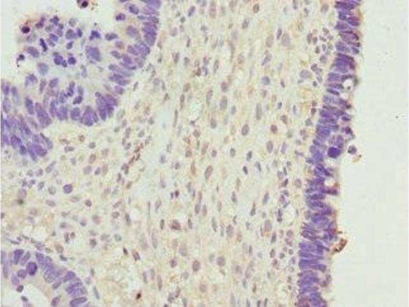
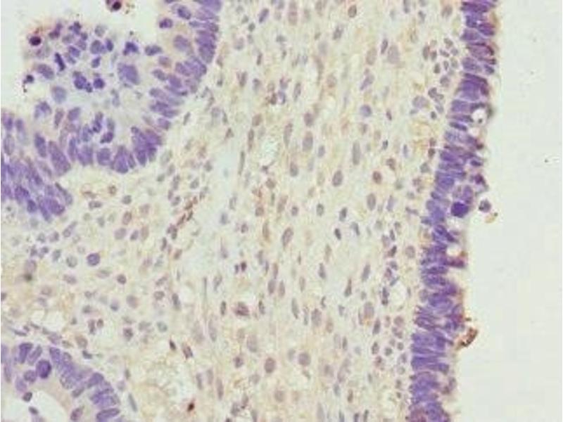
BPGM 抗体 (AA 1-259)

This 兔 多克隆 antibody specifically detects BPGM in WB, ELISA 和 IHC. It exhibits reactivity toward 人.
产品编号 ABIN7145624
发货至: 中国
Contact our Customer Service for availability and price in your country. Contact Info

Our Local Distributor

中国
北京 101111
No. 88 KeChuang 6th Street
Beijing Economic Technological Development Area
Room 801-803
4A Biotech Co.,Ltd.
Tel +86 (0512) 65829739 传真 +86 (010) 6788 5057

Quick Overview for BPGM 抗体 (AA 1-259) (ABIN7145624)

抗原

See all BPGM 抗体
BPGM (2,3-bisphosphoglycerate Mutase (BPGM))

适用

  • 53
  • 26
  • 21
  • 3
  • 3
  • 3
  • 3
  • 2
  • 1
  • 1
  • 1
  • 1

宿主

  • 54
  • 1

克隆类型

  • 54
  • 1
多克隆

标记

  • 28
  • 3
  • 3
  • 2
  • 1
  • 1
  • 1
  • 1
  • 1
  • 1
  • 1
  • 1
  • 1
  • 1
  • 1
  • 1
  • 1
  • 1
  • 1
  • 1
  • 1
  • 1
  • 1
This BPGM antibody is un-conjugated

应用范围

  • 48
  • 16
  • 14
  • 13
  • 10
  • 8
  • 5
  • 4
  • 4
  • 1
  • 1
  • 1
Western Blotting (WB), ELISA, Immunohistochemistry (IHC)
  • 抗原表位

    • 9
    • 8
    • 4
    • 3
    • 2
    • 2
    • 1
    • 1
    • 1
    • 1
    AA 1-259

    原理

    BPGM Antibody

    纯化方法

    Antigen Affinity Purified

    免疫原

    Recombinant Human Bisphosphoglycerate mutase protein (1-259AA)

    亚型

    IgG
  • 应用备注

    Optimal working dilution should be determined by the investigator.

    限制

    仅限研究用
  • 状态

    Liquid

    缓冲液

    PBS with 0.02 % sodium azide, 50 % glycerol, pH 7.3.

    储存液

    Sodium azide

    注意事项

    This product contains Sodium azide: a POISONOUS AND HAZARDOUS SUBSTANCE which should be handled by trained staff only.

    储存条件

    -20 °C,-80 °C

    储存方法

    Upon receipt, store at -20°C or -80°C. Avoid repeated freeze.
  • 抗原

    BPGM (2,3-bisphosphoglycerate Mutase (BPGM))

    别名

    BPGM

    背景

    Background: Plays a major role in regulating hemoglobin oxygen affinity by controlling the levels of its allosteric effector 2,3-bisphosphoglycerate (2,3-BPG). Also exhibits mutase (EC 5.4.2.1) and phosphatase (EC 3.1.3.13) activities.

    Aliases: 2 antibody, 2,3-bisphosphoglycerate mutase antibody, 2,3-bisphosphoglycerate mutase, erythrocyte antibody, 2,3-bisphosphoglycerate synthase antibody, 2,3-diphosphoglycerate mutase antibody, 3-bisphosphoglycerate mutase antibody, 3-bisphosphoglycerate synthase antibody, 3-diphosphoglycerate mutase antibody, Ab2 098 antibody, AI323730 antibody, AL022789 antibody, Bisphosphoglycerate mutase antibody, BPG dependent PGAM antibody, BPG-dependent PGAM antibody, Bpgm antibody, C86192 antibody, DPGM antibody, Erythrocyte 2,3 bisphosphoglycerate mutase antibody, erythrocyte antibody, PMGE_HUMAN antibody

    UniProt

    P07738
You are here: