电话:
+86 (0512) 65829739
传真:
+86 (010) 6788 5057
电子邮件:
orders@antibodies-online.cn

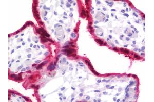
BPGM 抗体 (AA 1-246)

The 兔 多克隆 anti-BPGM antibody (ABIN1978854) specifically detects BPGM in WB, IHC, ICC 和 IHC (p). The antibody is reactive with 人 和 小鼠 samples.
产品编号 ABIN1978854
发货至: 中国
Contact our Customer Service for availability and price in your country. Contact Info

Our Local Distributor

中国
北京 101111
No. 88 KeChuang 6th Street
Beijing Economic Technological Development Area
Room 801-803
4A Biotech Co.,Ltd.
Tel +86 (0512) 65829739 传真 +86 (010) 6788 5057

Quick Overview for BPGM 抗体 (AA 1-246) (ABIN1978854)

抗原

See all BPGM 抗体
BPGM (2,3-bisphosphoglycerate Mutase (BPGM))

适用

  • 53
  • 25
  • 21
  • 3
  • 3
  • 3
  • 3
  • 2
  • 1
  • 1
  • 1
  • 1
人, 小鼠

宿主

  • 54
  • 1

克隆类型

  • 54
  • 1
多克隆

标记

  • 28
  • 3
  • 3
  • 2
  • 1
  • 1
  • 1
  • 1
  • 1
  • 1
  • 1
  • 1
  • 1
  • 1
  • 1
  • 1
  • 1
  • 1
  • 1
  • 1
  • 1
  • 1
  • 1
This BPGM antibody is un-conjugated

应用范围

  • 48
  • 17
  • 14
  • 13
  • 10
  • 7
  • 5
  • 4
  • 3
  • 1
  • 1
  • 1
Western Blotting (WB), Immunohistochemistry (IHC), Immunocytochemistry (ICC), Immunohistochemistry (Paraffin-embedded Sections) (IHC (p))
  • 抗原表位

    • 9
    • 8
    • 4
    • 4
    • 2
    • 1
    • 1
    • 1
    • 1
    • 1
    AA 1-246

    特异性

    Human BPGM

    纯化方法

    Immunoaffinity purified

    免疫原

    Recombinant fragment corresponding to a region within amino acids 1 and 246 of BPGM (SwissProt P07738). Percent identity by BLAST analysis: Human (100%), Rabbit (97%), Bovine (94%), Rat (92%), Chicken (81%).

    Type of Immunogen: Recombinant protein

    亚型

    IgG
  • 应用备注

    Approved: ICC (1:100 - 1:1000), IHC, IHC-P (7.5 μg/mL), WB (1:500 - 1:3000)

    说明

    Target Species of Antibody: Human

    限制

    仅限研究用
  • 状态

    Liquid

    浓度

    Lot specific

    缓冲液

    0.1 M Tris-glycine,  pH 7.0, 10 % glycerol, 0.01 % Thimerosal

    储存液

    Thimerosal (Merthiolate)

    注意事项

    This product contains Thimerosal (Merthiolate): a POISONOUS AND HAZARDOUS SUBSTANCE which should be handled by trained staff only.

    注意事项

    Avoid multiple freeze-thaw cycles.

    储存条件

    -20 °C

    储存方法

    Keep as concentrated solution. Aliquot and store at -20°C or below. Avoid multiple freeze-thaw cycles.
  • 抗原

    BPGM (2,3-bisphosphoglycerate Mutase (BPGM))

    别名

    BPGM

    背景

    Name/Gene ID: BPGM

    Synonyms: BPGM, 2,3-diphosphoglycerate mutase, 2,3-bisphosphoglycerate mutase, Bisphosphoglycerate mutase, BPG-dependent PGAM, DPGM

    基因ID

    669
You are here: