电话:
+86 (0512) 65829739
传真:
+86 (010) 6788 5057
电子邮件:
orders@antibodies-online.cn

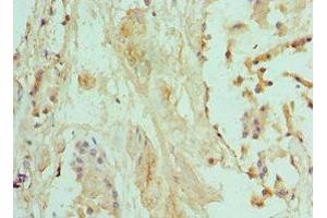
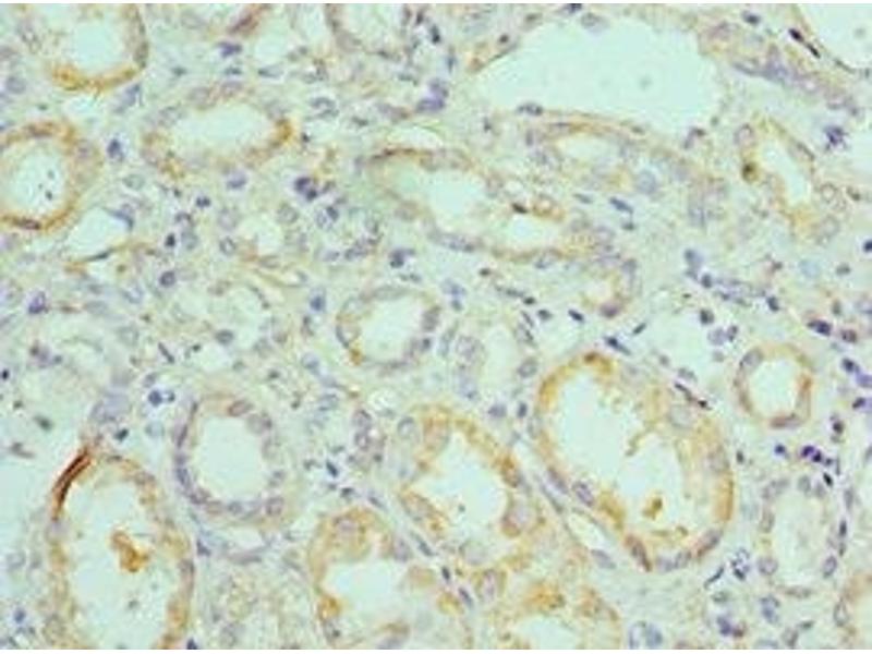
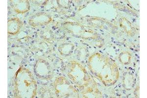
BNIP3 抗体 (AA 1-164)

The 兔 多克隆 anti-BNIP3 antibody is suitable to detect BNIP3 in samples from 人. It has been validated for IHC, ELISA 和 IF.
产品编号 ABIN7145331
发货至: 中国
Contact our Customer Service for availability and price in your country. Contact Info

Our Local Distributor

中国
北京 101111
No. 88 KeChuang 6th Street
Beijing Economic Technological Development Area
Room 801-803
4A Biotech Co.,Ltd.
Tel +86 (0512) 65829739 传真 +86 (010) 6788 5057

Quick Overview for BNIP3 抗体 (AA 1-164) (ABIN7145331)

抗原

See all BNIP3 抗体
BNIP3 (BCL2/adenovirus E1B 19kDa Interacting Protein 3 (BNIP3))

适用

  • 109
  • 60
  • 44

宿主

  • 96
  • 9
  • 7

克隆类型

  • 74
  • 38
多克隆

标记

  • 38
  • 7
  • 5
  • 5
  • 5
  • 5
  • 5
  • 5
  • 3
  • 2
  • 2
  • 2
  • 2
  • 2
  • 2
  • 2
  • 2
  • 2
  • 2
  • 2
  • 2
  • 2
  • 2
  • 2
  • 2
  • 1
  • 1
This BNIP3 antibody is un-conjugated

应用范围

  • 68
  • 29
  • 26
  • 25
  • 22
  • 18
  • 13
  • 9
  • 8
  • 5
  • 4
  • 3
  • 1
  • 1
Immunohistochemistry (IHC), ELISA, Immunofluorescence (IF)
  • 抗原表位

    • 15
    • 15
    • 7
    • 5
    • 3
    • 3
    • 3
    • 2
    • 2
    • 1
    • 1
    • 1
    • 1
    • 1
    • 1
    • 1
    • 1
    • 1
    AA 1-164

    原理

    BNIP3 Antibody

    纯化方法

    Antigen Affinity Purified

    免疫原

    Recombinant Human BCL2/adenovirus E1B 19 kDa protein-interacting protein 3 protein (1-164AA)

    亚型

    IgG
  • 应用备注

    Optimal working dilution should be determined by the investigator.

    限制

    仅限研究用
  • 状态

    Liquid

    缓冲液

    PBS with 0.02 % sodium azide, 50 % glycerol, pH 7.3.

    储存液

    Sodium azide

    注意事项

    This product contains Sodium azide: a POISONOUS AND HAZARDOUS SUBSTANCE which should be handled by trained staff only.

    储存条件

    -20 °C,-80 °C

    储存方法

    Upon receipt, store at -20°C or -80°C. Avoid repeated freeze.
  • 抗原

    BNIP3 (BCL2/adenovirus E1B 19kDa Interacting Protein 3 (BNIP3))

    别名

    BNIP3

    背景

    Background: Apoptosis-inducing protein that can overcome BCL2 suppression. May play a role in repartitioning calcium between the two major intracellular calcium stores in association with BCL2. Involved in mitochondrial quality control via its interaction with SPATA18/MIEAP: in response to mitochondrial damage, participates to mitochondrial protein catabolic process (also named MALM) leading to the degradation of damaged proteins inside mitochondria. The physical interaction of SPATA18/MIEAP, BNIP3 and BNIP3L/NIX at the mitochondrial outer membrane regulates the opening of a pore in the mitochondrial double membrane in order to mediate the translocation of lysosomal proteins from the cytoplasm to the mitochondrial matrix. Plays an important role in the calprotectin (S100A8/A9)-induced cell death pathway.

    Aliases: BCL2 Adenovirus E1B 19 kDa Interacting Protein 3 antibody, BCL2/adenovirus E1B 19 kDa protein interacting protein 3 antibody, BCL2/adenovirus E1B 19 kDa protein-interacting protein 3 antibody, BNIP 3 antibody, BNIP3 antibody, BNIP3_HUMAN antibody, NIP 3 antibody, NIP3 antibody

    UniProt

    Q12983

    途径

    Autophagy, Brown Fat Cell Differentiation
You are here: