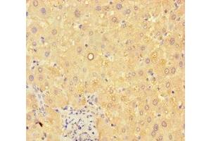
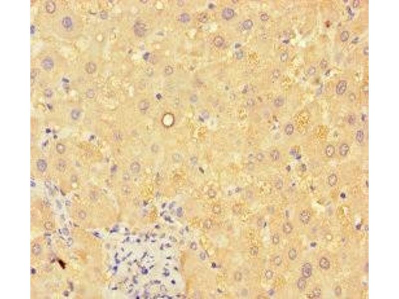
C19ORF80 抗体 (AA 22-198)
Our Local Distributor
北京 101111
Quick Overview for C19ORF80 抗体 (AA 22-198) (ABIN7144096)
抗原
See all C19ORF80 抗体适用
宿主
克隆类型
标记
应用范围
-
-
抗原表位
- AA 22-198
-
原理
- ANGPTL8 Antibody
-
纯化方法
- Protein G purified
-
纯度
- >95 %
-
免疫原
- Recombinant Human Angiopoietin-like protein 8 protein (22-198AA)
-
亚型
- IgG
-
-
-
-
应用备注
- Optimal working dilution should be determined by the investigator.
-
限制
- 仅限研究用
-
-
-
状态
- Liquid
-
缓冲液
-
Preservative: 0.03 % Proclin 300
Constituents: 50 % Glycerol, 0.01M PBS, PH 7.4 -
储存液
- ProClin
-
注意事项
- This product contains ProClin: a POISONOUS AND HAZARDOUS SUBSTANCE which should be handled by trained staff only.
-
储存条件
- -20 °C,-80 °C
-
储存方法
- Upon receipt, store at -20°C or -80°C. Avoid repeated freeze.
-
-
- C19ORF80 (Chromosome 19 Open Reading Frame 80 (C19ORF80))
-
别名
- ANGPTL8
-
背景
-
Background: Hormone that specifically promotes pancreatic beta cell proliferation and beta cell mass expansion, thereby improving glucose tolerance. Promotes pancreatic beta cell proliferation without insulin resistance. Also acts as a blood lipid regulator by regulating serum triglyceride levels, possibly by promoting ANGPTL3 cleavage.
Aliases: ANGPTL8 antibody, C19orf80 antibody, RIFL antibody, UNQ599/PRO1185Angiopoietin-like protein 8 antibody, Betatrophin antibody, Lipasin antibody, Refeeding-induced fat and liver protein antibody
-
UniProt
- Q6UXH0
抗原
-