电话:
+86 (0512) 65829739
传真:
+86 (010) 6788 5057
电子邮件:
orders@antibodies-online.cn

AKAP13 抗体 (AA 1-150)

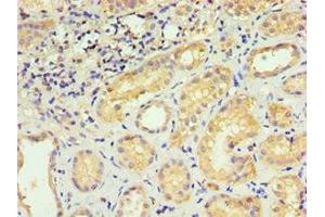
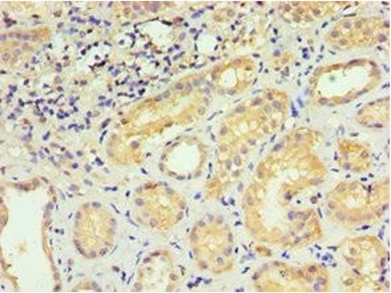
The 兔 多克隆 anti-AKAP13 antibody is suitable to detect AKAP13 in samples from 人. It has been validated for IHC 和 ELISA.
产品编号 ABIN7142904
发货至: 中国
Contact our Customer Service for availability and price in your country. Contact Info

Our Local Distributor

中国
北京 101111
No. 88 KeChuang 6th Street
Beijing Economic Technological Development Area
Room 801-803
4A Biotech Co.,Ltd.
Tel +86 (0512) 65829739 传真 +86 (010) 6788 5057

Quick Overview for AKAP13 抗体 (AA 1-150) (ABIN7142904)

抗原

See all AKAP13 抗体
AKAP13 (A Kinase (PRKA) Anchor Protein 13 (AKAP13))

适用

  • 20
  • 2
  • 1
  • 1

宿主

  • 13
  • 8

克隆类型

  • 15
  • 6
多克隆

标记

  • 21
This AKAP13 antibody is un-conjugated

应用范围

  • 18
  • 8
  • 7
  • 5
  • 4
  • 3
  • 2
Immunohistochemistry (IHC), ELISA
  • 抗原表位

    • 4
    • 2
    • 2
    • 2
    • 2
    • 1
    • 1
    • 1
    • 1
    • 1
    • 1
    • 1
    • 1
    AA 1-150

    原理

    AKAP13 Antibody

    纯化方法

    Antigen Affinity Purified

    免疫原

    Recombinant Human A-kinase anchor protein 13 protein (1-150AA)

    亚型

    IgG
  • 应用备注

    Optimal working dilution should be determined by the investigator.

    限制

    仅限研究用
  • 状态

    Liquid

    缓冲液

    PBS with 0.02 % sodium azide, 50 % glycerol, pH 7.3.

    储存液

    Sodium azide

    注意事项

    This product contains Sodium azide: a POISONOUS AND HAZARDOUS SUBSTANCE which should be handled by trained staff only.

    储存条件

    -20 °C,-80 °C

    储存方法

    Upon receipt, store at -20°C or -80°C. Avoid repeated freeze.
  • 抗原

    AKAP13 (A Kinase (PRKA) Anchor Protein 13 (AKAP13))

    别名

    AKAP13

    背景

    Background: Anchors cAMP-dependent protein kinase (PKA) and acts as an adapter protein to selectively couple G alpha-13 and Rho. Augments gene activation by the estrogen receptor in an element-specific and ligand-dependent manner. Activates estrogen receptor beta by a p38 MAPK-dependent pathway. Stimulates exchange activity on Rho proteins in vitro, but not on CDC42, Ras or Rac and may bind calcium ions.

    Aliases: A kinase (PRKA) anchor protein 13 antibody, A kinase anchor protein 13 antibody, A kinase anchoring protein antibody, A-kinase anchor protein 13 antibody, AKAP 13 antibody, AKAP Lbc antibody, AKAP-13 antibody, AKAP-Lbc antibody, AKAP13 antibody, AKP13_HUMAN antibody, ARHGEF13 antibody, Breast cancer nuclear receptor binding auxiliary protein antibody, Breast cancer nuclear receptor-binding auxiliary protein antibody, BRX antibody, c lbc antibody, FLJ11952 antibody, FLJ43341 antibody, Guanine nucleotide exchange factor Lbc antibody, HA 3 antibody, HA3 antibody, Ht 31 antibody, Ht31 antibody, Human thyroid anchoring protein 31 antibody, Human thyroid-anchoring protein 31 antibody, LBC antibody, LBC oncogene antibody, Lymphoid blast crisis oncogene antibody, Non oncogenic Rho GTPase specific GTP exchange factor antibody, Non-oncogenic Rho GTPase-specific GTP exchange factor antibody, p47 antibody, Protein kinase A anchoring protein 13 antibody, Protein kinase A-anchoring protein 13 antibody, PROTO LB antibody, PROTO LBC antibody

    UniProt

    Q12802

    途径

    Neurotrophin Signaling Pathway
You are here: