电话:
+86 (0512) 65829739
传真:
+86 (010) 6788 5057
电子邮件:
orders@antibodies-online.cn

Recombinant Cyclin E1 抗体

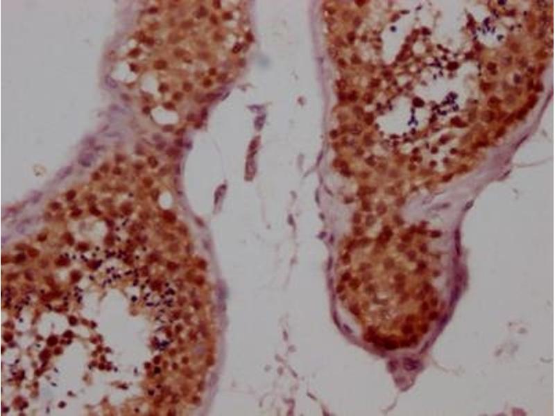
The 兔 单克隆 anti-Cyclin E1 antibody is suitable to detect Cyclin E1 in samples from 人. It has been validated for IHC, ELISA 和 IF.
产品编号 ABIN7127442
发货至: 中国
Contact our Customer Service for availability and price in your country. Contact Info

Our Local Distributor

中国
北京 101111
No. 88 KeChuang 6th Street
Beijing Economic Technological Development Area
Room 801-803
4A Biotech Co.,Ltd.
Tel +86 (0512) 65829739 传真 +86 (010) 6788 5057

Quick Overview for Recombinant Cyclin E1 抗体 (ABIN7127442)

抗原

See all Cyclin E1 (CCNE1) 抗体
Cyclin E1 (CCNE1)

抗体类型

Recombinant Antibody

适用

  • 184
  • 33
  • 28
  • 4
  • 2
  • 2
  • 2
  • 1

宿主

  • 151
  • 33
  • 1

克隆类型

  • 110
  • 75
单克隆

标记

  • 90
  • 11
  • 6
  • 6
  • 6
  • 6
  • 6
  • 6
  • 5
  • 4
  • 3
  • 3
  • 3
  • 2
  • 2
  • 2
  • 2
  • 2
  • 2
  • 2
  • 2
  • 2
  • 2
  • 2
  • 1
  • 1
  • 1
  • 1
  • 1
  • 1
  • 1
  • 1
This Cyclin E1 antibody is un-conjugated

应用范围

  • 139
  • 68
  • 60
  • 56
  • 40
  • 35
  • 28
  • 21
  • 21
  • 13
  • 11
  • 3
  • 3
  • 2
  • 2
  • 1
  • 1
  • 1
  • 1
Immunohistochemistry (IHC), ELISA, Immunofluorescence (IF)

克隆位点

3A5
  • 原理

    CCNE1 Recombinant Monoclonal Antibody

    纯化方法

    Affinity-chromatography

    免疫原

    A synthesized peptide derived from human Cyclin E1

    亚型

    IgG
  • 应用备注

    IHC:1:50-1:200, IF:1:20-1:200

    限制

    仅限研究用
  • 状态

    Liquid

    缓冲液

    phosphate buffered saline, pH 7.4, 150 mM NaCl, 0.02 % sodium azide and 50 % glycerol.

    储存液

    Sodium azide

    注意事项

    This product contains Sodium azide: a POISONOUS AND HAZARDOUS SUBSTANCE which should be handled by trained staff only.

    储存条件

    -20 °C,-80 °C

    储存方法

    Upon receipt, store at -20°C or -80°C. Avoid repeated freeze.
  • 抗原

    Cyclin E1 (CCNE1)

    别名

    CCNE1

    背景

    Background: Essential for the control of the cell cycle at the G1/S (start) transition.

    Aliases: G1/S-specific cyclin-E1, CCNE1, CCNE

    UniProt

    P24864

    途径

    Cell Division Cycle, Intracellular Steroid Hormone Receptor Signaling Pathway, Nuclear Hormone Receptor Binding, Mitotic G1-G1/S Phases
You are here: