电话:
+86 (0512) 65829739
传真:
+86 (010) 6788 5057
电子邮件:
orders@antibodies-online.cn

Cyclin E1 抗体 (AA 10-176)

The 小鼠 单克隆 anti-Cyclin E1 antibody (Clone CCNE1-2460) (ABIN6940994) specifically detects Cyclin E1 in WB, IHC 和 StM. The antibody is reactive with 人 samples.
产品编号 ABIN6940994
发货至: 中国
Contact our Customer Service for availability and price in your country. Contact Info

Our Local Distributor

中国
北京 101111
No. 88 KeChuang 6th Street
Beijing Economic Technological Development Area
Room 801-803
4A Biotech Co.,Ltd.
Tel +86 (0512) 65829739 传真 +86 (010) 6788 5057

Quick Overview for Cyclin E1 抗体 (AA 10-176) (ABIN6940994)

抗原

See all Cyclin E1 (CCNE1) 抗体
Cyclin E1 (CCNE1)

适用

  • 184
  • 33
  • 28
  • 4
  • 2
  • 2
  • 2
  • 1

宿主

  • 152
  • 32
  • 1
小鼠

克隆类型

  • 110
  • 75
单克隆

标记

  • 90
  • 11
  • 6
  • 6
  • 6
  • 6
  • 6
  • 6
  • 5
  • 4
  • 3
  • 3
  • 3
  • 2
  • 2
  • 2
  • 2
  • 2
  • 2
  • 2
  • 2
  • 2
  • 2
  • 2
  • 1
  • 1
  • 1
  • 1
  • 1
  • 1
  • 1
  • 1
This Cyclin E1 antibody is un-conjugated

应用范围

  • 138
  • 68
  • 61
  • 56
  • 41
  • 35
  • 28
  • 21
  • 21
  • 13
  • 11
  • 3
  • 3
  • 2
  • 2
  • 1
  • 1
  • 1
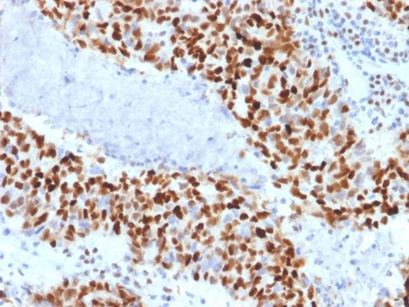
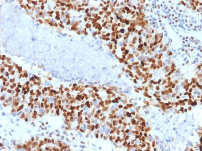
Western Blotting (WB), Immunohistochemistry (IHC), Staining Methods (StM)

克隆位点

CCNE1-2460
  • 抗原表位

    • 32
    • 18
    • 16
    • 15
    • 11
    • 8
    • 7
    • 6
    • 5
    • 3
    • 3
    • 2
    • 2
    • 2
    • 2
    • 2
    • 2
    • 1
    • 1
    • 1
    • 1
    • 1
    • 1
    • 1
    • 1
    • 1
    • 1
    • 1
    AA 10-176

    纯化方法

    Purified by Protein A/G

    免疫原

    Recombinant human Cyclin E (CCNE1) protein fragment (around aa 10-176) (exact sequence is proprietary)

    亚型

    IgG2b kappa
  • 应用备注

    Positive Control: Jurkat, MCF, A431, HeLa cells. Breast or Colon Carcinoma.

    Known Application: Western Blot (1-2 μg/mL),Immunohistochemistry (Formalin-fixed) (1-2 μg/mL for 30 min at RT)(Staining of formalin-fixed tissues requires boiling tissue sections in 10 mM Citrate Buffer, pH 6.0, for 10-20 min followed by cooling at RT for 20 minutes)Optimal dilution for a specific application should be determined.

    限制

    仅限研究用
  • 浓度

    200 μg/mL

    缓冲液

    10 mM PBS with 0.05 % BSA & 0.05 % azide.

    储存液

    Sodium azide

    注意事项

    This product contains Sodium azide: a POISONOUS AND HAZARDOUS SUBSTANCE which should be handled by trained staff only.

    储存条件

    4 °C,-80 °C

    储存方法

    Antibody with azide - store at 2 to 8°C. Antibody without azide - store at -20 to -80°C. Antibody is stable for 24 months. Non-hazardous. No MSDS required.

    有效期

    24 months
  • 抗原

    Cyclin E1 (CCNE1)

    别名

    CCNE1

    背景

    Cyclin E belongs to the highly conserved cyclin family, whose members exhibit distinct expression and degradation patterns which contribute to the temporal coordination of each mitotic event. Cyclins function as regulators of CDK kinases. Cyclin E forms a complex with and functions as a regulatory subunit of CDK2, whose activity is required for cell cycle G1/S transition. Cyclin E accumulates at the G1-S phase boundary and is degraded as cells progress through S phase. Cyclin E overexpression has been observed in many tumors, which results in chromosome instability, and thus may contribute to tumorigenesis.

    分子量

    53kDa

    基因ID

    898

    UniProt

    P24864

    途径

    Cell Division Cycle, Intracellular Steroid Hormone Receptor Signaling Pathway, Nuclear Hormone Receptor Binding, Mitotic G1-G1/S Phases
You are here: