Recombinant MME 抗体
Our Local Distributor
北京 101111
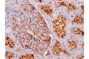
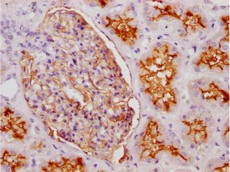
Quick Overview for Recombinant MME 抗体 (ABIN7127392)
抗原
See all MME 抗体抗体类型
适用
宿主
克隆类型
标记
应用范围
克隆位点
-
-
原理
- MME Recombinant Monoclonal Antibody
-
纯化方法
- Affinity-chromatography
-
免疫原
- A synthesized peptide derived from human CD10
-
亚型
- IgG
-
-
-
-
应用备注
- IHC:1:50-1:200
-
限制
- 仅限研究用
-
-
-
状态
- Liquid
-
缓冲液
- phosphate buffered saline, pH 7.4, 150 mM NaCl, 0.02 % sodium azide and 50 % glycerol.
-
储存液
- Sodium azide
-
注意事项
- This product contains Sodium azide: a POISONOUS AND HAZARDOUS SUBSTANCE which should be handled by trained staff only.
-
储存条件
- -20 °C,-80 °C
-
储存方法
- Upon receipt, store at -20°C or -80°C. Avoid repeated freeze.
-
-
- MME (Membrane Metallo-Endopeptidase (MME))
-
别名
- MME
-
背景
-
Background: Thermolysin-like specificity, but is almost confined on acting on polypeptides of up to 30 amino acids (PubMed:15283675, PubMed:8168535). Biologically important in the destruction of opioid peptides such as Met- and Leu-enkephalins by cleavage of a Gly-Phe bond (PubMed:17101991). Able to cleave angiotensin-1, angiotensin-2 and angiotensin 1-9 (PubMed:15283675). Involved in the degradation of atrial natriuretic factor (ANF) (PubMed:2531377, PubMed:2972276). Displays UV-inducible elastase activity toward skin preelastic and elastic fibers (PubMed:20876573).
Aliases: Neprilysin (EC 3.4.24.11) (Atriopeptidase) (Common acute lymphocytic leukemia antigen) (CALLA) (Enkephalinase) (Neutral endopeptidase 24.11) (NEP) (Neutral endopeptidase) (Skin fibroblast elastase) (SFE) (CD antigen CD10), MME, EPN
-
UniProt
- P08473
-
途径
- RTK signaling, Peptide Hormone Metabolism, Regulation of Systemic Arterial Blood Pressure by Hormones, Smooth Muscle Cell Migration
抗原
-