电话:
+86 (0512) 65829739
传真:
+86 (010) 6788 5057
电子邮件:
orders@antibodies-online.cn

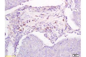
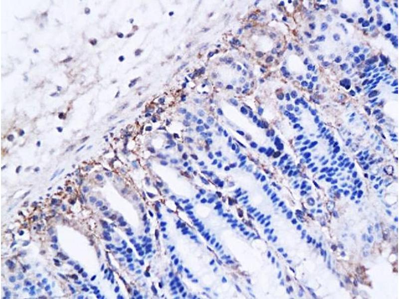
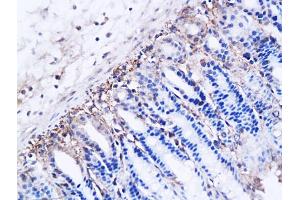
RHOBTB2 抗体 (AA 631-727)

The 兔 多克隆 anti-RHOBTB2 antibody is suitable to detect RHOBTB2 in samples from 人. It has been validated for ELISA, WB, IHC (p), IF (cc), IF (p) 和 IHC (fro).
产品编号 ABIN706241
发货至: 中国
Contact our Customer Service for availability and price in your country. Contact Info

Our Local Distributor

中国
北京 101111
No. 88 KeChuang 6th Street
Beijing Economic Technological Development Area
Room 801-803
4A Biotech Co.,Ltd.
Tel +86 (0512) 65829739 传真 +86 (010) 6788 5057

Quick Overview for RHOBTB2 抗体 (AA 631-727) (ABIN706241)

抗原

See all RHOBTB2 抗体
RHOBTB2 (rho-Related BTB Domain Containing 2 (RHOBTB2))

适用

  • 25
  • 13
  • 1

宿主

  • 20
  • 5

克隆类型

  • 22
  • 3
多克隆

标记

  • 11
  • 2
  • 2
  • 2
  • 2
  • 2
  • 2
  • 2
This RHOBTB2 antibody is un-conjugated

应用范围

  • 7
  • 6
  • 3
  • 2
  • 1
  • 1
  • 1
ELISA, Western Blotting (WB), Immunohistochemistry (Paraffin-embedded Sections) (IHC (p)), Immunofluorescence (Cultured Cells) (IF (cc)), Immunofluorescence (Paraffin-embedded Sections) (IF (p)), Immunohistochemistry (Frozen Sections) (IHC (fro))
  • 抗原表位

    • 2
    • 2
    • 2
    • 1
    • 1
    • 1
    AA 631-727

    交叉反应

    预测反应

    Mouse,Rat,Cow,Pig,Horse

    纯化方法

    Purified by Protein A.

    免疫原

    KLH conjugated synthetic peptide derived from human DBC2

    亚型

    IgG
  • 应用备注

    WB 1:300-5000
    ELISA 1:500-1000
    IHC-P 1:200-400
    IHC-F 1:100-500
    IF(IHC-P) 1:50-200
    IF(IHC-F) 1:50-200
    IF(ICC) 1:50-200

    限制

    仅限研究用
  • 状态

    Liquid

    浓度

    1 μg/μL

    缓冲液

    0.01M TBS( pH 7.4) with 1 % BSA, 0.02 % Proclin300 and 50 % Glycerol.

    储存液

    ProClin

    注意事项

    This product contains ProClin: a POISONOUS AND HAZARDOUS SUBSTANCE, which should be handled by trained staff only.

    储存条件

    4 °C,-20 °C

    储存方法

    Shipped at 4°C. Store at -20°C for one year. Avoid repeated freeze/thaw cycles.

    有效期

    12 months
  • 抗原

    RHOBTB2 (rho-Related BTB Domain Containing 2 (RHOBTB2))

    别名

    DBC2

    背景

    Synonyms: DBC2, Rho-related BTB domain-containing protein 2, Deleted in breast cancer 2 gene protein, p83, RHOBTB2, KIAA0717

    Background: DBC2 is a member of the recently identified RhoBTB family, which is part of the Rho GTPase family. DBC2 has been implicated as a tumor suppressor in breast and lung cancer. Studies have shown that DBC2 binds to the ubiquitin ligase scaffold Cul3, and that Cul3 regulates DBC2 protein levels by ubiquitinating DBC2 directly, leading to its degradation by the proteasome.

    基因ID

    23221

    UniProt

    Q9BYZ6
You are here: