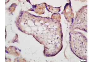
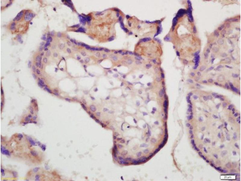
CDKN2B 抗体
Our Local Distributor
北京 101111
Quick Overview for CDKN2B 抗体 (ABIN706166)
抗原
See all CDKN2B 抗体适用
宿主
克隆类型
标记
应用范围
-
-
交叉反应
- 大鼠, 小鸡, 犬, 牛
-
纯化方法
- purified by Protein A and peptide affinity chromatography
-
免疫原
- KLH conjugated synthetic peptide derived from human CDKN2B
-
亚型
- IgG
-
-
-
-
应用备注
-
WB(1:100-500)
Optimal working dilution should be determined by the investigator. -
限制
- 仅限研究用
-
-
-
状态
- Liquid
-
浓度
- 1 µg/µL
-
缓冲液
- Aqueous buffered solution containing 100 µg/mL BSA, 50 % glycerol and 0.09 % sodium azide.
-
储存液
- Sodium azide
-
注意事项
- This product contains sodium azide: a POISONOUS AND HAZARDOUS SUBSTANCE which should be handled by trained staff only.
-
储存条件
- -20 °C
-
储存方法
- Store at -20 °C for 12 months
-
有效期
- 12 months
-
-
- CDKN2B (Cyclin-Dependent Kinase Inhibitor 2B (p15, Inhibits CDK4) (CDKN2B))
-
别名
- CDKN2B
-
背景
- P15 INK4b / MTS 2 (Mitotic Inhibitor / Suppressor Protein) is a specific inhibitor of cdk 4 / cdk 6 and is periodically expressed during the cell cycle. Reportedly, p15 INK4b expression is induced approximately 30 fold in human keratinocytes by treatment with TGF beta, suggesting that p15 INK4b may act as an effector of TGF beta mediated cell cycle arrest. p15 INK4b is mapped to chromosome 9p21, a region of frequent loss in a wide variety of cancers.
-
分子量
- 15kDa
-
基因ID
- 1030
-
途径
- Cell Division Cycle, Mitotic G1-G1/S Phases
抗原
-