电话:
+86 (0512) 65829739
传真:
+86 (010) 6788 5057
电子邮件:
orders@antibodies-online.cn

MAL2 抗体

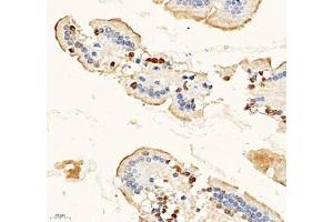
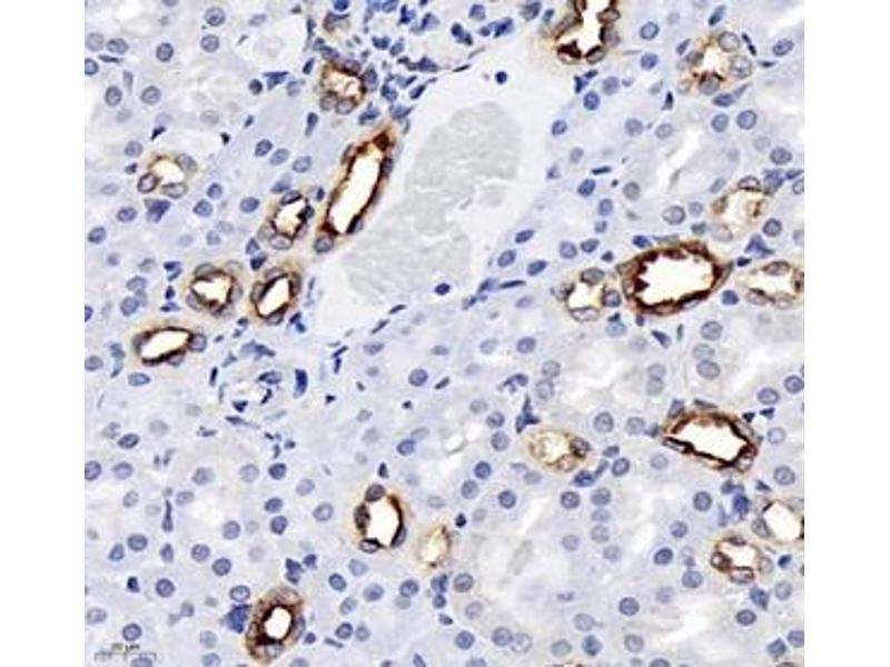
The 兔 多克隆 anti-MAL2 antibody is suitable to detect MAL2 in samples from 人, 小鼠 和 大鼠. It has been validated for WB, IF 和 IHC.
产品编号 ABIN7074549
发货至: 中国
Contact our Customer Service for availability and price in your country. Contact Info

Our Local Distributor

中国
北京 101111
No. 88 KeChuang 6th Street
Beijing Economic Technological Development Area
Room 801-803
4A Biotech Co.,Ltd.
Tel +86 (0512) 65829739 传真 +86 (010) 6788 5057

Quick Overview for MAL2 抗体 (ABIN7074549)

抗原

See all MAL2 抗体
MAL2 (Mal, T Cell Differentiation Protein 2 (MAL2))

适用

人, 小鼠, 大鼠

宿主

  • 6

克隆类型

  • 6
多克隆

标记

  • 6
This MAL2 antibody is un-conjugated

应用范围

  • 6
  • 4
  • 3
  • 3
  • 1
  • 1
  • 1
  • 1
  • 1
  • 1
Western Blotting (WB), Immunofluorescence (IF), Immunohistochemistry (IHC)
  • 交叉反应

    人, 大鼠

    纯化方法

    Affinity purification

    免疫原

    KLH conjugated Synthetic peptide corresponding to Mouse MAL2
  • 应用备注

    WB (H,M) 1:500-1:1000, IHC/IF (M,R) 1:300-1:1400/1:600-1:1600

    限制

    仅限研究用
  • 状态

    Liquid

    缓冲液

    PBS, pH 7.4, 0.02 % sodium azide

    储存液

    Sodium azide

    注意事项

    This product contains Sodium azide: a POISONOUS AND HAZARDOUS SUBSTANCE which should be handled by trained staff only.

    储存条件

    -20 °C
  • 抗原

    MAL2 (Mal, T Cell Differentiation Protein 2 (MAL2))

    别名

    MAL2

    背景

    MAL2 (mal, T-cell differentiation protein 2) is a 176 amino acid multi-pass membrane protein that is associated with lipid rafts and contains one MARVEL domain. Expressed predominately in liver, kidney and lung, MAL2 functions as a member of the polarized machinery transport system and is required for transcytosis, a transporter pathway used to deliver membrane-bound cargo from perinuclear endosomes to the apical surface in a raft-dependent manner. Differential expression of MAL2 is associated with several cancers, including renal cell carcinoma and childhood leukemia, suggesting a role for MAL2 in tumorigensis.

    分子量

    30 kDa

    基因ID

    105853

    NCBI登录号

    NP_849251

    UniProt

    Q8BI08
You are here: