电话:
+86 (0512) 65829739
传真:
+86 (010) 6788 5057
电子邮件:
orders@antibodies-online.cn

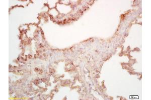
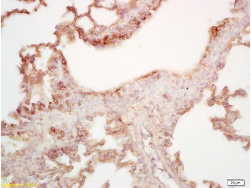
MAL2 抗体 (AA 21-120)

This 兔 多克隆 antibody specifically detects MAL2 in WB, ELISA, ICC, IF (cc), IF (p), IHC (fro) 和 IHC (p). It exhibits reactivity toward 人 和 小鼠.
产品编号 ABIN1387273
发货至: 中国
Contact our Customer Service for availability and price in your country. Contact Info

Our Local Distributor

中国
北京 101111
No. 88 KeChuang 6th Street
Beijing Economic Technological Development Area
Room 801-803
4A Biotech Co.,Ltd.
Tel +86 (0512) 65829739 传真 +86 (010) 6788 5057

Quick Overview for MAL2 抗体 (AA 21-120) (ABIN1387273)

抗原

See all MAL2 抗体
MAL2 (Mal, T Cell Differentiation Protein 2 (MAL2))

适用

  • 4
  • 2
  • 2
人, 小鼠

宿主

  • 6

克隆类型

  • 6
多克隆

标记

  • 6
This MAL2 antibody is un-conjugated

应用范围

Western Blotting (WB), ELISA, Immunocytochemistry (ICC), Immunofluorescence (Cultured Cells) (IF (cc)), Immunofluorescence (Paraffin-embedded Sections) (IF (p)), Immunohistochemistry (Frozen Sections) (IHC (fro)), Immunohistochemistry (Paraffin-embedded Sections) (IHC (p))
  • 抗原表位

    • 3
    • 1
    AA 21-120

    交叉反应

    人, 小鼠

    预测反应

    Rat,Cow,Pig

    纯化方法

    Purified by Protein A.

    免疫原

    KLH conjugated synthetic peptide derived from human MAL2

    亚型

    IgG
  • 应用备注

    WB 1:300-5000
    ELISA 1:500-1000
    IHC-P 1:200-400
    IHC-F 1:100-500
    IF(IHC-P) 1:50-200
    IF(IHC-F) 1:50-200
    IF(ICC) 1:50-200
    ICC 1:100-500

    限制

    仅限研究用
  • 状态

    Liquid

    浓度

    1 μg/μL

    缓冲液

    0.01M TBS( pH 7.4) with 1 % BSA, 0.02 % Proclin300 and 50 % Glycerol.

    储存液

    ProClin

    注意事项

    This product contains ProClin: a POISONOUS AND HAZARDOUS SUBSTANCE, which should be handled by trained staff only.

    储存条件

    4 °C,-20 °C

    储存方法

    Shipped at 4°C. Store at -20°C for one year. Avoid repeated freeze/thaw cycles.

    有效期

    12 months
  • 抗原

    MAL2 (Mal, T Cell Differentiation Protein 2 (MAL2))

    别名

    MAL2

    背景

    Synonyms: Protein MAL2, MAL2

    Background: Member of the machinery of polarized transport. Required for the indirect transcytotic route at the step of the egress of the transcytosing cargo from perinuclear endosomes in order for it to travel to the apical surface via a raft-dependent pathway.

    基因ID

    114569

    UniProt

    Q969L2
You are here: