电话:
+86 (0512) 65829739
传真:
+86 (010) 6788 5057
电子邮件:
orders@antibodies-online.cn

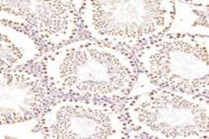
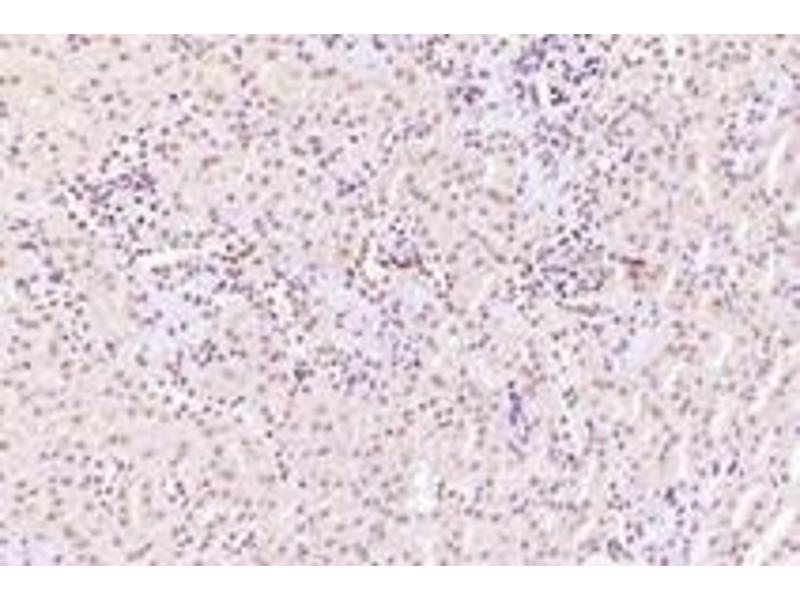
Exportin 7 抗体

The 兔 多克隆 anti-Exportin 7 antibody is suitable to detect Exportin 7 in samples from 小鼠 和 大鼠. It has been validated for IHC 和 IF.
产品编号 ABIN7073901
发货至: 中国
Contact our Customer Service for availability and price in your country. Contact Info

Our Local Distributor

中国
北京 101111
No. 88 KeChuang 6th Street
Beijing Economic Technological Development Area
Room 801-803
4A Biotech Co.,Ltd.
Tel +86 (0512) 65829739 传真 +86 (010) 6788 5057

Quick Overview for Exportin 7 抗体 (ABIN7073901)

抗原

See all Exportin 7 (XPO7) 抗体
Exportin 7 (XPO7)

适用

  • 13
  • 7
  • 4
  • 2
  • 2
  • 2
  • 2
  • 2
  • 2
  • 1
  • 1
  • 1
  • 1
  • 1
  • 1
小鼠, 大鼠

宿主

  • 12
  • 1

克隆类型

  • 13
多克隆

标记

  • 13
This Exportin 7 antibody is un-conjugated

应用范围

  • 13
  • 5
  • 2
  • 1
  • 1
  • 1
Immunohistochemistry (IHC), Immunofluorescence (IF)
  • 交叉反应

    大鼠

    纯化方法

    Affinity purification

    免疫原

    Recombinant protein corresponding to Mouse RanBP16
  • 应用备注

    IHC/IF (M,R) 1:1000-1:2000/1:300-1:600

    限制

    仅限研究用
  • 状态

    Liquid

    缓冲液

    PBS, pH 7.4, 0.02 % sodium azide

    储存液

    Sodium azide

    注意事项

    This product contains Sodium azide: a POISONOUS AND HAZARDOUS SUBSTANCE which should be handled by trained staff only.

    储存条件

    -20 °C
  • 抗原

    Exportin 7 (XPO7)

    别名

    RanBP16

    背景

    The transport of protein and large RNAs through the nuclear pore complexes (NPC) is an energy-dependent and regulated process. The import of proteins with a nuclear localization signal (NLS) is accomplished by recognition of one or more clusters of basic amino acids by the importin-alpha/beta complex. The small GTPase RAN plays a key role in NLS-dependent protein import. RAN-binding protein-16 is a member of the importin-beta superfamily of nuclear transport receptors.

    基因ID

    65246

    NCBI登录号

    NP_075532

    UniProt

    Q9EPK7
You are here: