电话:
+86 (0512) 65829739
传真:
+86 (010) 6788 5057
电子邮件:
orders@antibodies-online.cn

ARG2 抗体

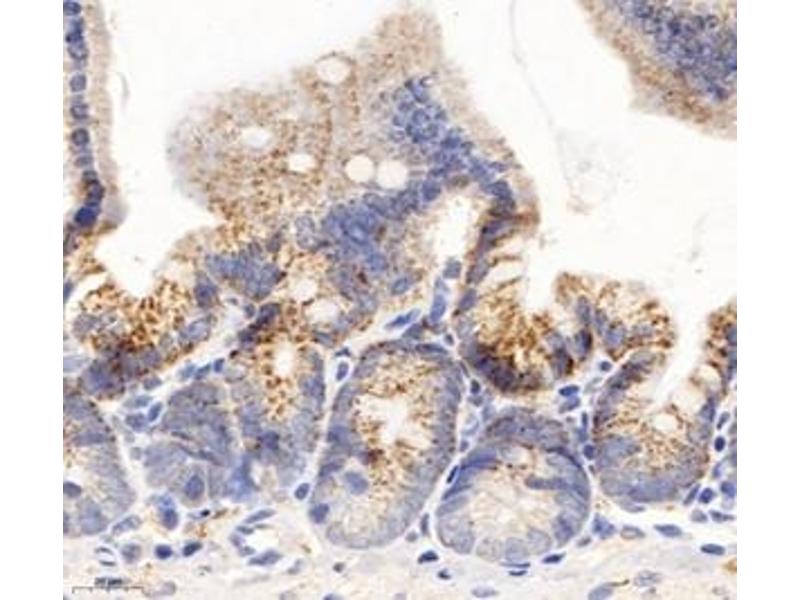
The 兔 多克隆 anti-ARG2 antibody is suitable to detect ARG2 in samples from 小鼠 和 大鼠. It has been validated for WB, IHC 和 IF.
产品编号 ABIN7073115
发货至: 中国
Contact our Customer Service for availability and price in your country. Contact Info

Our Local Distributor

中国
北京 101111
No. 88 KeChuang 6th Street
Beijing Economic Technological Development Area
Room 801-803
4A Biotech Co.,Ltd.
Tel +86 (0512) 65829739 传真 +86 (010) 6788 5057

Quick Overview for ARG2 抗体 (ABIN7073115)

抗原

See all ARG2 抗体
ARG2 (Arginase, Type II (ARG2))

适用

  • 86
  • 48
  • 28
  • 15
  • 6
  • 5
  • 5
  • 4
  • 4
  • 3
  • 2
  • 1
小鼠, 大鼠

宿主

  • 88
  • 19

克隆类型

  • 76
  • 31
多克隆

标记

  • 59
  • 13
  • 8
  • 2
  • 2
  • 2
  • 2
  • 2
  • 2
  • 2
  • 1
  • 1
  • 1
  • 1
  • 1
  • 1
  • 1
  • 1
  • 1
  • 1
  • 1
  • 1
  • 1
This ARG2 antibody is un-conjugated

应用范围

  • 91
  • 45
  • 26
  • 23
  • 16
  • 15
  • 13
  • 11
  • 11
  • 8
  • 5
  • 4
  • 1
Western Blotting (WB), Immunohistochemistry (IHC), Immunofluorescence (IF)
  • 交叉反应

    大鼠

    纯化方法

    Affinity purification

    免疫原

    KLH conjugated Synthetic peptide corresponding to Mouse Arg2
  • 应用备注

    WB (M,R) 1:300-1:600, IHC/IF (M) 1:300-1:600

    限制

    仅限研究用
  • 状态

    Liquid

    缓冲液

    PBS, pH 7.4, 0.02 % sodium azide

    储存液

    Sodium azide

    注意事项

    This product contains Sodium azide: a POISONOUS AND HAZARDOUS SUBSTANCE which should be handled by trained staff only.

    储存条件

    -20 °C
  • 抗原

    ARG2 (Arginase, Type II (ARG2))

    别名

    Arg2

    背景

    ARG2(Arginase-2, mitochondrial) is also named as kidney-type arginase, non-hepatic arginase and belongs to the arginase family. It may play a role in the regulation of extra-urea cycle arginine metabolism and also in down-regulation of nitric oxide synthesis.

    分子量

    39 kDa

    基因ID

    11847

    UniProt

    O08691
You are here: