电话:
+86 (0512) 65829739
传真:
+86 (010) 6788 5057
电子邮件:
orders@antibodies-online.cn

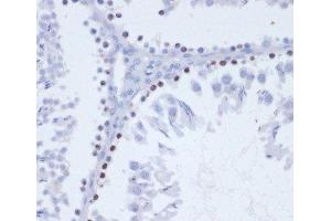
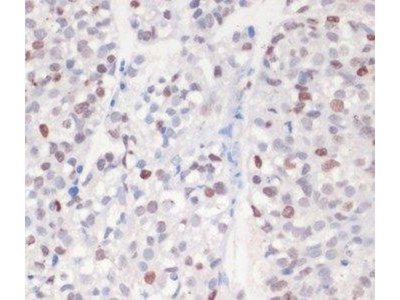
gamma H2AX 抗体 (pSer139)

The 兔 多克隆 anti-gamma H2AX antibody (ABIN7265088) specifically detects gamma H2AX in IHC 和 IF. The antibody is reactive with 人, 小鼠 和 大鼠 samples.
产品编号 ABIN7265088
发货至: 中国
Contact our Customer Service for availability and price in your country. Contact Info

Our Local Distributor

中国
北京 101111
No. 88 KeChuang 6th Street
Beijing Economic Technological Development Area
Room 801-803
4A Biotech Co.,Ltd.
Tel +86 (0512) 65829739 传真 +86 (010) 6788 5057

Quick Overview for gamma H2AX 抗体 (pSer139) (ABIN7265088)

抗原

gamma H2AX (GAMMA-H2AX) (gamma Histone Variant H2AX (GAMMA-H2AX))

适用

  • 10
  • 5
  • 1
  • 1
  • 1
人, 小鼠, 大鼠

宿主

  • 8
  • 3

克隆类型

  • 7
  • 4
多克隆

标记

  • 10
  • 1
This gamma H2AX antibody is un-conjugated

应用范围

  • 10
  • 9
  • 5
  • 5
  • 3
  • 3
  • 2
  • 2
  • 1
  • 1
Immunohistochemistry (IHC), Immunofluorescence (IF)
  • 抗原表位

    • 5
    • 3
    • 1
    • 1
    pSer139

    产品特性

    Phosphorylated antibody

    纯化方法

    Affinity purification

    免疫原

    A synthetic phosphorylated peptide around S139 of human gammaH2A.X (NP_002096.1).

    亚型

    IgG
  • 应用备注

    IHC 1:50-1:100 IF 1:50-1:100

    限制

    仅限研究用
  • 状态

    Liquid

    浓度

    1 mg/mL

    缓冲液

    PBS with 0.02 % sodium azide, 50 % glycerol, pH 7.3

    储存液

    Sodium azide

    注意事项

    This product contains Sodium azide: a POISONOUS AND HAZARDOUS SUBSTANCE which should be handled by trained staff only.

    储存条件

    -20 °C

    储存方法

    Store at -20°C. Avoid freeze / thaw cycles.
  • 抗原

    gamma H2AX (GAMMA-H2AX) (gamma Histone Variant H2AX (GAMMA-H2AX))

    别名

    gammaH2A.X

    背景

    Histones are basic nuclear proteins that are responsible for the nucleosome structure of the chromosomal fiber in eukaryotes. Two molecules of each of the four core histones (H2A, H2B, H3, and H4) form an octamer, around which approximately 146 bp of DNA is wrapped in repeating units, called nucleosomes. The linker histone, H1, interacts with linker DNA between nucleosomes and functions in the compaction of chromatin into higher order structures. This gene encodes a replication-independent histone that is a member of the histone H2A family, and generates two transcripts through the use of the conserved stem-loop termination motif, and the polyA addition motif.

    基因ID

    3014

    UniProt

    P16104
You are here: