P2RY14 抗体
Our Local Distributor
北京 101111
Quick Overview for P2RY14 抗体 (ABIN7264233)
抗原
See all P2RY14 抗体适用
宿主
克隆类型
标记
应用范围
-
-
产品特性
- Polyclonal Antibody
-
纯化方法
- Affinity purification
-
免疫原
- Recombinant fusion protein of human P2RY14 (NP_055694.3).
-
亚型
- IgG
-
-
-
-
应用备注
- WB 1:500-1:2000
-
限制
- 仅限研究用
-
-
-
状态
- Liquid
-
浓度
- 1 mg/mL
-
缓冲液
- PBS with 0.02 % sodium azide, 50 % glycerol, pH 7.3
-
储存液
- Sodium azide
-
注意事项
- This product contains Sodium azide: a POISONOUS AND HAZARDOUS SUBSTANCE which should be handled by trained staff only.
-
储存条件
- -20 °C
-
储存方法
- Store at -20°C. Avoid freeze / thaw cycles.
-
-
- P2RY14 (Purinergic Receptor P2Y, G-Protein Coupled, 14 (P2RY14))
-
别名
- P2RY14
-
背景
- The product of this gene belongs to the family of G-protein coupled receptors, which contains several receptor subtypes with different pharmacological selectivity for various adenosine and uridine nucleotides. This receptor is a P2Y purinergic receptor for UDP-glucose and other UDP-sugars coupled to G-proteins. It has been implicated in extending the known immune system functions of P2Y receptors by participating in the regulation of the stem cell compartment, and it may also play a role in neuroimmune function. Two transcript variants encoding the same protein have been identified for this gene.
-
分子量
-
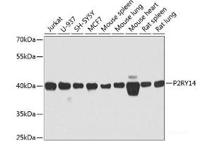
Observed_MW: 42 kDa
Calculated_MW: 38 kDa
-
基因ID
- 9934
-
UniProt
- Q15391
抗原
-