P2RY14 抗体
Our Local Distributor
北京 101111
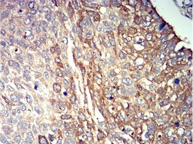
Quick Overview for P2RY14 抗体 (ABIN5611336)
抗原
See all P2RY14 抗体适用
宿主
克隆类型
标记
应用范围
克隆位点
-
-
原理
- P2RY14 Antibody
-
纯化方法
- Purified antibody
-
免疫原
- Purified recombinant fragment of human P2RY14 (AA: mix) expressed in E. Coli.
-
亚型
- IgG2b
-
-
-
-
应用备注
-
ELISA: 1/10000
FCM: 1/200 - 1/400
ICC: 1/200 - 1/1000
-
限制
- 仅限研究用
-
-
-
状态
- Liquid
-
缓冲液
- Purified antibody in PBS with 0.05 % sodium azide.
-
储存液
- Sodium azide
-
注意事项
- This product contains Sodium azide: a POISONOUS AND HAZARDOUS SUBSTANCE which should be handled by trained staff only.
-
储存条件
- 4 °C,-20 °C
-
储存方法
- Store at 4°C short term. Aliquot and store at -20°C long term. Avoid freeze/thaw cycles.
-
-
- P2RY14 (Purinergic Receptor P2Y, G-Protein Coupled, 14 (P2RY14))
-
别名
- P2RY14
-
背景
-
The product of this gene belongs to the family of G-protein coupled receptors, which contains several receptor subtypes with different pharmacological selectivity for various adenosine and uridine nucleotides. This receptor is a P2Y purinergic receptor for UDP-glucose and other UDP-sugars coupled to G-proteins. It has been implicated in extending the known immune system functions of P2Y receptors by participating in the regulation of the stem cell compartment, and it may also play a role in neuroimmune function. Two transcript variants encoding the same protein have been identified for this gene.
-
分子量
- 39 kDa
-
基因ID
- 9934
-
UniProt
- Q15391
抗原
-