电话:
+86 (0512) 65829739
传真:
+86 (010) 6788 5057
电子邮件:
orders@antibodies-online.cn

BNIP3L/NIX 抗体

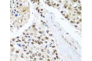
The 兔 多克隆 anti-BNIP3L/NIX antibody (ABIN7262088) specifically detects BNIP3L/NIX in IHC. The antibody is reactive with 人, 小鼠 和 大鼠 samples.
产品编号 ABIN7262088
发货至: 中国
Contact our Customer Service for availability and price in your country. Contact Info

Our Local Distributor

中国
北京 101111
No. 88 KeChuang 6th Street
Beijing Economic Technological Development Area
Room 801-803
4A Biotech Co.,Ltd.
Tel +86 (0512) 65829739 传真 +86 (010) 6788 5057

Quick Overview for BNIP3L/NIX 抗体 (ABIN7262088)

抗原

See all BNIP3L/NIX (BNIP3L) 抗体
BNIP3L/NIX (BNIP3L) (BCL2/adenovirus E1B 19kDa Interacting Protein 3-Like (BNIP3L))

适用

  • 63
  • 52
  • 26
  • 4
  • 4
  • 3
  • 3
  • 3
  • 3
  • 1
  • 1
人, 小鼠, 大鼠

宿主

  • 74
  • 3
  • 1

克隆类型

  • 54
  • 24
多克隆

标记

  • 35
  • 4
  • 3
  • 3
  • 3
  • 3
  • 3
  • 3
  • 2
  • 2
  • 2
  • 2
  • 1
  • 1
  • 1
  • 1
  • 1
  • 1
  • 1
  • 1
  • 1
  • 1
  • 1
  • 1
  • 1
This BNIP3L/NIX antibody is un-conjugated

应用范围

  • 47
  • 33
  • 22
  • 15
  • 13
  • 13
  • 9
  • 9
  • 7
  • 5
  • 3
  • 1
Immunohistochemistry (IHC)
You are here: