电话:
+86 (0512) 65829739
传真:
+86 (010) 6788 5057
电子邮件:
orders@antibodies-online.cn

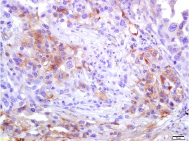
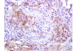
ADAM10 抗体 (AA 501-600)

This 兔 多克隆 antibody specifically detects ADAM10 in WB, ELISA, IF (cc), IF (p), IHC (p) 和 IHC (fro). It exhibits reactivity toward 人, 小鼠 和 大鼠. It has been mentioned in 3+ publications
产品编号 ABIN701020
发货至: 中国
Contact our Customer Service for availability and price in your country. Contact Info

Our Local Distributor

中国
北京 101111
No. 88 KeChuang 6th Street
Beijing Economic Technological Development Area
Room 801-803
4A Biotech Co.,Ltd.
Tel +86 (0512) 65829739 传真 +86 (010) 6788 5057

Quick Overview for ADAM10 抗体 (AA 501-600) (ABIN701020)

抗原

See all ADAM10 抗体
ADAM10 (ADAM Metallopeptidase Domain 10 (ADAM10))

适用

  • 108
  • 49
  • 44
  • 7
  • 1
  • 1
人, 小鼠, 大鼠

宿主

  • 80
  • 31
  • 2
  • 1
  • 1

克隆类型

  • 62
  • 53
多克隆

标记

  • 52
  • 8
  • 7
  • 6
  • 4
  • 3
  • 3
  • 3
  • 3
  • 3
  • 3
  • 3
  • 2
  • 1
  • 1
  • 1
  • 1
  • 1
  • 1
  • 1
  • 1
  • 1
  • 1
  • 1
  • 1
  • 1
  • 1
  • 1
This ADAM10 antibody is un-conjugated

应用范围

  • 64
  • 25
  • 25
  • 24
  • 21
  • 12
  • 12
  • 10
  • 8
  • 5
  • 3
  • 3
  • 2
  • 1
Western Blotting (WB), ELISA, Immunofluorescence (Cultured Cells) (IF (cc)), Immunofluorescence (Paraffin-embedded Sections) (IF (p)), Immunohistochemistry (Paraffin-embedded Sections) (IHC (p)), Immunohistochemistry (Frozen Sections) (IHC (fro))
  • 抗原表位

    • 14
    • 9
    • 5
    • 5
    • 3
    • 2
    • 2
    • 2
    • 2
    • 2
    • 1
    • 1
    • 1
    • 1
    • 1
    • 1
    • 1
    • 1
    • 1
    AA 501-600

    交叉反应

    人, 小鼠, 大鼠

    预测反应

    Dog,Cow,Pig,Horse,Chicken,Rabbit

    纯化方法

    Purified by Protein A.

    免疫原

    KLH conjugated synthetic peptide derived from human ADAM10

    亚型

    IgG
  • 应用备注

    WB 1:300-5000
    ELISA 1:500-1000
    IHC-P 1:200-400
    IHC-F 1:100-500
    IF(IHC-P) 1:50-200
    IF(IHC-F) 1:50-200
    IF(ICC) 1:50-200

    限制

    仅限研究用
  • 状态

    Liquid

    浓度

    1 μg/μL

    缓冲液

    0.01M TBS( pH 7.4) with 1 % BSA, 0.02 % Proclin300 and 50 % Glycerol.

    储存液

    ProClin

    注意事项

    This product contains ProClin: a POISONOUS AND HAZARDOUS SUBSTANCE, which should be handled by trained staff only.

    储存条件

    4 °C,-20 °C

    储存方法

    Shipped at 4°C. Store at -20°C for one year. Avoid repeated freeze/thaw cycles.

    有效期

    12 months
  • Ku, Li, Gao, Zhang, Yan, Ji, Li, Sang: "NF-κB-regulated microRNA-574-5p underlies synaptic and cognitive impairment in response to atmospheric PM2.5 aspiration." in: Particle and fibre toxicology, Vol. 14, Issue 1, pp. 34, (2018) (PubMed).

    Angenendt, Reuter, Kentrup, Benk, Neumann, Hüve, Martens, Schwöppe, Kessler, Schmidt, Sauer, Brand, Mikesch, Lenz, Mesters, Müller-Tidow, Hartmann, Wardelmann, Neri, Berdel, Roesli, Schliemann: "An atlas of bloodstream-accessible bone marrow proteins for site-directed therapy of acute myeloid leukemia." in: Leukemia, Vol. 32, Issue 2, pp. 510-519, (2017) (PubMed).

    Li, Xie, He, Wang, Duan, Yang, Wang: "Identification of ADAM10 and ADAM17 with potential roles in the spermatogenesis of the Chinese mitten crab, Eriocheir sinensis." in: Gene, Vol. 562, Issue 1, pp. 117-27, (2015) (PubMed).

  • 抗原

    ADAM10 (ADAM Metallopeptidase Domain 10 (ADAM10))

    别名

    ADAM10

    背景

    Synonyms: RAK, kuz, AD10, AD18, MADM, CD156c, HsT18717, Disintegrin and metalloproteinase domain-containing protein 10, ADAM 10, CDw156, Kuzbanian protein homolog, Mammalian disintegrin-metalloprotease, ADAM10

    Background: Cleaves the membrane-bound precursor of TNF-alpha at '76-Ala-|-Val-77' to its mature soluble form. Responsible for the proteolytical release of soluble JAM3 from endothelial cells surface. Responsible for the proteolytic release of several other cell-surface proteins, including heparin-binding epidermal growth-like factor, ephrin-A2 and for constitutive and regulated alpha-secretase cleavage of amyloid precursor protein (APP). Contributes to the normal cleavage of the cellular prion protein. Involved in the cleavage of the adhesion molecule L1 at the cell surface and in released membrane vesicles, suggesting a vesicle-based protease activity. Controls also the proteolytic processing of Notch and mediates lateral inhibition during neurogenesis. Responsible for the FasL ectodomain shedding and for the generation of the remnant ADAM10-processed FasL (FasL APL) transmembrane form. Also cleaves the ectodomain of the integral membrane proteins CORIN and ITM2B. May regulate the EFNA5-EPHA3 signaling.

    基因ID

    102

    UniProt

    O14672

    途径

    Notch Signaling, EGFR Signaling Pathway
You are here: