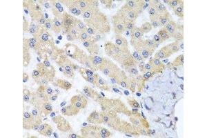
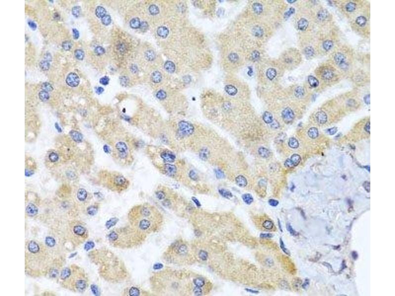
ABCB8 抗体
Our Local Distributor
北京 101111
Quick Overview for ABCB8 抗体 (ABIN7260613)
抗原
See all ABCB8 抗体适用
宿主
克隆类型
标记
应用范围
-
-
产品特性
- Polyclonal Antibody
-
纯化方法
- Affinity purification
-
免疫原
- Recombinant fusion protein of human ABCB8 (NP_009119.2).
-
亚型
- IgG
-
-
-
-
应用备注
- IHC 1:50-1:100 IF 1:50-1:100
-
限制
- 仅限研究用
-
-
-
状态
- Liquid
-
浓度
- 1 mg/mL
-
缓冲液
- PBS with 0.02 % sodium azide, 50 % glycerol, pH 7.3
-
储存液
- Sodium azide
-
注意事项
- This product contains Sodium azide: a POISONOUS AND HAZARDOUS SUBSTANCE which should be handled by trained staff only.
-
储存条件
- -20 °C
-
储存方法
- Store at -20°C. Avoid freeze / thaw cycles.
-
-
- ABCB8 (ATP-Binding Cassette, Sub-Family B (MDR/TAP), Member 8 (ABCB8))
-
别名
- ABCB8
-
背景
- This nuclear gene encodes a multi-pass membrane protein that is targeted to the mitochondrial inner membrane. The encoded protein is an ATP-dependent transporter that may mediate the passage of organic and inorganic molecules out of the mitochondria. Loss of function of the related gene in mouse results in a disruption of iron homeostasis between the mitochondria and cytosol. Alternative splicing results in multiple transcript variants.
-
基因ID
- 11194
-
UniProt
- Q9NUT2
抗原
-