电话:
+86 (0512) 65829739
传真:
+86 (010) 6788 5057
电子邮件:
orders@antibodies-online.cn

Neuregulin 4 抗体

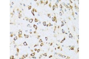
The 兔 多克隆 anti-Neuregulin 4 antibody (ABIN7260591) specifically detects Neuregulin 4 in IHC. The antibody is reactive with 人, 小鼠 和 大鼠 samples.
产品编号 ABIN7260591
发货至: 中国
Contact our Customer Service for availability and price in your country. Contact Info

Our Local Distributor

中国
北京 101111
No. 88 KeChuang 6th Street
Beijing Economic Technological Development Area
Room 801-803
4A Biotech Co.,Ltd.
Tel +86 (0512) 65829739 传真 +86 (010) 6788 5057

Quick Overview for Neuregulin 4 抗体 (ABIN7260591)

抗原

See all Neuregulin 4 (NRG4) 抗体
Neuregulin 4 (NRG4)

适用

  • 34
  • 8
  • 2
  • 1
人, 小鼠, 大鼠

宿主

  • 33
  • 4

克隆类型

  • 34
  • 3
多克隆

标记

  • 19
  • 4
  • 3
  • 3
  • 1
  • 1
  • 1
  • 1
  • 1
  • 1
  • 1
  • 1
This Neuregulin 4 antibody is un-conjugated

应用范围

  • 20
  • 18
  • 15
  • 7
  • 6
  • 3
  • 1
Immunohistochemistry (IHC)
  • 产品特性

    Polyclonal Antibody

    纯化方法

    Affinity purification

    免疫原

    Recombinant fusion protein of human NRG4 (NP_612640.1).

    亚型

    IgG
  • 应用备注

    IHC 1:50-1:200

    限制

    仅限研究用
  • 状态

    Liquid

    浓度

    1 mg/mL

    缓冲液

    PBS with 0.02 % sodium azide, 50 % glycerol, pH 7.3

    储存液

    Sodium azide

    注意事项

    This product contains Sodium azide: a POISONOUS AND HAZARDOUS SUBSTANCE which should be handled by trained staff only.

    储存条件

    -20 °C

    储存方法

    Store at -20°C. Avoid freeze / thaw cycles.
  • 抗原

    Neuregulin 4 (NRG4)

    别名

    NRG4

    背景

    Neuregulin 4also known asNRG4is a member of theneuregulinproteinfamily which in humans is encoded by theNRG4gene. Low affinity ligand for the ERBB4 tyrosine kinase receptor. Concomitantly recruits ERBB1 and ERBB2 coreceptors, resulting in ligand-stimulated tyrosine phosphorylation and activation of the ERBB receptors. Does not bind to the ERBB1, ERBB2 and ERBB3 receptors.

    基因ID

    145957

    UniProt

    Q8WWG1

    途径

    RTK signaling, Fc-epsilon Receptor Signaling Pathway, EGFR Signaling Pathway, Neurotrophin Signaling Pathway
You are here: