电话:
+86 (0512) 65829739
传真:
+86 (010) 6788 5057
电子邮件:
orders@antibodies-online.cn

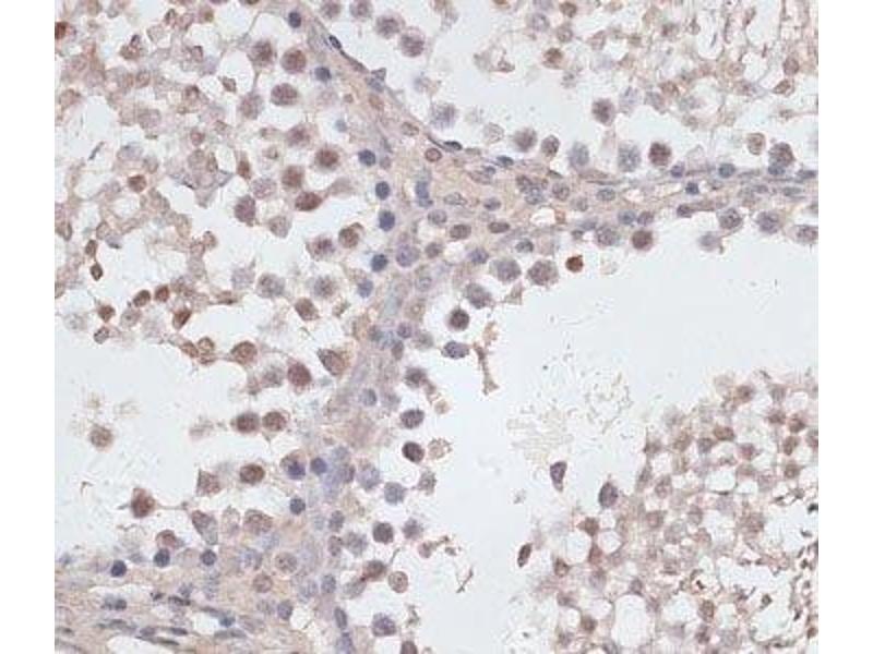
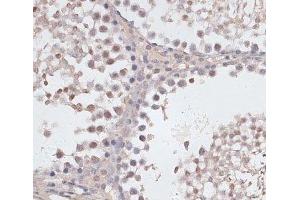
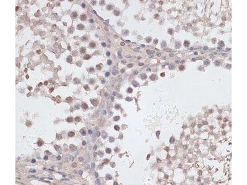
Cyclin E2 抗体

This 兔 多克隆 antibody specifically detects Cyclin E2 in IHC 和 IF. It exhibits reactivity toward 人 和 大鼠.
产品编号 ABIN7008605
发货至: 中国
Contact our Customer Service for availability and price in your country. Contact Info

Our Local Distributor

中国
北京 101111
No. 88 KeChuang 6th Street
Beijing Economic Technological Development Area
Room 801-803
4A Biotech Co.,Ltd.
Tel +86 (0512) 65829739 传真 +86 (010) 6788 5057

Quick Overview for Cyclin E2 抗体 (ABIN7008605)

抗原

See all Cyclin E2 (CCNE2) 抗体
Cyclin E2 (CCNE2)

适用

  • 71
  • 36
  • 7
  • 3
  • 2
  • 2
  • 1
  • 1
  • 1
人, 大鼠

宿主

  • 71
  • 1

克隆类型

  • 36
  • 36
多克隆

标记

  • 40
  • 4
  • 4
  • 4
  • 4
  • 4
  • 4
  • 4
  • 2
  • 2
This Cyclin E2 antibody is un-conjugated

应用范围

  • 51
  • 34
  • 32
  • 23
  • 14
  • 14
  • 4
  • 4
  • 2
  • 1
  • 1
  • 1
Immunohistochemistry (IHC), Immunofluorescence (IF)
  • 产品特性

    Polyclonal Antibody

    纯化方法

    Affinity purification

    免疫原

    Recombinant fusion protein of human CCNE2 (NP_477097.1).

    亚型

    IgG
  • 应用备注

    IHC 1:50-1:200 IF 1:50-1:200

    限制

    仅限研究用
  • 状态

    Liquid

    浓度

    1 mg/mL

    缓冲液

    PBS with 0.02 % sodium azide, 50 % glycerol, pH 7.3

    储存液

    Sodium azide

    注意事项

    This product contains Sodium azide: a POISONOUS AND HAZARDOUS SUBSTANCE which should be handled by trained staff only.

    储存条件

    -20 °C

    储存方法

    Store at -20°C. Avoid freeze / thaw cycles.
  • 抗原

    Cyclin E2 (CCNE2)

    别名

    CCNE2

    背景

    The protein encoded by this gene belongs to the highly conserved cyclin family, whose members are characterized by a dramatic periodicity in protein abundance through the cell cycle. Cyclins function as regulators of CDK kinases. Different cyclins exhibit distinct expression and degradation patterns which contribute to the temporal coordination of each mitotic event. This cyclin forms a complex with and functions as a regulatory subunit of CDK2. This cyclin has been shown to specifically interact with CIP/KIP family of CDK inhibitors, and plays a role in cell cycle G1/S transition. The expression of this gene peaks at the G1-S phase and exhibits a pattern of tissue specificity distinct from that of cyclin E1. A significantly increased expression level of this gene was observed in tumor-derived cells.

    基因ID

    9134

    UniProt

    O96020

    途径

    Cell Division Cycle, Mitotic G1-G1/S Phases
You are here: