电话:
+86 (0512) 65829739
传真:
+86 (010) 6788 5057
电子邮件:
orders@antibodies-online.cn

Histone H3.3 抗体

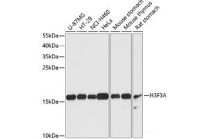
The 兔 多克隆 anti-Histone H3.3 antibody (ABIN7257391) specifically detects Histone H3.3 in WB. The antibody is reactive with 人, 小鼠 和 大鼠 samples.
产品编号 ABIN7257391
发货至: 中国
Contact our Customer Service for availability and price in your country. Contact Info

Our Local Distributor

中国
北京 101111
No. 88 KeChuang 6th Street
Beijing Economic Technological Development Area
Room 801-803
4A Biotech Co.,Ltd.
Tel +86 (0512) 65829739 传真 +86 (010) 6788 5057

Quick Overview for Histone H3.3 抗体 (ABIN7257391)

抗原

See all Histone H3.3 (H3F3A) 抗体
Histone H3.3 (H3F3A) (H3 Histone, Family 3A (H3F3A))

适用

  • 99
  • 46
  • 43
  • 2
  • 2
  • 2
  • 2
  • 2
  • 1
  • 1
  • 1
  • 1
  • 1
  • 1
人, 小鼠, 大鼠

宿主

  • 94
  • 13

克隆类型

  • 57
  • 50
多克隆

标记

  • 55
  • 7
  • 5
  • 4
  • 4
  • 4
  • 4
  • 4
  • 4
  • 3
  • 3
  • 3
  • 1
  • 1
  • 1
  • 1
  • 1
  • 1
  • 1
This Histone H3.3 antibody is un-conjugated

应用范围

  • 72
  • 61
  • 37
  • 36
  • 31
  • 11
  • 9
  • 5
  • 4
  • 2
  • 2
  • 2
  • 2
  • 1
  • 1
  • 1
  • 1
Western Blotting (WB)
  • 产品特性

    Polyclonal Antibody

    纯化方法

    Affinity purification

    免疫原

    Recombinant fusion protein of human H3F3A (NP_002098.1).

    亚型

    IgG
  • 应用备注

    WB 1:500-1:2000

    限制

    仅限研究用
  • 状态

    Liquid

    浓度

    1 mg/mL

    缓冲液

    PBS with 0.02 % sodium azide, 50 % glycerol, pH 7.3

    储存液

    Sodium azide

    注意事项

    This product contains Sodium azide: a POISONOUS AND HAZARDOUS SUBSTANCE which should be handled by trained staff only.

    储存条件

    -20 °C

    储存方法

    Store at -20°C. Avoid freeze / thaw cycles.
  • 抗原

    Histone H3.3 (H3F3A) (H3 Histone, Family 3A (H3F3A))

    别名

    Histone H3.3

    背景

    Histones are basic nuclear proteins that are responsible for the nucleosome structure of the chromosomal fiber in eukaryotes. Two molecules of each of the four core histones (H2A, H2B, H3, and H4) form an octamer, around which approximately 146 bp of DNA is wrapped in repeating units, called nucleosomes. The linker histone, H1, interacts with linker DNA between nucleosomes and functions in the compaction of chromatin into higher order structures. This gene contains introns and its mRNA is polyadenylated, unlike most histone genes. The protein encoded is a replication-independent member of the histone H3 family.

    分子量

    Observed_MW: 16 kDa

    Calculated_MW: 15 kDa

    基因ID

    3020

    UniProt

    P84243
You are here: