电话:
+86 (0512) 65829739
传真:
+86 (010) 6788 5057
电子邮件:
orders@antibodies-online.cn

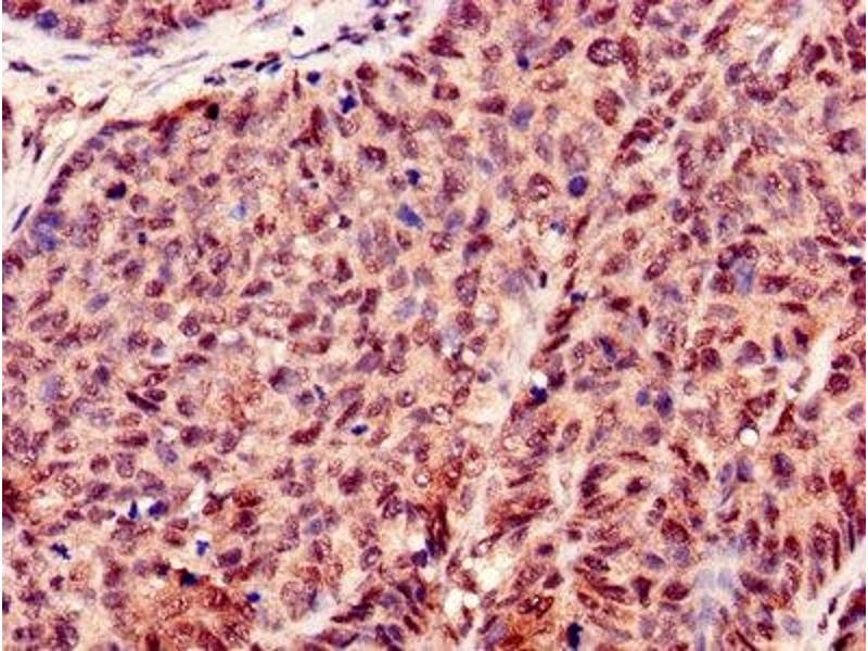
Histone H3.3 抗体 (AA 2-136)

This 兔 多克隆 antibody specifically detects Histone H3.3 in WB, ELISA 和 IHC. It exhibits reactivity toward 人.
产品编号 ABIN7155434
发货至: 中国
Contact our Customer Service for availability and price in your country. Contact Info

Our Local Distributor

中国
北京 101111
No. 88 KeChuang 6th Street
Beijing Economic Technological Development Area
Room 801-803
4A Biotech Co.,Ltd.
Tel +86 (0512) 65829739 传真 +86 (010) 6788 5057

Quick Overview for Histone H3.3 抗体 (AA 2-136) (ABIN7155434)

抗原

See all Histone H3.3 (H3F3A) 抗体
Histone H3.3 (H3F3A) (H3 Histone, Family 3A (H3F3A))

适用

  • 99
  • 47
  • 44
  • 2
  • 2
  • 2
  • 2
  • 2
  • 1
  • 1
  • 1
  • 1
  • 1
  • 1

宿主

  • 94
  • 13

克隆类型

  • 57
  • 50
多克隆

标记

  • 55
  • 7
  • 5
  • 4
  • 4
  • 4
  • 4
  • 4
  • 4
  • 3
  • 3
  • 3
  • 1
  • 1
  • 1
  • 1
  • 1
  • 1
  • 1
This Histone H3.3 antibody is un-conjugated

应用范围

  • 72
  • 60
  • 37
  • 36
  • 30
  • 11
  • 9
  • 5
  • 4
  • 2
  • 2
  • 2
  • 2
  • 1
  • 1
  • 1
  • 1
Western Blotting (WB), ELISA, Immunohistochemistry (IHC)
  • 抗原表位

    • 15
    • 6
    • 6
    • 5
    • 4
    • 2
    • 2
    • 2
    • 1
    • 1
    • 1
    • 1
    • 1
    • 1
    • 1
    • 1
    • 1
    • 1
    • 1
    • 1
    • 1
    • 1
    • 1
    • 1
    • 1
    • 1
    • 1
    • 1
    AA 2-136

    原理

    H3F3A Antibody

    纯化方法

    Protein G purified

    纯度

    >95 %

    免疫原

    Recombinant Human Histone H3.3 protein (2-136AA)

    亚型

    IgG
  • 应用备注

    Optimal working dilution should be determined by the investigator.

    限制

    仅限研究用
  • 状态

    Liquid

    缓冲液

    Preservative: 0.03 % Proclin 300
    Constituents: 50 % Glycerol, 0.01M PBS, PH 7.4

    储存液

    ProClin

    注意事项

    This product contains ProClin: a POISONOUS AND HAZARDOUS SUBSTANCE which should be handled by trained staff only.

    储存条件

    -20 °C,-80 °C

    储存方法

    Upon receipt, store at -20°C or -80°C. Avoid repeated freeze.
  • 抗原

    Histone H3.3 (H3F3A) (H3 Histone, Family 3A (H3F3A))

    别名

    H3F3A

    背景

    Background: Variant histone H3 which replaces conventional H3 in a wide range of nucleosomes in active genes. Constitutes the predominant form of histone H3 in non-dividing cells and is incorporated into chromatin independently of DNA synthesis. Deposited at sites of nucleosomal displacement throughout transcribed genes, suggesting that it represents an epigenetic imprint of transcriptionally active chromatin. Nucleosomes wrap and compact DNA into chromatin, limiting DNA accessibility to the cellular machineries which require DNA as a template. Histones thereby play a central role in transcription regulation, DNA repair, DNA replication and chromosomal stability. DNA accessibility is regulated via a complex set of post-translational modifications of histones, also called histone code, and nucleosome remodeling.

    Aliases: H3 histone family 3A antibody, H3 histone family 3B antibody, H3 histone, family 3B (H3.3B) antibody, H3.3 antibody, H3.3A antibody, H3.3B antibody, H33_HUMAN antibody, H3F3 antibody, H3F3A antibody, H3f3b antibody, Histone H3.3 antibody, Histone H3.3Q antibody, Histone H3.A antibody, Histone H3.B antibody, MGC87782 antibody, MGC87783 antibody

    UniProt

    P84243
You are here: