电话:
+86 (0512) 65829739
传真:
+86 (010) 6788 5057
电子邮件:
orders@antibodies-online.cn

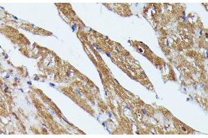
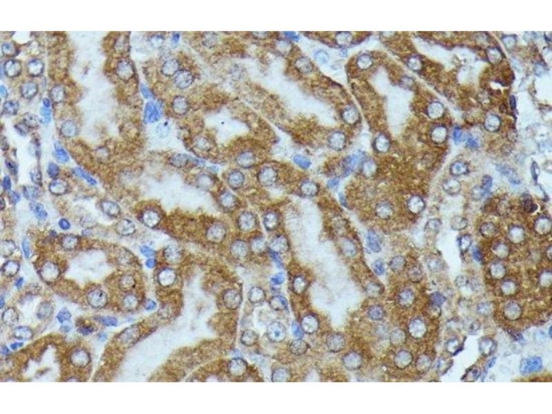
TBCB 抗体

This 兔 多克隆 antibody specifically detects TBCB in IHC. It exhibits reactivity toward 人, 小鼠 和 大鼠.
产品编号 ABIN7256748
发货至: 中国
Contact our Customer Service for availability and price in your country. Contact Info

Our Local Distributor

中国
北京 101111
No. 88 KeChuang 6th Street
Beijing Economic Technological Development Area
Room 801-803
4A Biotech Co.,Ltd.
Tel +86 (0512) 65829739 传真 +86 (010) 6788 5057

Quick Overview for TBCB 抗体 (ABIN7256748)

抗原

See all TBCB 抗体
TBCB (Tubulin Folding Cofactor B (TBCB))

适用

  • 58
  • 12
  • 5
  • 4
  • 4
  • 4
  • 3
  • 3
  • 2
  • 2
  • 1
  • 1
人, 小鼠, 大鼠

宿主

  • 52
  • 6

克隆类型

  • 55
  • 3
多克隆

标记

  • 29
  • 4
  • 3
  • 3
  • 1
  • 1
  • 1
  • 1
  • 1
  • 1
  • 1
  • 1
  • 1
  • 1
  • 1
  • 1
  • 1
  • 1
  • 1
  • 1
  • 1
  • 1
  • 1
This TBCB antibody is un-conjugated

应用范围

  • 48
  • 21
  • 13
  • 13
  • 7
  • 6
  • 6
  • 5
  • 4
  • 3
  • 1
  • 1
  • 1
Immunohistochemistry (IHC)
  • 产品特性

    Polyclonal Antibody

    纯化方法

    Affinity purification

    免疫原

    Recombinant fusion protein of human TBCB (NP_001272.2).

    亚型

    IgG
  • 应用备注

    IHC 1:50-1:200

    限制

    仅限研究用
  • 状态

    Liquid

    浓度

    1 mg/mL

    缓冲液

    PBS with 0.02 % sodium azide, 50 % glycerol, pH 7.3

    储存液

    Sodium azide

    注意事项

    This product contains Sodium azide: a POISONOUS AND HAZARDOUS SUBSTANCE which should be handled by trained staff only.

    储存条件

    -20 °C

    储存方法

    Store at -20°C. Avoid freeze / thaw cycles.
  • 抗原

    TBCB (Tubulin Folding Cofactor B (TBCB))

    别名

    TBCB

    背景

    Microtubules, the primary component of the cytoskeletal network, are highly dynamic structures composed of α/β Tubulin heterodimers. Biosynthesis of functional microtubules involve the participation of several chaperones, termed Tubulin folding cofactors A (TBCA), B (TBCB), D (TBCD), E (TBCE) and C (TBCC), that act on folding intermediates downstream of the cytosolic chaperon, alternatively named TCP. TBCB (tubulin folding cofactor B), also known as CG22, CKAP1 or CKAPI, is a 244 amino acid cytoplasmic protein containing one CAP-Gly domain and in widely expressed. TBCB is involved in the regulation of tubulin heterodimer dissociation and may function as a negative regulator of axonal growth.

    基因ID

    1155

    UniProt

    Q99426
You are here: