电话:
+86 (0512) 65829739
传真:
+86 (010) 6788 5057
电子邮件:
orders@antibodies-online.cn

TBCB 抗体

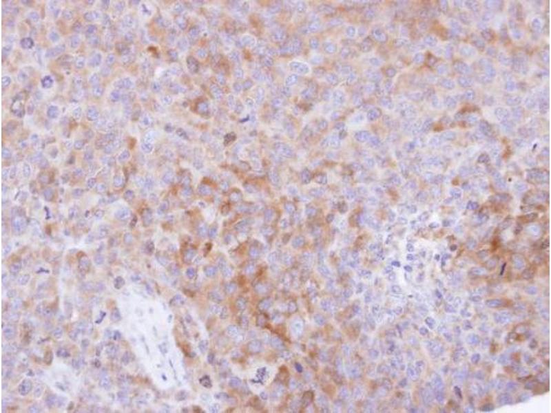
The 兔 多克隆 anti-TBCB antibody (ABIN2855232) specifically detects TBCB in WB, IF, ICC 和 IHC (p). The antibody is reactive with 人 samples.
产品编号 ABIN2855232
发货至: 中国
Contact our Customer Service for availability and price in your country. Contact Info

Our Local Distributor

中国
北京 101111
No. 88 KeChuang 6th Street
Beijing Economic Technological Development Area
Room 801-803
4A Biotech Co.,Ltd.
Tel +86 (0512) 65829739 传真 +86 (010) 6788 5057

Quick Overview for TBCB 抗体 (ABIN2855232)

抗原

See all TBCB 抗体
TBCB (Tubulin Folding Cofactor B (TBCB))

适用

  • 58
  • 13
  • 6
  • 4
  • 4
  • 4
  • 3
  • 3
  • 2
  • 2
  • 1
  • 1

宿主

  • 52
  • 6

克隆类型

  • 55
  • 3
多克隆

标记

  • 29
  • 4
  • 3
  • 3
  • 1
  • 1
  • 1
  • 1
  • 1
  • 1
  • 1
  • 1
  • 1
  • 1
  • 1
  • 1
  • 1
  • 1
  • 1
  • 1
  • 1
  • 1
  • 1
This TBCB antibody is un-conjugated

应用范围

  • 47
  • 21
  • 13
  • 13
  • 7
  • 6
  • 5
  • 4
  • 4
  • 3
  • 1
  • 1
  • 1
Western Blotting (WB), Immunofluorescence (IF), Immunocytochemistry (ICC), Immunohistochemistry (Paraffin-embedded Sections) (IHC (p))
  • 交叉反应

    人, 小鼠

    产品特性

    Rabbit Polyclonal antibody to CKAP1 (tubulin folding cofactor B)
    CKAP1 antibody [N1C3]

    纯化方法

    Purified by antigen-affinity chromatography.

    免疫原

    Recombinant protein encompassing a sequence within the center region of human CKAP1. The exact sequence is proprietary.

    亚型

    IgG
  • 应用备注

    WB: 1:500-1:3000. ICC/IF: 1:100-1:1000. IHC-P: 1:100-1:1000. Optimal dilutions/concentrations should be determined by the researcher. Not tested in other applications.

    说明

    Positive Control: NIH-3T3 , A431 , H1299 , HeLa

    限制

    仅限研究用
  • 状态

    Liquid

    浓度

    0.43 mg/mL

    缓冲液

    0.1M Tris-Glycine ( pH 7), 10 % Glycerol, 0.01 % Thimerosal

    储存液

    Thimerosal (Merthiolate)

    注意事项

    This product contains Thimerosal (Merthiolate): a POISONOUS AND HAZARDOUS SUBSTANCE which should be handled by trained staff only.

    储存条件

    4 °C,-20 °C

    储存方法

    Store as concentrated solution. Centrifuge briefly prior to opening vial. For short-term storage (1-2 weeks), store at 4°C. For long-term storage, aliquot and store at -20°C or below. Avoid multiple freeze-thaw cycles.
  • 抗原

    TBCB (Tubulin Folding Cofactor B (TBCB))

    别名

    tubulin folding cofactor B

    背景

    Binds to alpha-tubulin folding intermediates after their interaction with cytosolic chaperonin in the pathway leading from newly synthesized tubulin to properly folded heterodimer. Involved in regulation of tubulin heterodimer dissociation. May function as a negative regulator of axonal growth.

    Cellular Localization: Cytoplasm , cytoskeleton

    分子量

    27 kDa

    基因ID

    1155

    UniProt

    Q99426
You are here: