beta Arrestin 1 抗体
Our Local Distributor
北京 101111
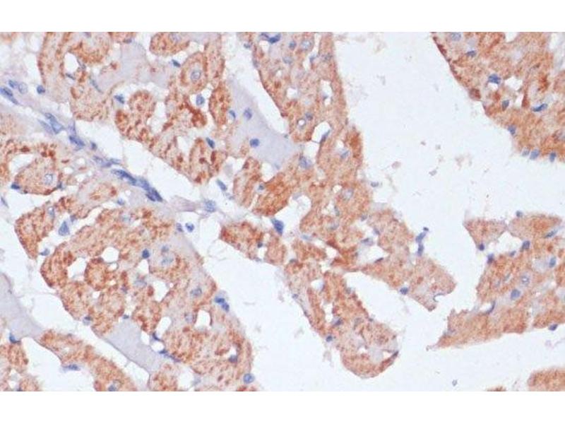
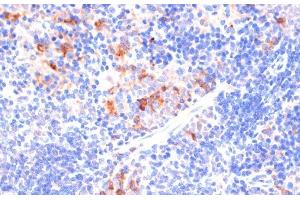
Quick Overview for beta Arrestin 1 抗体 (ABIN7255095)
抗原
See all beta Arrestin 1 (ARRB1) 抗体适用
宿主
克隆类型
标记
应用范围
-
-
产品特性
- Polyclonal Antibody
-
纯化方法
- Affinity purification
-
免疫原
- Recombinant fusion protein of human ARRB1 (NP_004032.2).
-
亚型
- IgG
-
-
-
-
应用备注
- IHC 1:50-1:200 IF 1:20-1:100
-
限制
- 仅限研究用
-
-
-
状态
- Liquid
-
浓度
- 1 mg/mL
-
缓冲液
- PBS with 0.02 % sodium azide, 50 % glycerol, pH 7.3
-
储存液
- Sodium azide
-
注意事项
- This product contains Sodium azide: a POISONOUS AND HAZARDOUS SUBSTANCE which should be handled by trained staff only.
-
储存条件
- -20 °C
-
储存方法
- Store at -20°C. Avoid freeze / thaw cycles.
-
-
- beta Arrestin 1 (ARRB1) (Arrestin, beta 1 (ARRB1))
-
别名
- ARRB1
-
背景
- Members of arrestin/beta-arrestin protein family are thought to participate in agonist-mediated desensitization of G-protein-coupled receptors and cause specific dampening of cellular responses to stimuli such as hormones, neurotransmitters, or sensory signals. Arrestin beta 1 is a cytosolic protein and acts as a cofactor in the beta-adrenergic receptor kinase (BARK) mediated desensitization of beta-adrenergic receptors. Besides the central nervous system, it is expressed at high levels in peripheral blood leukocytes, and thus the BARK/beta-arrestin system is believed to play a major role in regulating receptor-mediated immune functions. Alternatively spliced transcripts encoding different isoforms of arrestin beta 1 have been described.
-
基因ID
- 408
-
UniProt
- P49407
-
途径
- Positive Regulation of Peptide Hormone Secretion, Nuclear Hormone Receptor Binding, cAMP Metabolic Process, Myometrial Relaxation and Contraction, Synaptic Membrane, Regulation of G-Protein Coupled Receptor Protein Signaling, Phototransduction
抗原
-