TSEN2 抗体
Our Local Distributor
北京 101111
Quick Overview for TSEN2 抗体 (ABIN7253527)
抗原
See all TSEN2 抗体适用
宿主
克隆类型
标记
应用范围
-
-
产品特性
- Polyclonal Antibody
-
纯化方法
- Antigen affinity purification
-
免疫原
- Fusion protein of human TSEN2
-
亚型
- IgG
-
-
-
-
应用备注
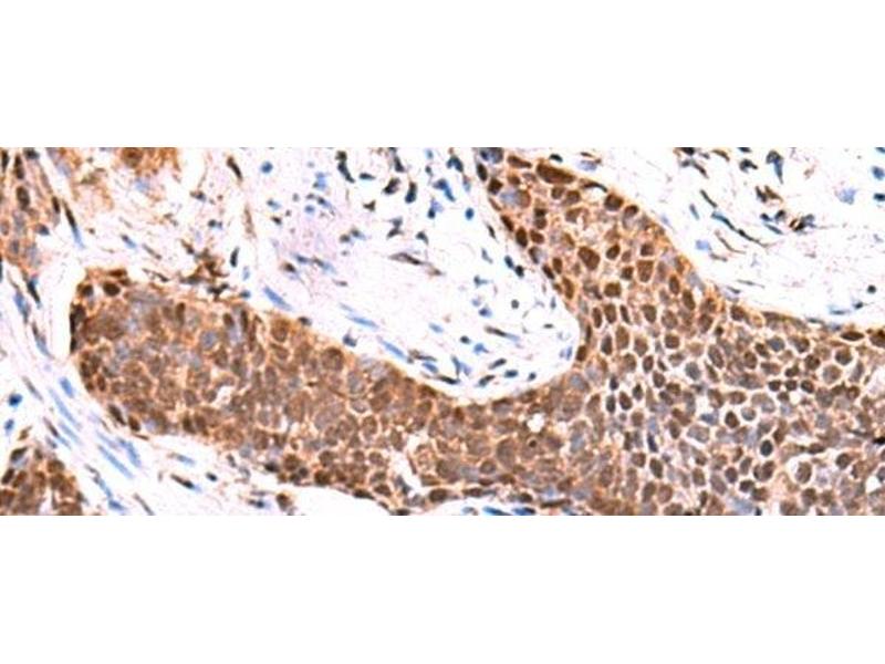
- WB 1:1000-1:5000, IHC 1:50-1:300, ELISA 1:5000-1:10000
-
限制
- 仅限研究用
-
-
-
状态
- Liquid
-
浓度
- 1.44 mg/mL
-
缓冲液
- PBS with 0.05 % Sodium azide and 40 % Glycerol, pH 7.4
-
储存液
- Sodium azide
-
注意事项
- This product contains Sodium azide: a POISONOUS AND HAZARDOUS SUBSTANCE which should be handled by trained staff only.
-
储存条件
- -20 °C
-
储存方法
- Store at -20°C. Avoid freeze / thaw cycles.
-
-
- TSEN2 (tRNA-splicing Endonuclease Subunit SEN2 (TSEN2))
-
别名
- TSEN2
-
背景
- This gene encodes one of the subunits of the tRNA splicing endonuclease. This endonuclease catalyzes the first step in RNA splicing which is the removal of introns. Mutations in this gene have been associated with pontocerebellar hypoplasia type 2. A pseudogene has been identified on chromosome 4. Multiple transcript variants encoding different isoforms have been found for this gene.
-
分子量
-
Observed_MW: Refer to figures
Calculated_MW: 53 kDa
-
UniProt
- Q8NCE0
-
途径
- Nuclear Receptor Transcription Pathway, Regulation of Lipid Metabolism by PPARalpha
抗原
-