COX2 抗体
Our Local Distributor
北京 101111
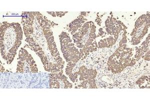
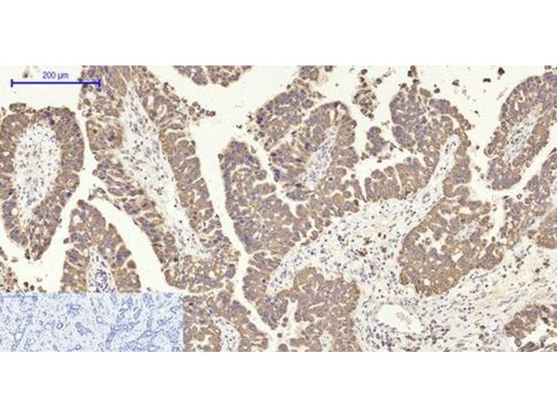
Quick Overview for COX2 抗体 (ABIN7251079)
抗原
See all COX2 抗体适用
宿主
克隆类型
标记
应用范围
-
-
产品特性
- Polyclonal Antibody
-
纯化方法
- Affinity purification
-
免疫原
- Synthesized peptide derived from the C-terminal region of human Cox-2
-
亚型
- IgG
-
-
-
-
应用备注
- WB 1:500-1:2000, IHC 1:100-1:300, IF 1:200-1:1000, ELISA 1:20000
-
限制
- 仅限研究用
-
-
-
状态
- Liquid
-
浓度
- 1 mg/mL
-
缓冲液
- PBS with 0.02 % sodium azide, 0.5 % BSA and 50 % glycerol, pH 7.4
-
储存液
- Sodium azide
-
注意事项
- This product contains Sodium azide: a POISONOUS AND HAZARDOUS SUBSTANCE which should be handled by trained staff only.
-
储存条件
- -20 °C
-
储存方法
- Store at -20°C. Avoid freeze / thaw cycles.
-
-
- COX2 (Cytochrome C Oxidase Subunit II (COX2))
-
别名
- COX2
-
背景
- Mediates the formation of prostaglandins from arachidonate. May have a role as a major mediator of inflammation and/or a role for prostanoid signaling in activity-dependent plasticity.
-
分子量
-
Observed_MW: 80 kDa
Calculated_MW: 69 kDa
-
UniProt
- P35354
-
途径
- Brown Fat Cell Differentiation, Positive Regulation of fat Cell Differentiation
抗原
-