电话:
+86 (0512) 65829739
传真:
+86 (010) 6788 5057
电子邮件:
orders@antibodies-online.cn

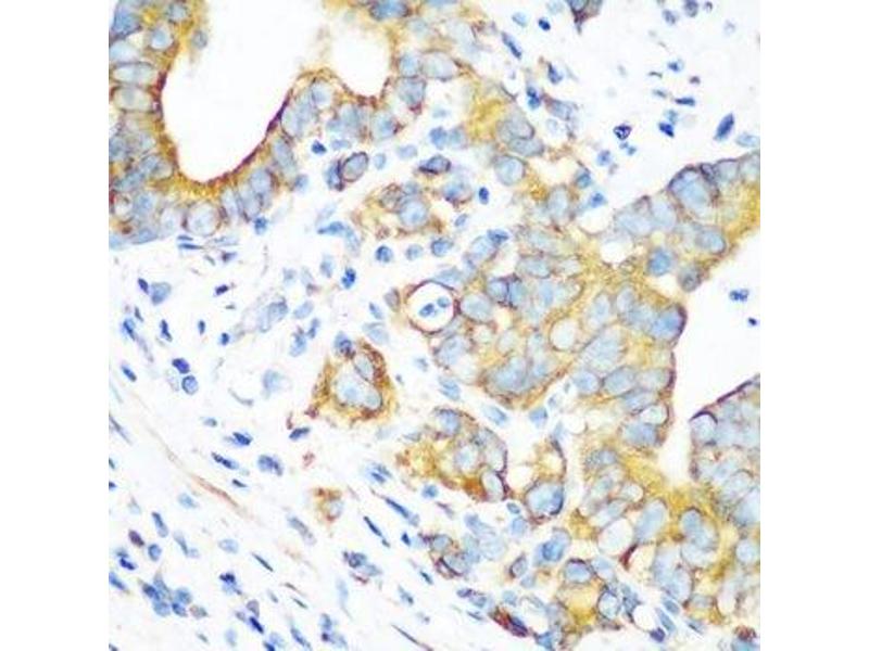
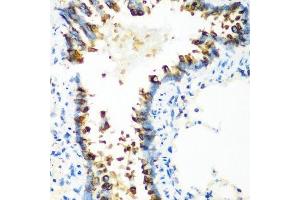
COX2 抗体 (AA 100-200)

The 兔 多克隆 anti-COX2 antibody is suitable to detect COX2 in samples from 小鼠. It has been validated for WB 和 IHC.
产品编号 ABIN6144099
发货至: 中国
Contact our Customer Service for availability and price in your country. Contact Info

Our Local Distributor

中国
北京 101111
No. 88 KeChuang 6th Street
Beijing Economic Technological Development Area
Room 801-803
4A Biotech Co.,Ltd.
Tel +86 (0512) 65829739 传真 +86 (010) 6788 5057

Quick Overview for COX2 抗体 (AA 100-200) (ABIN6144099)

抗原

See all COX2 抗体
COX2 (Cytochrome C Oxidase Subunit II (COX2))

适用

  • 97
  • 34
  • 12
  • 1
小鼠

宿主

  • 99
  • 4
  • 2

克隆类型

  • 53
  • 52
多克隆

标记

  • 43
  • 7
  • 7
  • 7
  • 7
  • 7
  • 7
  • 7
  • 4
  • 4
  • 2
  • 1
  • 1
  • 1
This COX2 antibody is un-conjugated

应用范围

  • 76
  • 53
  • 32
  • 26
  • 25
  • 16
  • 14
  • 5
  • 4
  • 1
Western Blotting (WB), Immunohistochemistry (IHC)
  • 抗原表位

    • 6
    • 5
    • 2
    • 2
    • 2
    • 2
    • 1
    • 1
    • 1
    • 1
    • 1
    • 1
    • 1
    • 1
    • 1
    • 1
    • 1
    • 1
    • 1
    • 1
    • 1
    AA 100-200

    序列

    MGHQWYWSYE YTDYEDLCFD SYMIPTNDLK PGELRLLEVD NRVVLPMELP IRMLISSEDV LHSWAVPSLG LKTDAIPGRL NQATVTSNRP GLFYGQCSEI C

    交叉反应

    人, 小鼠, 大鼠

    产品特性

    Polyclonal Antibodies

    免疫原

    A synthetic peptide corresponding to a sequence within amino acids 100-200 of mouse MTCO2 (NP_904331.1).

    亚型

    IgG
  • 应用备注

    WB,1:500 - 1:2000,IHC,1:50 - 1:100

    说明

    HIGH QUALITY

    限制

    仅限研究用
  • 状态

    Liquid

    缓冲液

    PBS with 0.02 % sodium azide,50 % glycerol, pH 7.3.

    储存液

    Sodium azide

    注意事项

    This product contains Sodium azide: a POISONOUS AND HAZARDOUS SUBSTANCE which should be handled by trained staff only.

    储存条件

    -20 °C

    储存方法

    Store at -20°C. Avoid freeze / thaw cycles.
  • 抗原

    COX2 (Cytochrome C Oxidase Subunit II (COX2))

    别名

    MT-CO2

    背景

    Component of the cytochrome c oxidase, the last enzyme in the mitochondrial electron transport chain which drives oxidative phosphorylation. The respiratory chain contains 3 multisubunit complexes succinate dehydrogenase (complex II, CII, ubiquinol-cytochrome c oxidoreductase (cytochrome b-c1 complex, complex III, CIII and cytochrome c oxidase (complex IV, CIV, that cooperate to transfer electrons derived from NADH and succinate to molecular oxygen, creating an electrochemical gradient over the inner membrane that drives transmembrane transport and the ATP synthase. Cytochrome c oxidase is the component of the respiratory chain that catalyzes the reduction of oxygen to water. Electrons originating from reduced cytochrome c in the intermembrane space (IMS are transferred via the dinuclear copper A center (CU(A of subunit 2 and heme A of subunit 1 to the active site in subunit 1, a binuclear center (BNC formed by heme A3 and copper B (CU(B. The BNC reduces molecular oxygen to 2 water molecules using 4 electrons from cytochrome c in the IMS and 4 protons from the mitochondrial matrix.,MT-CO2,COII,MTCO2,COX2,Cancer,Signal Transduction,Endocrine & Metabolism,Mitochondrial metabolism,Cytochromes,Mitochondrial markers,Oxidative phosphorylation,Neuroscience,Neurodegenerative Diseases,MT-CO2

    分子量

    25 kDa

    基因ID

    17709

    UniProt

    P00403

    途径

    Brown Fat Cell Differentiation, Positive Regulation of fat Cell Differentiation
You are here: